En condiciones de campo, los problemas respiratorios en el cerdo raramente están causados por un solo patógeno, lo habitual es que varios agentes patógenos actúen a la vez, lo que sumado a condiciones de manejo y ambientales inadecuadas, dan lugar al proceso conocido como Complejo Respiratorio Porcino (CRP).
En la mayoría de los casos, siempre suelen verse implicados los principales agentes primarios que afectan al aparato respiratorio: Virus del Síndrome Respiratorio y Reproductivo Porcino (PRRSV, del inglés Porcine Reproductive and Respiratory Syndrome Virus), Circovirus Porcino tipo 2 (PCV2, del inglés Porcine Circovirus type 2), virus Influenza Porcino (SIV, de inglés Swine Influenza Virus) y Mycoplasma hyopneumoniae (figura 1), que se verán acompañados de bacterias oportunistas que aprovechan la infección primaria para desarrollar su acción patógena, como Pasteurella multocida, Bordetella bronchiseptica o Glaesserella parasuis, entre otras.


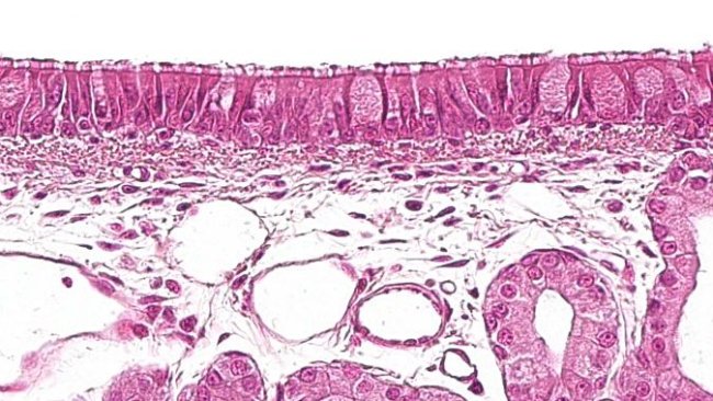
En la figura 1, podemos apreciar como M. hyopneumoniae es el agente que participa en la mayoría de las coinfecciones encontradas en el pulmón de animales diagnosticados en casos de CRP. Este patógeno, que ataca los cilios de las células del epitelio de bronquios y bronquiolos, alterando el aparato mucociliar, también provoca una hiperplasia del tejido linfoide asociado a la mucosa respiratoria. Ambas acciones favorecen la colonización, proliferación y mecanismos patogénicos de otros agentes, tanto primarios como secundarios, que afectan al aparato respiratorio del cerdo. En diferentes estudios experimentales se ha podido comprobar que, además de favorecer la acción de otros patógenos, suele potenciarla, por lo que las combinaciones en las que aparece M. hyopneumoniae suelen ser las que peores consecuencias tienen para los animales afectados, y por tanto, para la rentabilidad de la granja.
Una de las coinfecciones más frecuentes en las granjas porcinas en casos de CRP es la producida por M. hyopneumoniae y PRRSV (figura 2). En aquellos casos en los que se ha diagnosticado esta coinfección se ha observado una correlación positiva entre los animales seropositivos a cada uno de los dos agentes, es decir, la mayoría de los animales positivos a PRRSV lo son también a M. hyopneumoniae. Además, se ha podido comprobar que M. hyopneumoniae prolonga e incrementa la neumonía producida por el PRRSV, lo que podría ser debido a que en los animales coinfectados con ambos patógenos se produce un aumento de citoquinas proinflamatorias, como IL1-β, IL-8 y TNF-α, que incrementan la reacción inflamatoria a nivel pulmonar, pero también un aumento en la síntesis de la IL-10, que es una citoquina antiinflamatoria que inhibe y modula la producción de otras citoquinas y que permitiría perpetuar el daño a nivel pulmonar al impedir que se desencadenara una reacción inflamatoria descontrolada. La IL-10 a su vez también es capaz de modular la respuesta inmune del animal, lo que junto con la activación de otros mecanismos, altera la respuesta inmune adaptativa, favoreciendo que el patógeno pueda seguir ejerciendo su acción en el pulmón durante más tiempo.

En el caso de la coinfección M. hyopneumoniae y PCV2, se ha podido comprobar que M. hyopneumoniae potencia la gravedad de las lesiones producidas por PCV2 en el pulmón y en los órganos linfoides, favoreciendo una mayor replicación del virus, así como la persistencia del mismo en los tejidos (figura 3), aumentando de esta forma la incidencia de casos de circovirosis sistémica (nombre que recibe actualmente el proceso denominado PMWS, del inglés Postweaning Multisystemic Wasting Syndrome).

En animales coinfectados por M. hyopneumoniae y SIV (figura 4) se ha observado que cuando los cerdos se infectan con una cepa poco virulenta del virus de la influenza porcina después de la infección con M. hyopneumoniae hay un importante aumento de la clínica y las lesiones pulmonares, deduciéndose que el micoplasma es capaz de aumentar la virulencia de estas cepas de SIV.

M. hyopneumoniae también aparece frecuentemente asociado a otras bacterias, ya sean agentes primarios, como Actinobacillus pleuropneumoniae (figura 5), o bien agentes oportunistas, como Pasteurella multocida (figura 6), potenciando la acción de éstos en el pulmón.


Como hemos podido ver, cuando M. hyopneumoniae aparece en coinfecciones junto con otros agentes primarios del CRP, actúa potenciando y prolongando las lesiones causadas por estos patógenos, por lo que su control es fundamental para minimizar los efectos del CRP y reducir las pérdidas económicas asociadas a la enfermedad.










