X
XLinkedinWhatsAppTelegramTelegram
0
Lire cet article dans:

Principales co-infections du système respiratoire du porc

M. hyopneumoniae participe à la plupart des co-infections dans les cas de complexe respiratoire porcin. Comment agit-il et quels effets a-t-il ?

Dans les conditions de terrain, les problèmes respiratoires chez les porcs sont rarement causés par un seul agent pathogène et il est habituel que plusieurs agents pathogènes agissent en même temps, ce qui, ajouté à une conduite et à des conditions environnementales inappropriées, donne lieu au processus connu sous le nom de Complexe Respiratoire Porcin (CRP).

Dans la plupart des cas, les principaux agents primaires qui affectent le système respiratoire sont toujours impliqués: le virus du syndrome dysgénésique et respiratoire porcin (SDRPv), le circovirus porcin de type 2 (PCV2 de l'anglais Porcine Circovirus type 2), le virus de la grippe porcine (SIV de l'anglais Swine Influenza Virus) et Mycoplasma hyopneumoniae (figure 1), qui seront accompagnés de bactéries opportunistes qui profitent de la primo-infection pour développer leur action pathogène, comme Pasteurella multocida, Bordetella bronchiseptica ou Glaesserella parasuis, entre autres.

Figure 1 : Combinaisons d'agents pathogènes trouvés dans des cas de CRP diagnostiqués sur le terrain au cours des 4 dernières années au Service d'anatomie pathologique de la Faculté vétérinaire de l'Université de Murcie.

Figure 1 : Combinaisons d'agents pathogènes trouvés dans des cas de CRP diagnostiqués sur le terrain au cours des 4 dernières années au Service d'anatomie pathologique de la Faculté vétérinaire de l'Université de Murcie.

Sur la figure 1, nous pouvons voir comment M. hyopneumoniae est l'agent qui participe à la plupart des co-infections retrouvées dans le poumon des animaux diagnostiqués dans les cas de CRP. Ce pathogène, qui attaque les cils des cellules de l'épithélium des bronches et des bronchioles, altérant l'appareil mucociliaire, provoque également une hyperplasie du tissu lymphoïde associée à la muqueuse respiratoire. Les deux actions favorisent la colonisation, la prolifération et les mécanismes pathogèniques d'autres agents, primaires et secondaires, qui affectent le système respiratoire du porc. Dans différentes études expérimentales, on a pu vérifier qu'en plus de favoriser l'action d'autres agents pathogènes, il tend à la renforcer, de sorte que les combinaisons dans lesquelles M. hyopneumoniae apparaît ont tendance à être celles qui ont les pires conséquences pour les animaux atteints, et par conséquent, pour la rentabilité de l'élevage.

L'une des co-infections les plus fréquentes dans les élevages porcins en cas de CRP est causée par M. hyopneumoniae et le SDRPv (figure 2). Dans les cas où cette co-infection a été diagnostiquée, une corrélation positive a été observée entre les animaux séropositifs pour chacun des deux agents, c'est-à-dire que la plupart des animaux positifs pour le SDRPv sont également positifs pour M. hyopneumoniae. En outre, il a été constaté que M. hyopneumoniae prolonge et augmente la pneumonie produite par le SDRPv, ce qui pourrait être dû au fait que chez les animaux co-infectés par les deux agents pathogènes, il y a une augmentation des cytokines pro-inflammatoires, telles que IL1-β, IL-8 et TNF-α, qui augmentent la réaction inflammatoire au niveau pulmonaire, mais aussi une augmentation de la synthèse de l'IL-10, qui est une cytokine anti-inflammatoire qui inhibe et module la production d'autres cytokines et qui permettrait de perpétuer les dommages au niveau pulmonaire en empêchant le déclenchement d'une réaction inflammatoire incontrôlée. L'IL-10, à son tour, est également capable de moduler la réponse immunitaire de l'animal, ce qui, avec l'activation d'autres mécanismes, modifie la réponse immunitaire adaptative, permettant à l'agent pathogène de continuer à exercer son action dans les poumons pendant plus longtemps.

Figure 2. Poumon d'un porc co-infecté par M. hyopneumoniae et le SDRPv. Poumon non affaissé avec des zones de lésions rouge-brun réparties dans tout le parenchyme, lésions typiques du SDRP, qui présentent, en même temps dans les zones cranioventrales, des zones de consolidation, de couleur rougeâtre, produites par l'infection à M. hyopneumoniae.

Figure 2. Poumon d'un porc co-infecté par M. hyopneumoniae et le SDRPv. Poumon non affaissé avec des zones de lésions rouge-brun réparties dans tout le parenchyme, lésions typiques du SDRP, qui présentent, en même temps dans les zones cranioventrales, des zones de consolidation, de couleur rougeâtre, produites par l'infection à M. hyopneumoniae.

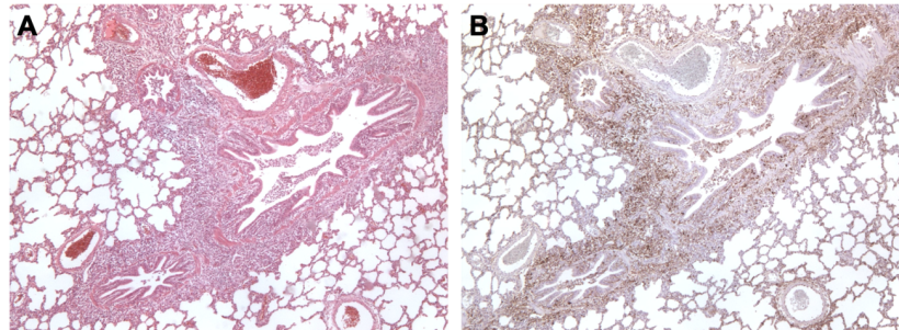
Dans le cas de la co-infection M. hyopneumoniae et PCV2, il a été constaté que M. hyopneumoniae augmente la gravité des lésions produites par le PCV2 dans les organes pulmonaires et lymphoïdes, favorisant une plus grande réplication du virus, ainsi que la persistance de celui-ci dans les tissus (figure 3), augmentant ainsi l'incidence des cas de circovirose systémique (le nom qui reçoit actuellement le processus de la MAP (appelé PMWS, de l'anglais Postweaning Multisystemic Wasting Syndrome).

Figure 3. Poumon d'un porc co-infecté par M. hyopneumoniae et PCV2. A: Zone d'hyperplasie lymphoïde péribronchiolaire causée par M. hyopneumoniae. B: Grande quantité d'antigène PCV2 dans la même zone d'hyperplasie lymphoïde.

Figure 3. Poumon d'un porc co-infecté par M. hyopneumoniae et PCV2. A: Zone d'hyperplasie lymphoïde péribronchiolaire causée par M. hyopneumoniae. B: Grande quantité d'antigène PCV2 dans la même zone d'hyperplasie lymphoïde.

Chez les animaux co-infectés par M. hyopneumoniae et le SIV (figure 4), il a été observé que lorsque les porcs sont infectés par une souche faiblement virulente du virus de la grippe porcine après une infection par M. hyopneumoniae, il y a une augmentation significative des symptômes et lésions pulmonaires, démontrant que le mycoplasme est capable d'augmenter la virulence de ces souches de SIV.

Figure 4. Poumon d'un porc co-infecté par M. hyopneumoniae et le SIV. Zones de consolidation rouge dans les parties cranioventrales du poumon et quelques autres de moindre extension dans les lobes diaphragmatiques. Dans ces lésions cranioventrales, les lésions de M. hyopneumoniae et de  SIV coexistent, ce qui ne permet pas de les distinguer macroscopiquement.

Figure 4. Poumon d'un porc co-infecté par M. hyopneumoniae et le SIV. Zones de consolidation rouge dans les parties cranioventrales du poumon et quelques autres de moindre extension dans les lobes diaphragmatiques. Dans ces lésions cranioventrales, les lésions de M. hyopneumoniae et de  SIV coexistent, ce qui ne permet pas de les distinguer macroscopiquement.

M. hyopneumoniae apparaît également fréquemment associé à d'autres bactéries, soit des agents primaires, comme Actinobacillus pleuropneumoniae (figure 5), soit des agents opportunistes, tels que Pasteurella multocida (figure 6), renforçant leur action dans le poumon.

Figure 5. Poumon d'un porc co-infecté par M. hyopneumoniae et A. pleuropneumoniae. Zones brun rougeâtre de consolidation cranioventrale, causées par une infection par M. hyopneumoniae, et une lésion ovale avec fibrose pleurale et zones hémorragiques dans le lobe diaphragmatique, qui correspondrait à la chronicité d'un foyer de nécrose produit par A. pleuropneumoniae.

Figure 5. Poumon d'un porc co-infecté par M. hyopneumoniae et A. pleuropneumoniae. Zones brun rougeâtre de consolidation cranioventrale, causées par une infection par M. hyopneumoniae, et une lésion ovale avec fibrose pleurale et zones hémorragiques dans le lobe diaphragmatique, qui correspondrait à la chronicité d'un foyer de nécrose produit par A. pleuropneumoniae.

Figure 6. Poumon d'un porc co-infecté par M. hyopneumoniae et P. multocida. Zones brun rougeâtre de consolidation cranioventrales surélevées par rapport au reste du parenchyme pulmonaire qui correspondraient à une lésion par P. multocida. Dans le lobe crânial et le bord cranioventral du lobe caudal, des zones de consolidation rougeâtres et d'aspect déprimé sont observées, correspondant aux lésions causées par M. hyopneumoniae.

Figure 6. Poumon d'un porc co-infecté par M. hyopneumoniae et P. multocida. Zones brun rougeâtre de consolidation cranioventrales surélevées par rapport au reste du parenchyme pulmonaire qui correspondraient à une lésion par P. multocida. Dans le lobe crânial et le bord cranioventral du lobe caudal, des zones de consolidation rougeâtres et d'aspect déprimé sont observées, correspondant aux lésions causées par M. hyopneumoniae.

Comme nous l'avons vu, lorsque M. hyopneumoniae apparaît dans des co-infections avec d'autres agents primaires du CRP , il agit en augmentant et en prolongeant les lésions causées par ces pathogènes ; son contrôle est donc essentiel pour minimiser les effets du CRP et réduire les pertes économiques associées à la maladie.

Commentaires de l'article

Cet espace n'est pas destiné a être une zone de consultation des auteurs mais c'est un lieu de discussionouverts à tous les utilisateurs de 3trois3.
Publier un nouveau commentaire

Pour commenter, vous devez être utilisateur de 3trois3 et vous connecter

Vous n'êtes pas inscrit à la liste Dernière heure

Dernières nouvelles de la filière porcine

Connectez-vous et inscrivez-vous à la liste

Articles liés

Produits liés dans la boutique

La boutique spécialiste en élevage porcin
Conseil et service technique
Plus de 120 marques et fabricants
Vous n'êtes pas inscrit à la liste La newsletter de 3trois3

Un résumé tous les 15 jours des nouveautés de 3trois3.com

Connectez-vous et inscrivez-vous à la liste