
Peligros abióticos en los productos cárnicos porcinos
Las posibilidades que un alimento se contamine con algún agente abiótico comienzan desde el momento de su producción y continúan hasta el momento en que es consumido.
Noticias, eventos y reportajes de actualidad del sector porcino
Los eventos del sector porcino que se organizan en todo el mundo
Forum de discusión sobre temas relacionados con el sector porcino
Un resumen semanal de las novedades de 3tres3.com
Boletín de noticias sobre el mundo del porcino
La salud del porcino: noticias y artículos sobre PRRS, PCV2, bioseguridad, etc., guía de enfermedades del cerdo, atlas de patología, casos clínicos...
Biocheck.UGent es un sistema de puntuación científico independiente, basado en riesgos, para evaluar la calidad de su bioseguridad en la granja.
Cómo realizar una necropsia en un cerdo, paso a paso, de una forma muy visual y práctica.
Toda la información sobre PPA: cómo reconocer la enfermedad, cómo se transmiste, imágenes de lesiones, últimas noticias, guías,...
Toda la información sobre Fiebre Aftosa en porcino: cómo reconocer la enfermedad, cómo se transmiste, imágenes de lesiones, últimas noticias, guías,...
Descripción de las enfermedades y afecciones más importantes en porcino
Lesiones y signos de las principales enfermedades porcinas
Herramienta para diagnosticar enfermedades del porcino
Un diccionario sobre terminología específica del sector porcino
Calcula la cantidad de medicamento a incorporar en el agua cuando usamos un dosificador de flujo
Un resumen semanal de las novedades de 3tres3.com
Precios del cerdo por países. Producción y comercio de carne de cerdo. Noticias del mercado del porcino y las materias primas
Últimas cotizaciones de los mercados mundiales más importantes del porcino. Históricos de precios en diversas monedas y en formato gráfico.
Últimas cotizaciones de las principales materias primas para piensos. Gráficas históricas junto con el precio del cerdo y estimación del precio del pienso.
Últimas cotizaciones de los principales cortes de carne de cerdo. Históricos de precios en diversas monedas y en formato gráfico.
Calcula tu coste de producción, compáralo con la referencia y valora como afecta cada parámetro al coste de producción total y al margen
Datos de censos, producción y comercio de carne.
Datos de producción y comercio mundial de las principales materias primas
Cotizaciones de porcino ibérico en las lonjas de Extremadura, Salamanca y Araporc.
Un resumen semanal de las novedades de 3tres3.com
Información semanal del precio del cerdo y materias primas además de un índice de materias primas.
Artículos sobre nutrición y alimentación de cerdos, características de las materias primas y aditivos para porcino y precios de las materias primas
Últimas cotizaciones de las principales materias primas para piensos. Gráficas históricas junto con el precio del cerdo y estimación del precio del pienso.
Datos de producción y comercio mundial de las principales materias primas
Fichas técnicas de las principales materias primas y aditivos. Incluyen información de valores nutricionales, producción y comercio, estudios recientes, ...
Un diccionario sobre terminología específica del sector porcino
Utiliza esta herramienta para diagnosticar problemas con el índice de conversión. Haz click en el diagrama de flujo o en los botones dentro del texto para navegar por las distintas partes de la herramienta.
Un boletín quincenal con las últimas novedades sobre la nutrición porcina
Artículos sobre genética y reproducción en el porcino: selección genética, genómica, inseminación artificial, uso de hormonas...
Compara los datos productivos, calcula el número de plazas para cerdas, transición y cebo y visualiza tus tareas sobre el calendario según cada tipo de MEB.
Calcula las entradas de cerdas necesarias en una granja en activo, una granja que inicia la actividad o una granja que amplia
Herramienta para comparar los datos reproductivos de tu granja con la base de datos BDporc y ver la evolución de los parámetros reproductivos de BDporc
Un diccionario sobre terminología específica del sector porcino
Utiliza esta herramienta para investigar porqué tu tasa de partos es inferior a la ideal. Clica en el diagrama de flujo o en los botones dentro del texto para navegar por las distintas partes de la herramienta.
Un resumen semanal de las novedades de 3tres3.com
Manejo y gestión de las granjas de cerdos y organización del trabajo en cada una de las fases de producción: manejo en gestación, cebo, manejo en bandas...
Compara los datos productivos, calcula el número de plazas para cerdas, transición y cebo y visualiza tus tareas sobre el calendario según cada tipo de MEB.
Calcula tu coste de producción, compáralo con la referencia y valora como afecta cada parámetro al coste de producción total y al margen
Calcula las entradas de cerdas necesarias en una granja en activo, una granja que inicia la actividad o una granja que amplia
Herramienta para comparar los datos reproductivos de tu granja con la base de datos BDporc y ver la evolución de los parámetros reproductivos de BDporc
Aquí puedes comparar diversos objetos o juguetes usados como material de enriquecimiento con el objetivo de prevenir las mordeduras de cola en cerdos.
Un diccionario sobre terminología específica del sector porcino
Un resumen semanal de las novedades de 3tres3.com
Diseño de instalaciones y equipos para granjas de cerdos: diseño de naves, climatización, sistemas de alimentación, etc. Comparadores de equipamiento.
Biocheck.UGent es un sistema de puntuación científico independiente, basado en riesgos, para evaluar la calidad de su bioseguridad en la granja.
¿Qué tolva se adapta mejor a mis necesidades? Aquí puedes comparar las características de diversas tolvas comerciales.
¿Qué bebedero se adapta mejor a mis necesidades? Aquí puedes comparar las características de diversos bebederos comerciales.
Calculadora de la Huella Ambiental a lo largo de la cadena de valor del sector porcino
Un diccionario sobre terminología específica del sector porcino
Utiliza esta herramienta para investigar que estrategia de gestión de purines se adapta mejor a tu situación. Clica en el diagrama de flujo o en los botones dentro del texto para navegar por las distintas partes de la herramienta.
Un resumen semanal de las novedades de 3tres3.com
Información sobre el sector cárnico porcino: noticias, legislación, artículos sobre calidad, higiene, seguridad alimentaria, etc. y precios de la carne.
El manual agrupa un conjunto de herramientas que facilitan la gestión de la seguridad alimentaria para las empresas del sector cárnico porcino.
Últimas cotizaciones de los principales cortes de carne de cerdo. Históricos de precios en diversas monedas y en formato gráfico.
Datos de censos, producción y comercio de carne.
Las novedades sobre la carne de cerdo en 3tres3.com

Las posibilidades que un alimento se contamine con algún agente abiótico comienzan desde el momento de su producción y continúan hasta el momento en que es consumido.

El sector de los derivados cárnicos y, especialmente, aquellos operadores que producen y comercializan embutidos, deben estar muy atentos a las novedades legales en materia de información alimentaria sobre sus productos.

Debido a que la sal tiene un papel multifuncional en los alimentos, su reducción se debe gestionar de forma individual, ya que puede producir modificaciones organolépticas, tecnológicas y de seguridad microbiológica en los alimentos en general y, en particular, en los productos cárnicos cocidos.

Una inadecuada limpieza y desinfección pero también el mal diseño de las instalaciones son, en muchas ocasiones, los responsables de muchas de las enfermedades transmitidas por los alimentos.

La carne es un elemento importante en la dieta de nuestro país, pero también lo es para el sector socioeconómico que lo produce. Sin embargo, siendo un sector tan importante, no se aprecia esta influencia en diferentes estamentos de regulación.

La aparición del Reglamento (CE) núm. 1169/2011 de información al consumidor, conjuntamente con el cumplimiento del Reglamento (CE) núm. 1333/2008 sobre aditivos alimentarios y el Real Decreto 474/2014, de 13 de junio por el que se aprueban las normas de calidad de los derivados cárnicos, ofrecen una gran oportunidad tanto al sector de la transformación y elaboración de derivados cárnicos como a la propia administración para poner remedio a la falta de información.

La sangre es un subproducto natural de la industria de la carne que permite obtener una gran variedad de ingredientes alimentarios especialmente adecuados para productos cárnicos.

Actualmente hay una preocupación creciente en la industria alimentaria en relación a la presencia de alérgenos, tanto por los riesgos que supone su presencia en los alimentos para los consumidores sensibles como por las exigencias en términos de etiquetado que marca la nueva normativa europea.

Conviene hacer un análisis particular y reflexivo, no sólo de las oportunidades que puedan presentarse para el sector, sino también de las posibles interferencias en el ámbito competitivo por la introducción de nuevos alimentos que puedan suponer la sustitución de un consumo de carne de cerdo.

El muestreo y posterior análisis de las muestras de una planta alimentaria ha de ser entendido como el resultado del análisis de medidas repetidas.

A la hora de considerar el valor nutritivo de un alimento no hay que dejarse influir por reservas de origen emocional o cultural, sino valorar los nutrientes que nos aporta.

La importancia de la temperatura para la conservación de la carne es ampliamente reconocida y, de hecho, la refrigeración constituye una de las estrategias y una medida de prevención clave para el correcto control de los peligros microbianos.

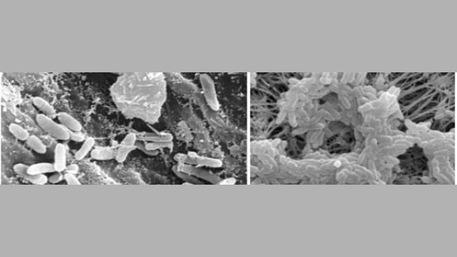
Los biofilms además de afectar a determinadas instalaciones, pueden ser fuente de contaminaciones, tanto de microorganismos deteriorantes como de patógenos.

El rendimiento en canal de los cerdos llega a un 70% de media, sin cabeza, riñones ni grasa abdominal, mientras que el vacuno, en iguales condiciones, no supera el 64% y otras especies de mamíferos quedan muy por debajo.

La prevención de la contaminación y el control de L. monocytogenes en cada una de las etapas de producción y conservación hasta el consumidor en las industrias productoras de productos listos para el consumo, es pues clave para minimizar el riesgo.

Los envases activos están diseñados para incorporar intencionadamente componentes que liberarán sustancias en el alimento envasado o en su entorno y/o absorberán sustancias del alimento o de su entorno.