Para combatir un determinado problema clínico en cualquier especie animal es necesario establecer un diagnóstico preciso de la enfermedad. En todos los casos, el examen clínico del paciente o pacientes es la piedra angular para poder avanzar en el diagnóstico.
Los brotes repentinos de enfermedad representan importantes retos tanto para los ganaderos como para los veterinarios, que deben identificar y actuar frente a las causas del problema para restablecer la normalidad. En estas circunstancias, el veterinario porcino se convierte en un investigador, ya que debe evaluar múltiples elementos que pueden contribuir a la causa de la enfermedad en un escenario complejo en el que intervienen aspectos relacionados con el ambiente, la nutrición, la bioseguridad, la epidemiología, la presencia de múltiples patógenos y la interacción humano-cerdo.

Las enfermedades que afectan a un conjunto de cerdos en la granja suelen ser de origen infeccioso o nutricional (toxicidad o deficiencia). El primer enfoque diagnóstico incluye siempre investigaciones clínicas y epidemiológicas exhaustivas por parte del veterinario. Si el resultado clínico genera mortalidad o cerdos gravemente afectados, la necropsia de algunos de ellos (los considerados representativos de la afección) debería proporcionar algunas pistas sobre la causa, o al menos permitir descartar ciertas etiologías.
La necropsia debe realizarse de forma ordenada, sistemática y completa.
La presencia de lesiones puede no proporcionar causas específicas en la mayoría de los casos, pero permite orientarse sobre ellas o reducir la lista de diagnósticos diferenciales
A modo de ejemplo, los patrones de neumonía macroscópica ofrecen un conjunto de posibilidades etiológicas, aunque en varios casos es necesario ir más allá y utilizar pruebas adicionales (laboratoriales).

Pm: Pasteurella multocida; Bb: Bordetella bronchiseptica; Mhyo: Mycoplasma hyopneumoniae.
*Mhyo suele participar en bronconeumonías supurativas como patógeno iniciador (causando primero una neumonía bronco-intersticial).

Mhyo: Mycoplasma hyopneumoniae

PRRSV: virus del síndrome respiratorio y reproductivo porcino; PCV2: circovirus porcino 2; PRCV: coronavirus respiratorio porcino; PCV3: circovirus porcino 3.
PRCV, PCV3 y otros virus, como los adenovirus, el virus de la enfermedad de Aujeszky y otros, suelen causar neumonías intersticiales leves.

App: Actinobacillus pleuropneumoniae; As: Actinobacillus suis; Pm: Pasteurella multocida

Análisis laboratorial: ¡no es oro todo lo que reluce!
Diferentes enfoques analíticos ayudan a identificar posibles patógenos (virus, bacterias, parásitos, hongos) o toxinas implicados en un problema clínico. Las más utilizadas hoy en día son las pruebas de biología molecular, como la PCR (reacción en cadena de la polimerasa) y sus variantes (cualitativa, cuantitativa, para ADN o ARN). La gran ventaja de esta técnica es su sensibilidad (capacidad de detectar cantidades mínimas de genoma patógeno o gen codificante para una toxina), pero también supone un inconveniente, ya que la mera detección de un patógeno o toxina en un escenario endémico no es suficiente para establecer un diagnóstico etiológico inequívoco.
Otras técnicas de laboratorio como el aislamiento bacteriano (incluido el antibiograma) son de gran utilidad, ya que permiten establecer un diagnóstico etiológico y ofrecen un posible tratamiento exitoso. Por otra parte, las técnicas de detección de anticuerpos son excelentes herramientas de seguimiento, pero ofrecen escasas posibilidades de diagnóstico, ya que la presencia de dichos anticuerpos depende del estado de vacunación y/o infección, así como de la inmunidad maternal.
Histopatología: una herramienta de valor añadido para confirmar la investigación diagnóstica
Aparte de las pruebas de laboratorio centradas específicamente en la determinación de patógenos o toxinas, la histopatología puede proporcionar un marco sólido para establecer la causa real de un problema clínico.
La detección de un patógeno o toxina determinados debe ser coherente con las observaciones clínicas, epidemiológicas y las lesiones macroscópicas, y el análisis histopatológico puede confirmar definitivamente dicha coherencia.
Un buen ejemplo de la utilidad de la evaluación microscópica sería la detección de un virus mediante PCR en un problema respiratorio en el que las lesiones histológicas típicas causadas por este agente no están presentes en el pulmón (suponiendo que el cerdo o grupo de cerdos sean representativos de la enfermedad observada). Tal escenario debería incitar a recapitular sobre el diagnóstico sospechado e investigar más a fondo.
El veterinario porcino debe considerar la histopatología como una herramienta muy valiosa, al menos tan importante como la PCR, el aislamiento bacteriano o la detección de anticuerpos. El análisis microscópico permite realizar diagnósticos morfológicos que refuerzan o contradicen lo establecido mediante resultados clínicos, epidemiológicos o de laboratorio, contribuyendo así a establecer la probable etiopatogenia del problema clínico. Esta información general es importante, ya que es una especie de predictor de cómo pueden funcionar o no las medidas de control y prevención implementadas para combatir la enfermedad.
La toma de muestras para histopatología (y para otras pruebas de laboratorio) es relativamente fácil, pero exige ciertos conocimientos sobre la patogénesis de la enfermedad, así como algunas habilidades técnicas:
- Las muestras deben tomarse de cadáveres frescos, idealmente, cerdos muertos recientemente o eutanasiados.
- Los tejidos deben fijarse inmediatamente por inmersión en formalina tamponada al 10%.
- No se recomienda el envío de muestras refrigeradas para análisis histopatológico, ya que se produce cierto grado de autólisis.
- La congelación de las muestras implica la presencia de múltiples artefactos que comprometen la interpretación microscópica.
- El tamaño de la muestra de tejido debe ser relativamente pequeño (o al menos fino para favorecer la fijación).
- La muestra debe incluir zonas macroscópicamente afectadas, así como trozos de tejido presumiblemente normales (Figura 1).
- En el caso de muestras intestinales, es importante abrir el intestino longitudinalmente para garantizar que la formalina entra en contacto directo con la mucosa entérica.
- Por el contrario, un órgano grande como el cerebro es preferible fijarlo en su totalidad o una mitad, para asegurar que la topografía del cerebro se mantenga durante la fijación, y luego el patólogo puede seleccionar la porción adecuada para tratar de establecer el diagnóstico más probable.

Figura 1. A. Muestreo general recomendado en un pulmón, tomando muestras que incluyan zonas normales y afectadas. B. En caso de lesiones focales, deben tomarse también zonas normales y afectadas, no sólo con lesión.
Es importante destacar que, además del análisis histopatológico simple (basado en la tinción hematoxilina-eosina, Figura 2), otras pruebas patológicas adicionales pueden ayudar en la búsqueda de agentes etiológicos.

Figura 2. Tinción hematoxilina-eosina en un pulmón normal (A) y afectado (B). El pulmón en B está afectado por una pleuroneumonía fibrino-necrotizante causada por Actinobacillus pleuropneumoniae.
Las más usadas son la inmunohistoquímica (Figura 3) y la hibridación in situ (Figura 4), que permiten detectar patógenos en el lugar de acción, lo que respalda su papel en el contexto clínico y patológico. Además, existen otras técnicas (tinciones histoquímicas), que no son suficientes para establecer una etiología específica, pero pueden dar indicios sobre la causa (por ejemplo, la tinción de Groccot para detectar hongos o la tinción de Gram para detectar bacterias grampositivas o negativas).

Figura 3. Inmunohistoquímica para detectar el virus del síndrome respiratorio y reproductivo porcino (PRRSV) (A) y el virus de la gripe porcina (B). La presencia del antígeno vírico (tinción marrón) se encuentra en las zonas afectadas.

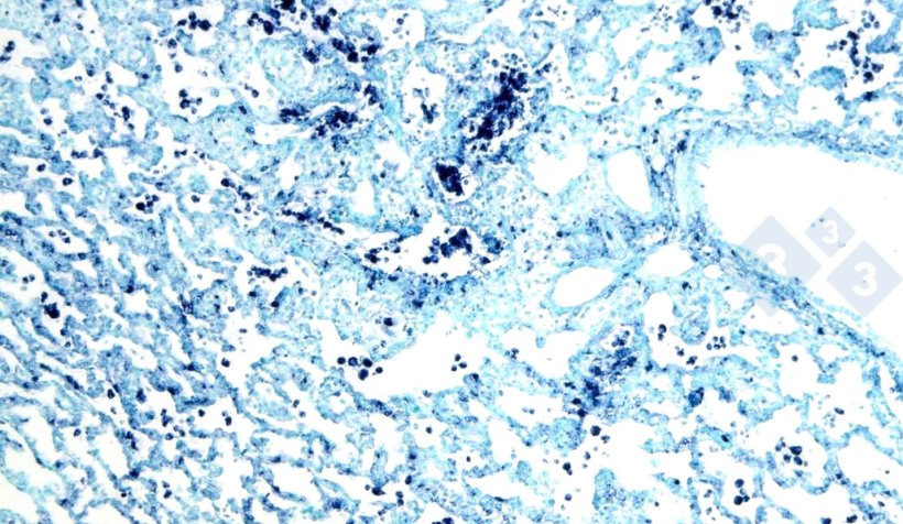
Figura 4. Hibridación in situ para detectar circovirus porcino 2 (PCV2) en un pulmón afectado de neumonía intersticial.
En resumen, el veterinario porcino, además de sus propias investigaciones clínicas, epidemiológicas y lesiones macroscópicas, dispone de una variedad de posibilidades analíticas, en las que la histopatología puede desempeñar un papel vertebrador. Una comunicación eficaz entre clínicos y patólogos mejora la capacidad de diagnóstico, lo que conduce a una resolución más temprana y eficaz de los problemas clínicos.




