Para combater determinado problema clínico em qualquer espécie animal, é necessário estabelecer um diagnóstico preciso da doença. Em todos os casos, o exame clínico do paciente ou pacientes é a pedra angular para avançar no diagnóstico.
Os surtos repentinos de doenças representam desafios importantes tanto para os produtores como para os veterinários, que devem identificar e agir sobre as causas do problema para restaurar a normalidade. Nestas circunstâncias, o veterinário da produção de suíno torna-se um pesquisador, pois deve avaliar múltiplos elementos que possam contribuir para a causa da doença em um cenário complexo em que intervêm aspectos relacionados ao meio ambiente, nutrição, biosseguridade, epidemiologia, presença de múltiplos patógenos e interação homem-suíno.

As doenças que afetam um grupo de suínos da granja são geralmente de origem infecciosa ou nutricional (toxicidade ou deficiência). A primeira abordagem diagnóstica inclui sempre investigações clínicas e epidemiológicas exaustivas por parte do veterinário. Se o resultado clínico gerar mortalidade ou suínos gravemente afetados, a necropsia de alguns deles (aqueles considerados representativos da doença) deverá fornecer algumas pistas sobre a causa, ou pelo menos permitir excluir certas etiologias.
A necropsia deve ser realizada de forma ordenada, sistemática e completa.
A presença de lesões pode não fornecer causas específicas na maioria dos casos, mas permite orientá-las ou estreitar a lista de diagnósticos diferenciais.
A título de exemplo, os padrões macroscópicos da pneumonia oferecem um conjunto de possibilidades etiológicas, embora em vários casos seja necessário ir mais longe e recorrer a testes (laboratoriais) adicionais.


Mhyo: Mycoplasma hyopneumoniae

PRCV, PCV3 e outros vírus, como adenovírus, vírus da doença de Aujeszky e outros, costumam causar pneumonia intersticial leve.


Análise laboratorial: nem tudo que reluz é ouro!
Diferentes abordagens analíticas ajudam a identificar possíveis patógenos (vírus, bactérias, parasitas, fungos) ou toxinas envolvidas em um problema clínico. Os mais utilizados atualmente são os testes de biologia molecular, como o PCR (reação em cadeia da polimerase) e suas variantes (qualitativas, quantitativas, para DNA ou RNA). A grande vantagem desta técnica é a sua sensibilidade (capacidade de detectar quantidades mínimas do genoma do agente patogênico ou do gene que codifica uma toxina), mas também acarreta uma desvantagem, uma vez que a mera detecção de um agente patogênico ou toxina num ambiente endêmico não é suficiente para estabelecer um diagnóstico etiológico inequívoco.
Outras técnicas laboratoriais, como o isolamento bacteriano (incluindo o antibiograma), são muito úteis, pois permitem estabelecer um diagnóstico etiológico e oferecer um possível tratamento bem-sucedido. Por outro lado, as técnicas de detecção de anticorpos são excelentes ferramentas de monitoramento, mas oferecem poucas possibilidades diagnósticas, uma vez que a presença dos referidos anticorpos depende do estado de vacinação e/ou infecção, bem como da imunidade materna.
Histopatologia: uma ferramenta de valor acrescentado para confirmar a investigação diagnóstica
Além dos testes laboratoriais focados especificamente na determinação de patógenos ou toxinas, a histopatologia pode fornecer uma estrutura sólida para estabelecer a causa real de um problema clínico.
A detecção de um determinado patógeno ou toxina deve ser consistente com observações clínicas, epidemiológicas e lesões macroscópicas, e a análise histopatológica pode confirmar definitivamente esta consistência.
Um bom exemplo da utilidade da avaliação microscópica seria a detecção de um vírus por PCR num problema respiratório em que as lesões histológicas típicas causadas por este agente não estão presentes no pulmão (assumindo que o suíno ou grupo de suínos é representativo da doença observada). Tal cenário deve levá-lo a recapitular o diagnóstico suspeito e investigar mais a fundo.
O veterinário suíno deve considerar a histopatologia como uma ferramenta muito valiosa, pelo menos tão importante quanto a PCR, o isolamento bacteriano ou a detecção de anticorpos. A análise microscópica permite fazer diagnósticos morfológicos que reforçam ou contradizem o estabelecido através de resultados clínicos, epidemiológicos ou laboratoriais, contribuindo assim para estabelecer a provável etiopatogenia do problema clínico. Esta informação geral é importante, pois é uma espécie de preditor de como as medidas de controle e prevenção implementadas para combater a doença podem ou não funcionar.
A colheita de amostras para histopatologia (e para outros exames laboratoriais) é relativamente fácil, mas requer algum conhecimento sobre a patogênese da doença, bem como algumas competências técnicas:
- As amostras devem ser colhidas de carcaças frescas, de preferência de suínos recentemente mortos ou sacrificados.
- Os tecidos devem ser fixados imediatamente por imersão em formalina tamponada a 10%.
- O envio de amostras refrigeradas para análise histopatológica não é recomendado, pois ocorre algum grau de autólise.
- O congelamento de amostras implica a presença de múltiplos artefatos que comprometem a interpretação microscópica.
- O tamanho da amostra de tecido deve ser relativamente pequeno (ou pelo menos fino para promover a fixação).
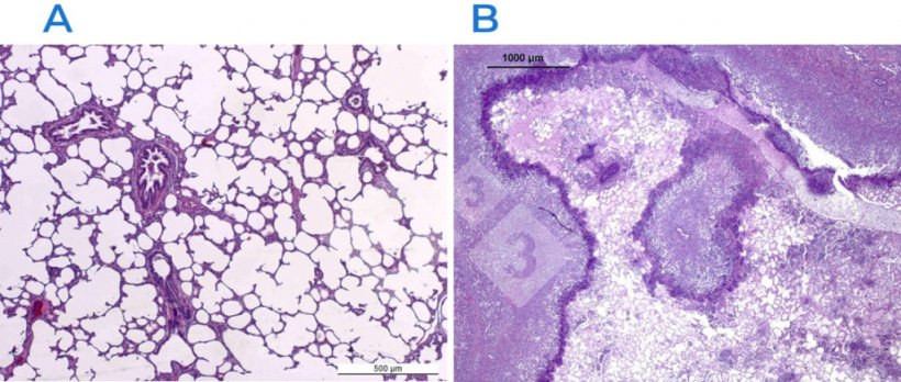
- A amostra deve incluir áreas macroscopicamente afetadas, bem como pedaços de tecido presumivelmente normal (Figura 1).
- No caso de amostras intestinais, é importante abrir o intestino longitudinalmente para garantir que a formalina entre em contacto direto com a mucosa entérica.
- Em contraste, um órgão grande como o cérebro é preferencialmente fixado no todo ou em parte, para garantir que a topografia seja mantida durante a fixação, e então o patologista pode selecionar a porção apropriada para tentar estabelecer o diagnóstico mais provável.

Figura 1. A. Muestreo general recomendado en un pulmón, tomando muestras que incluyan zonas normales y afectadas. B. En caso de lesiones focales, deben tomarse también zonas normales y afectadas, no sólo con lesión.
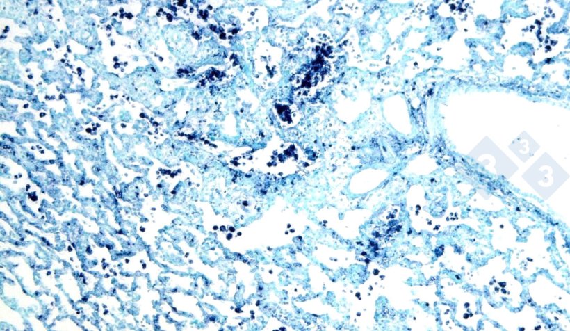
É importante ressaltar que além da análise histopatológica simples (baseada na coloração hematoxilina-eosina, Figura 2), outros exames patológicos adicionais podem auxiliar na busca de agentes etiológicos.

As mais utilizadas são a imunohistoquímica (Figura 3) e a hibridização in situ (Figura 4), que permitem detectar patógenos no local de ação, o que corrobora seu papel no contexto clínico e patológico. Além disso, existem outras técnicas (colorações histoquímicas) que não são suficientes para estabelecer uma etiologia específica, mas podem fornecer pistas sobre a causa (por exemplo, coloração de Groccot para detectar fungos ou coloração de Gram para identificar bactérias gram-positivas ou negativas).


Em resumo, o veterinário especialista em suíno, além de suas próprias investigações clínicas, epidemiológicas e de lesões macroscópicas, dispõe de uma variedade de possibilidades analíticas, nas quais a histopatologia pode desempenhar um papel coadjuvante. A comunicação eficaz entre médicos e patologistas melhora a capacidade de diagnóstico, levando a uma resolução mais precoce e eficaz dos problemas clínicos.




