Para combater um determinado problema clínico em qualquer espécie animal, é necessário estabelecer um diagnóstico exacto da doença. Em todos os casos, o exame clínico do(s) paciente(s) é a pedra angular para um diagnóstico mais aprofundado.
Os surtos súbitos de doenças representam grandes desafios, tanto para os produtores como para os veterinários, que devem identificar e actuar sobre as causas do problema para restabelecer a normalidade. Nestas circunstâncias, o veterinário de suínos torna-se um investigador, uma vez que tem de avaliar múltiplos elementos que podem contribuir para a causa da doença num cenário complexo que envolve aspectos relacionados com o ambiente, a nutrição, a biossegurança, a epidemiologia, a presença de múltiplos agentes patogénicos e a interacção homem-suíno.

As doenças que afectam um grupo de suínos na exploração são normalmente de origem infecciosa ou nutricional (toxicidade ou deficiência). A primeira abordagem de diagnóstico inclui sempre uma investigação clínica e epidemiológica exaustiva por parte do veterinário. Se o resultado clínico resultar em mortalidade ou em suínos gravemente afectados, a necropsia de alguns dos suínos (os considerados representativos da doença) deve fornecer algumas pistas sobre a causa ou, pelo menos, permitir que certas etiologias sejam excluídas.
A necropsia deve ser efectuada de forma ordenada, sistemática e exaustiva.
A presença de lesões pode não fornecer causas específicas na maioria dos casos, mas pode fornecer orientação ou reduzir a lista de diagnósticos diferenciais.
A título de exemplo, os padrões macroscópicos da pneumonia oferecem uma série de possibilidades etiológicas, embora em vários casos seja necessário ir mais longe e utilizar testes (laboratoriais) adicionais.

Pm: Pasteurella multocida; Bb: Bordetella bronchiseptica; Mhyo: Mycoplasma hyopneumoniae.
*Mhyo está frequentemente envolvida na broncopneumonia supurativa como agente patogénico inicial (causando primeiro a pneumonia bronco-intersticial).

Mhyo: Mycoplasma hyopneumoniae

PRRSV: virus do síndrome respiratório e reprodutivo suíno; PCV2: circovirus porcino 2; PRCV: coronavirus respiratorio suíno; PCV3: circovirus suíno 3.
PRCV, PCV3 e outros virus, como os adenovirus, o vírus da doença de Aujeszky e outros, causam frequentemente pneumonia intersticial ligeira.

App: Actinobacillus pleuropneumoniae; As: Actinobacillus suis; Pm: Pasteurella multocida

Análise laboratorial: nem tudo o que reluz é ouro!
Diferentes abordagens analíticas ajudam a identificar possíveis agentes patogénicos (vírus, bactérias, parasitas, fungos) ou toxinas envolvidos num problema clínico. Os mais utilizados actualmente são os testes de biologia molecular, como a PCR (reacção em cadeia da polimerase) e as suas variantes (qualitativa, quantitativa, para ADN ou ARN). A grande vantagem desta técnica é a sua sensibilidade (capacidade de detectar quantidades ínfimas do genoma do agente patogénico ou do gene que codifica uma toxina), mas também tem um inconveniente, uma vez que a mera detecção de um agente patogénico ou de uma toxina num contexto endémico não é suficiente para estabelecer um diagnóstico etiológico inequívoco.
Outras técnicas laboratoriais, como o isolamento bacteriano (incluindo o antibiograma), são muito úteis, uma vez que permitem estabelecer um diagnóstico etiológico e oferecem um possível tratamento bem sucedido. Por outro lado, as técnicas de detecção de anticorpos são excelentes instrumentos de monitorização, mas oferecem possibilidades de diagnóstico limitadas, uma vez que a presença de anticorpos depende do estado da vacinação e/ou da infecção, bem como da imunidade materna.
Histopatologia: uma ferramenta de valor acrescentado para confirmar a investigação diagnóstica
Para além dos testes laboratoriais especificamente orientados para a determinação de agentes patogénicos ou toxinas, a histopatologia pode fornecer um quadro sólido para estabelecer a causa real de um problema clínico.
A detecção de um determinado agente patogénico ou toxina deve ser consistente com as observações clínicas e epidemiológicas e com as lesões macroscópicas e a análise histopatológica pode confirmar definitivamente esta consistência.
Um bom exemplo da utilidade da avaliação microscópica seria a detecção de um vírus por PCR num problema respiratório em que as lesões histológicas típicas causadas por este agente não estão presentes no pulmão (partindo do princípio de que o suíno ou grupo de suínos são representativos da doença observada). Este cenário deveria levar a uma recapitulação do diagnóstico suspeito e a uma investigação mais aprofundada.
O veterinário de suínos deve considerar a histopatologia como um instrumento muito valioso, pelo menos tão importante como a PCR, o isolamento bacteriano ou a detecção de anticorpos. A análise microscópica permite diagnósticos morfológicos que reforçam ou contradizem o que foi estabelecido por achados clínicos, epidemiológicos ou laboratoriais, ajudando assim a estabelecer a provável etiopatogénese do problema clínico. Esta informação geral é importante, pois é uma espécie de preditor de como as medidas de controlo e prevenção implementadas para combater a doença podem ou não funcionar.
A recolha de amostras para histopatologia (e outros testes laboratoriais) é relativamente fácil, mas requer algum conhecimento da patogénese da doença, bem como algumas competências técnicas:
- As amostras devem ser colhidas de carcaças frescas, idealmente de suínos recentemente mortos ou eutanasiados.
- Os tecidos devem ser imediatamente fixados por imersão em formalina tamponada a 10%.
- Não se recomenda o envio de amostras refrigeradas para análise histopatológica, uma vez que ocorre um certo grau de autólise.
- A congelação das amostras implica a presença de múltiplos artefactos que comprometem a interpretação microscópica.
- O tamanho da amostra de tecido deve ser relativamente pequeno (ou pelo menos fino para favorecer a fixação).
- A amostra deve incluir áreas macroscopicamente afectadas, bem como pedaços de tecido presumivelmente normal (Figura 1).
- No caso de amostras intestinais, é importante abrir o intestino longitudinalmente para assegurar que a formalina entra em contacto directo com a mucosa entérica.
- Em contrapartida, um órgão de grandes dimensões, como o cérebro, é de preferência fixado na totalidade ou em metade, para garantir que a topografia do cérebro é mantida durante a fixação, podendo o patologista seleccionar a porção adequada para tentar estabelecer o diagnóstico mais provável.

Figura 1. A. Amostragem geral recomendada num pulmão, recolhendo amostras que incluam áreas normais e afectadas. B. No caso de lesões focais, devem também ser observadas as áreas normais e afectadas, e não apenas as lesões.
É importante referir que, para além da análise histopatológica simples (baseada na coloração com hematoxilina-eosina, Figura 2), outros exames patológicos podem ajudar na procura de agentes etiológicos.

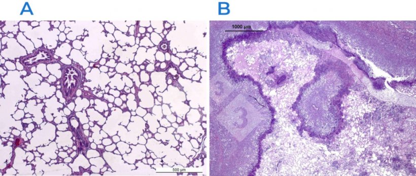
Figura 2. Coloração de hematoxilina-eosina de um pulmão normal (A) e afectado (B). O pulmão B é afectado por uma pleuropneumonite fibrino-necrotizante causada por Actinobacillus pleuropneumoniae.
As mais utilizadas são a imunohistoquímica (Figura 3) e a hibridização in situ (Figura 4), que permitem a detecção de agentes patogénicos no local de acção, apoiando o seu papel no contexto clínico e patológico. Além disso, existem outras técnicas (colorações histoquímicas), que não são suficientes para estabelecer uma etiologia específica, mas podem fornecer pistas sobre a causa (por exemplo, coloração de Groccot para fungos ou coloração de Gram para bactérias gram-positivas ou gram-negativas).

Figura 3. Inmunohistoquímica para detectar o vírus do síndrome respiratório e reprodutivo suíno (PRRSV) (A) e o vírus da gripe suína (B). A presença do antigénio vírico (corante castanho) é encontrada nas áreas afectadas.

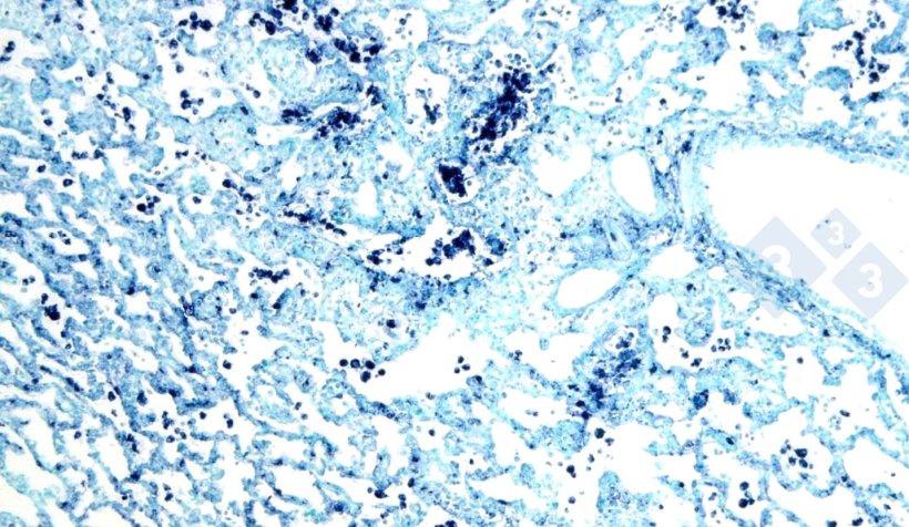
Figura 4. Hibridação in situ para detectar circovirus suíno 2 (PCV2) num pulmão afectado de pneumonia intersticial.
Em resumo, o veterinário de suínos, para além das suas próprias investigações clínicas, epidemiológicas e de lesões macroscópicas, tem à sua disposição uma variedade de possibilidades analíticas, nas quais a histopatologia pode desempenhar um papel fundamental. Uma comunicação eficaz entre clínicos e patologistas melhora a capacidade de diagnóstico, conduzindo a uma resolução mais rápida e mais eficiente dos problemas clínicos.




