Criterios diagnósticos: individuo
Actualmente existen una serie de criterios internacionalmente aceptados en relación al diagnóstico de un caso individual (cerdo) de circovirosis porcina. Un animal sufrirá esta enfermedad cuando cumpla los siguientes tres criterios:
1. Sintomatología clínica dominada por retraso en el crecimiento y desmedro, frecuentemente con disnea e incremento de tamaño de los linfonodos inguinales superficiales.
2. Presencia de lesiones microscópicas características en los órganos linfoides: depleción linfocitaria conjuntamente con infiltración histiocitaria (granulomatosa), y con presencia variable de células gigantes multinucleadas y cuerpos de inclusión intracitoplásmicos de PCV2.
3. Detección de PCV2 en las lesiones de los tejidos linfoides de los cerdos afectados a través de una técnica que permita correlacionar la cantidad de virus con la intensidad de las lesiones.

![]() |
![]() |
||
|
|
![]() |
|
![]() |
|
|
![]() |
|
|
|
|
Un cerdo infectado por PCV2 no es necesariamente un cerdo con circovirosis porcina Los criterios de diagnóstico laboratorial de la circovirosis porcina (criterios 2 y 3) deben de matizarse: ![]() |
Criterios diagnósticos: granja
Actualmente se sabe que se dan casos individuales de circovirosis porcina, lógicamente, en granjas donde esta enfermedad es un problema significativo, con elevada mortalidad post-destete, pero también en granjas con datos productivos muy buenos y baja mortalidad en transición y engorde.
Por tanto, a pesar de que los criterios diagnósticos individuales son estrictamente necesarios para el establecimiento del diagnóstico de circovirosis porcina, también se necesita una definición de la enfermedad en el contexto de granja entendida como el conjunto de los animales.
Se han realizado distintos esfuerzos para establecer una definición diagnóstica de la circovirosis porcina a nivel de granja, y se consideran dos grandes criterios diagnósticos:
1. Proceso clínico caracterizado por un incremento significativo del porcentaje de mortalidad y de cerdos con desmedro en transición/engorde respecto a los niveles históricos de la granja.
2. Diagnóstico individual de la circovirosis porcina en un grupo de cerdos de la granja (aplicando los tres criterios individuales previamente comentados).
![]() |
¿Cuándo considerar un incremento significativo de la mortalidad y porcentaje de cerdos con desmedro?
|
Criterio estadístico: el incremento o decremento significativo de una variable que sigue una distribución normal se establece a través de la media más el doble de la desviación estándar (DE), de manera que se incluye el 95% de las posibles observaciones (95% de confianza)
|
Criterio biológico: en caso de enfermedad, tal como en la circovirosis porcina, solamente podrá darse incremento de los valores negativos.
Por tanto, si se pretende incluir el 95% de las observaciones (95% de confianza), entonces se lograría a través de la media más la DE multiplicada por 1,66 |
![]() |
![]() |
|
En una distribución normal, la media más/menos el doble de la DE incluye el 95% de las observaciones. El 5% restante se distribuye un 2.5% a la derecha y un 2.5% a la izquierda de la curva
|
En el contexto de una enfermedad que solamente puede producir un incremento de la mortalidad o de animales enfermos, la media más la DE multiplicada por 1,66 incluye el 95% de las observaciones. El 5% restante se distribuye exclusivamente a la derecha de la curva
|
![]() |
Por tanto, el primer criterio del diagnóstico de granja de la circovirosis porcina, asumiendo que esta mortalidad se comporta siguiendo una distribución relativamente normal, quedaría como: | ||
|
Proceso clínico caracterizado por un incremento significativo del porcentaje de mortalidad y de cerdos con desmedro en transición/engorde respecto a los niveles históricos de la granja:
|
|||
Este primer criterio correspondería a la definición de un brote de enfermedad: ¿Qué pasa con aquellas granjas que se encuentran en una fase enzoótica del proceso? Para ello, la definición propuesta para el diagnóstico de granja sería: |
|||
|
Proceso clínico caracterizado por un elevado porcentaje de mortalidad y de cerdos con desmedro en transición/engorde, observado de forma continuada en la granja.
|
|||
|
|||
¿Qué número de animales se deben analizar individualmente para confirmar que sufren una circovirosis porcina?
En términos generales se puede considerar que una enfermedad es la dominante o principal en una granja cuando al menos un 50% de los animales que mueren o que enferman corresponden a esta enfermedad.
Por tanto, es evidente que necropsiar y analizar laboratorialmente sólo un animal enfermo tiene un riesgo muy grande (al menos el 50% en el peor de los casos) de que,
a pesar de que exista circovirosis porcina como enfermedad dominante, no la detectemos. Por ello, de forma general, se recomendaría que cuantos más animales analizados, mejor. No obstante, también se pueden aplicar criterios estadísticos a este concepto.
|
¿Cuántos animales deberíamos analizar para detectar al menos un caso de animal enfermo en caso de una enfermedad de al menos un 50% de incidencia, con un nivel de confianza del 95%?
|
Las tablas o programas estadísticos confirmarían que, en esta situación, e independiente del número total de animales enfermos, deberían analizarse 5 cerdos.
![]() |
![]() |
La experiencia dice que, cuando existe circovirosis porcina, al menos 60-70% de los animales que mueren en el post-destete, lo hacen con diagnóstico de esta enfermedad. Por ello, y aplicando otra vez las tablas o programas estadísticos, se observa que la necropsia y análisis laboratorial de 3 o 4 cerdos también sería suficiente para confirmar la existencia de la enfermedad.
|
|
Por tanto, el segundo criterio del diagnóstico de granja de la circovirosis porcina quedaría como:
Diagnóstico individual de la circovirosis porcina en 3 a 5 cerdos enfermos de la granja (aplicando los tres criterios individuales previamente comentados) |
¿Cuál es el interés de una definición estricta de la circovirosis porcina?
Lógicamente, en este cuaderno se ha realizado una sugerencia de definición de granja afectada de la circovirosis porcina que no tiene por qué ser la única y exclusiva, pero al menos permite establecer una definición lógica y fácilmente aplicable, con criterio epidemiológico.
INTERÉS Nº 1:
Establecimiento de criterios diagnósticos objetivos.
Es muy posible que, dada la controversia que se generó en torno a la circovirosis porcina, especialmente a finales de los años 90, se ha tendido a “pedir” a esta enfermedad mucho más de lo que habitualmente se utiliza para diagnosticar cualquier otra enfermedad. No obstante, ello ha permitido ordenar adecuadamente el
conocimiento sobre la circovirosis porcina y establecer de forma muy precisa una definición diagnóstica.
INTERÉS Nº 2:
Elemento de decisión objetiva en relación al uso o no de vacuna u otras posibles estrategias de control.
En un futuro relativamente cercano van a estar disponibles en el mercado vacunas frente a PCV2 con el objeto de minimizar o controlar la circovirosis porcina. Por tanto, teniendo en cuenta que esta enfermedad cursa con una sintomatología clínica relativamente inespecífica (muchas otras enfermedades cursan también con desmedro en el cerdo), el diagnóstico preciso de la misma será fundamental para establecer los criterios objetivos de aplicación de un producto vacunal.
Técnicas diagnósticas laboratoriales: ¿qué sirve y qué no sirve?
![]() ![]() |
Se han desarrollado múltiples técnicas de detección de PCV2 en tejidos u otras muestras, así como de detección de anticuerpos frente a este virus.
De las técnicas mencionadas NO existe ninguna que, de forma individual, permita el diagnóstico definitivo de la circovirosis porcina.
Internacionalmente se acepta que la técnica de elección (“gold standard”) para el diagnóstico laboratorial de la circovirosis porcina es una combinación de la histopatología más una técnica de detección de PCV2 en los tejidos (inmunohistoquímica o hibridación in situ).
Estas técnicas de detección de PCV2 permiten correlacionar la intensidad de las lesiones de los órganos linfoides con la cantidad de virus.
| Técnicas utilizadas para el diagnóstico de la circovirosis porcina y/o la detección de PCV2 o anticuerpos frente a este virus | |
| Histopatología | Permite detectar las lesiones microscópicas características |
| Inmunohistoquímica | Permite detectar antígeno de PCV2 en las lesiones microscópicas |
| Hibridación in situ | Permite detectar ácido nucleico de PCV2 en las lesiones microscópicas |
| Inmunofluorescencia* | Permite detectar antígeno de PCV2 en los tejidos |
| Reacción en cadena de la polimerasa (PCR) | Permite detectar DNA de PCV2 en tejidos, líquidos orgánicos o hisopos |
| PCR cuantitativa* | Permite detectar y cuantificar el DNA de PCV2 en tejidos, líquidos orgánicos o hisopos |
| Aislamiento vírico* | Permite detectar PCV2 (virus viable) que es aislado en un cultivo celular, generalmente en la línea celular PK-15 |
| Inmunoperoxidasa sobre monocapa de cultivo celular (IPMA)* | Permite detectar anticuerpos frente a PCV2; permite la titulación del suero |
| ELISA | Permite detectar anticuerpos frente a PCV2; podría permitir titulación sérica aunque generalmente no se utiliza |
*Técnicas laboratoriales poco o no utilizadas desde un punto de vista de disponibilidad comercial
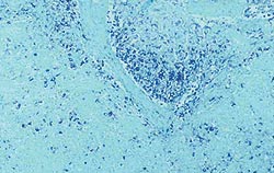
A mayor intensidad lesional, mayor cantidad de PCV2
![]() |
![]() |
| Normal | Ligera |
![]() |
![]() |
| Moderada | Intensa |
|
Depleción linfocitaria e infiltración granulomatosa ligera, moderada e intensa, comparadas con un linfonodo de estructura histológica normal. Lesiones moderadas e intensas definen a la circovirosis porcina. Tinciones de HE.
|
La PCR es una técnica muy sensible que permite detectar una muy baja cantidad de PCV2, pero al ser una técnica cualitativa (resultado positivo frente a negativo), un resultado positivo puede corresponder tanto a un cerdo con enfermedad como a un cerdo infectado de forma subclínica. Por tanto, la PCR NO es una buena herramienta para el diagnóstico de la circovirosis porcina.
![]() |
![]() |
| Moderada | |
![]() |
|
| Ligera | Elevada |
|
Cantidades ligera, moderada y elevada de genoma de PCV2 en órganos linfoides. Las dos imágenes de la derecha se corresponden con casos de circovirosis porcina. Técnicas de hibridación "in situ".
|
Teniendo en cuenta que PCV2 es un virus ubicuo y que prácticamente el 100% de las granjas se infectan (y en ellas prácticamente todos los animales durante la fase de post-destete), se puede inferir que un cerdo (que acabe enfermando o no) va a ser positivo a PCR en algún momento de su vida. De ahí el bajo valor diagnóstico de la PCR con relación a la circovirosis porcina.
PCR para la detección de DNA de PCV2. La columna 1 corresponde a la escalera de pesos moleculares. Se observa positividad en las columnas 2, 3, 4, 5, 8, 9, 13 y 14. El 13 y 14 corresponden a cerdos normales de una granja sin circovirosis porcina.
Ello indica que la PCR es una técnica NO discriminatoria para el diagnóstico de la enfermedad.
La PCR cuantitativa podría ser, en un futuro, una herramienta diagnóstica importante dado que permite la cuantificación de PCV2. Ello permite inferir que cuanta mayor cantidad de virus, mayor intensidad lesional y, por consiguiente, se puede establecer un umbral a partir del cual se considere que un animal presenta una circovirosis porcina o bien una enfermedad subclínica.
![]() |
Finalmente, la serología es una herramienta que permite monitorizar la infección por PCV2 en una población. No obstante, adolece del mismo problema que la PCR. Al no existir un diferencial serológico entre cerdo enfermo por circovirosis porcina y cerdo infectado subclínicamente por PCV2, esta técnica carece de valor diagnóstico.
![]() |
Granja A, afectada de circovirosis porcina1![]() |
|
1 Seroperfil (barras violeta) y PCR-perfil (barras azules) transversales frente a PCV2. El proceso clínico se inició entre las 10 y 12 semanas de vida, hecho que se corresponde con un incremento significativo del número de animales infectados y con seroconversión al virus. |
Granja B, afectada de circovirosis porcina1![]() |
|
1 Seroperfil (barras violeta) y PCR-perfil (barras azules) transversales frente a PCV2. El proceso clínico se inició entre las 7 y 10 semanas de vida, hecho que se corresponde con un incremento ligero del número de animales infectados y con seroconversión al virus. |
Granja C, NO afectada de circovirosis porcina1![]() |
|
1 Seroperfil (barras violeta) y PCR-perfil (barras azules) transversales frente a PCV2. A pesar de la ausencia de enfermedad clínica, prácticamente todos los animales seroconvierten, lo que indica infección con el virus. |
Granja D, NO afectada de circovirosis porcina1![]() |
|
1 Seroperfil (barras violeta) y PCR-perfil (barras azules) transversales frente a PCV2. A pesar de la ausencia de enfermedad clínica, prácticamente todos los animales seroconvierten y se infectan con PCV2. |
![]() |
Diagnóstico global del problema de granja
Se entiende como diagnóstico global al compendio de diagnósticos clínicos y laboratoriales que permiten detallar los distintos componentes asociados a la ocurrencia de enfermedad, con el objetivo de eliminarlos, contrarrestarlos o minimizarlos.
Por tanto, en todos los casos, lo más importante es conocer qué procesos, enfermedades o factores son responsables de la situación clínica que se tiene en la granja.
Una aproximación global al diagnóstico de granja con sospecha de circovirosis porcina debería racionalizarse de la siguiente manera:
![]() |
El diagnóstico global permite:
|
- Conocer si el problema clínico detectado es realmente circovirosis porcina.
- Conocer qué otros procesos patológicos se dan conjuntamente con la circovirosis porcina. - Aplicar una estrategia de tratamiento o prevención específica frente a aquellos procesos patológicos concomitantes. - En caso de que el proceso clínico no sea circovirosis porcina, conocer la causa o causas de la enfermedad clínica y, por tanto, aplicar la estrategia de tratamiento o prevención específica frente a ellas. |
Nótese la importancia del establecimiento del diagnóstico de la propia circovirosis porcina, dado que desde el punto de vista clínico:
![]() |












































