El virus de la Influenza A (IAv) es el agente responsable de una enfermedad respiratoria porcina económicamente muy importante a nivel mundial. A medida que la ecología del IAv se ha vuelto más compleja, debido a la mutación y recombinación viral, han ido surgiendo nuevos tipos de muestras y pruebas diagnósticas para detectar o diagnosticar infecciones por influenza en cerdos.
Las pruebas diagnósticas disponibles permiten la detección directa o indirecta de infecciones activas o exposiciones previas, respectivamente. La toma de muestras para pruebas directas va dirigida a detectar la replicación y excreción del virus, que tiene lugar entre el día 1 y 8 después de la infección. La respuesta de los anticuerpos puede detectarse de 7 a 21 días tras la exposición al virus y, preferiblemente, a partir de un par de muestras de suero recogidas con 2-4 semanas de diferencia. Las muestras diagnósticas, independientemente del tipo, deben ser refrigeradas a 4°C y transportadas con bolsas de hielo a un laboratorio de diagnóstico en 48 horas (figura 1).


Figura 1. Toma de muestras dirigida a la detección directa o indirecta y al diagnóstico del virus de la influenza A en cerdos. La toma de muestras para la detección directa debe realizarse durante la excreción del virus, al principio del curso de la enfermedad. La detección indirecta de anticuerpos contra la influenza debe realizarse después de la eliminación del virus y va dirigida a la respuesta inmune contra la infección.
El análisis mediante la reacción en cadena de la polimerasa con transcriptasa inversa (RT-PCR, por sus siglas en inglés) es la prueba diagnóstica comúnmente utilizada en muchos laboratorios como herramienta de detección de infecciones por IAv a partir de muestras recogidas ante y postmortem, que incluyen fluidos orales, secreciones nasales y tejido pulmonar. La RT-PCR es una prueba rápida, sensible y específica basada en la detección de material genético del IAv, o ARN, con resultados rápidos. Además, la RT-PCR puede utilizarse para subtipificar las infecciones por influenza y determinar si el virus es H1N1, H1N2 o H3N2. Los resultados de RT-PCR a partir de muestras recogidas antemortem deben interpretarse con cautela ya que se puede obtener un resultado positivo a partir de animales sin signos clínicos a pesar de la presencia del virus. La secuenciación de genes específicos de la Influenza, como la hemaglutinina, y el aislamiento del virus también se utilizan cuando se quiere caracterizar un determinado virus de la IA en una población.
La inmunohistoquímica (ICH) es una prueba adecuada para el diagnóstico de la infección por influenza en cerdos, pero está limitada a tejidos fijados en formalina. Una reacción química produce una señal que identifica al antígeno del virus de la influenza, que puede verse mediante un microscopio. Una ventaja de la IHC es que las señales del virus están asociadas a lesiones de influenza en el tejido pulmonar. Sin embargo, la fijación en formalina y la selección de la muestra pueden afectar a la sensibilidad o especificidad de la prueba.
Las muestras recogidas antemortem que son útiles para detectar la presencia del virus de la IA en cerdos incluyen fluidos orales y secreciones nasales. Los fluidos orales se han vuelto cada vez más frecuentes como herramienta diagnóstica debido a la facilidad de su recogida y a que representan una población mayor. Las muestras de fluidos orales se recogen mediante cuerdas de algodón suspendidas a la altura de la cruz durante aproximadamente 20-30 minutos. Se tiene que evitar la contaminación externa con alimento, heces y material orgánico. Las secreciones nasales se deben recoger mediante un hisopo sintético (rayón o dacrón) con vástago de plástico y un fluido de transporte adecuado para virus.
Las muestras de fluidos orales pueden ser difíciles de recoger en lechones recién nacidos, pero son adecuadas para lechones destetados, cerdos de engorde y adultos. Una desventaja de los fluidos orales es que este tipo de muestras contienen inhibidores que pueden afectar a la detección por RT-PCR y que la presencia de cantidades pequeñas de virus puede impedir la secuenciación o el aislamiento del virus. Normalmente los hisopos nasales suelen funcionar mejor para detectar y aislar influenza, debido a las grandes cantidades de virus que hay en dichas muestras, pero requiere la recogida individual en un número suficiente de animales como para representar a la población durante la fase de infección.
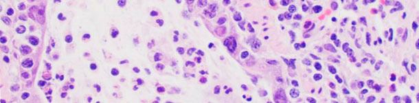
El diagnóstico de la enfermedad clínica por el IAv en cerdos requiere de muestras recogidas postmortem, que pueden incluir tejido pulmonar fresco o fijado en formol, tráquea o fluido de lavado pulmonar. Los tejidos pulmonares infectados con influenza suelen mostrar una consolidación multifocal de color púrpura a rojo en las porciones craneoventrales de los pulmones. Un patólogo verá necrosis en el epitelio de las vías respiratorias (bronquios o bronquiolos) de los pulmones afectados. La combinación de signos clínicos, lesiones macroscópicas y microscópicas y una prueba complementaria positiva, como una RT-PCR o IHC, confirma el diagnóstico de la infección y enfermedad clínica por influenza (figura 2).

Figura 2. El virus de la Influenza A es una importante causa de enfermedad respiratoria porcina. A. Las lesiones microscópicas compatibles con la infección por influenza incluyen necrosis del epitelio bronquiolar (flecha) donde el virus se replica. B. Lesiones pulmonares importantes en forma de consolidación de color púrpura a rojo y con un patrón de tablero de ajedrez. C. El virus de la Influenza A se puede detectar mediante inmunohistoquímica (IHC) como señales de color marrón asociadas a necrosis del epitelio respiratorio (punta de flecha).

El suero es una muestra recogida antemortem usada para detectar anticuerpos contra el IAv en los cerdos. La prueba de ELISA de bloqueo dirigida contra la nucleoproteína conservada de la influenza es una herramienta de detección para confirmar la exposición al virus, la vacunación o, en el caso de lechones neonatales o destetados, la presencia de anticuerpos maternales. Sin embargo, ELISA no es útil para predecir la protección contra la infección. Las pruebas de anticuerpos funcionales, como la inhibición de la hemaglutinación (HI) o la neutralización viral en suero (SVN), pueden ayudar a predecir la protección cruzada cuando se utilizan el anti-suero y el antígeno apropiados. El uso de vacunas contra la influenza y la existencia de infecciones endémicas activas en muchas regiones puede limitar el beneficio de las pruebas serológicas para la influenza. Se deben interpretar los resultados serológicos en contexto, con las características específicas de la granja y una historia completa.
En general, cuando nos enfrentamos a una infección o enfermedad clínica por influenza en cerdos, hay que tener en cuenta lo que se quiere diagnosticar y las pruebas necesarias para conseguir el resultado adecuado. Para maximizar la eficacia de las pruebas de diagnóstico para IAv en cerdos, se recomienda consultar a un veterinario y/o laboratorio de diagnóstico y utilizar sus protocolos específicos para la toma y análisis de muestras.


