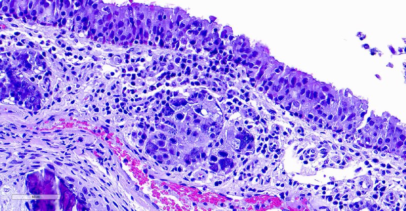
La rinitis por cuerpos de inclusión (IBR) está causada por el citomegalovirus porcino (PCMV). Esta enfermedad recibió su nombre debido a los característicos cambios histopatológicos observados en las células de la mucosa nasal de los cerdos afectados. Estos animales presentan cuerpos de inclusión intranucleares basófilos, principalmente en las glándulas submucosas, aunque también pueden hallarse en otros tejidos. Aunque el PCMV está ampliamente distribuido y presenta una elevada prevalencia en las poblaciones porcinas, su impacto en la industria porcina sigue sin estar claramente definido y suele ser subestimado, debido a las posibles interacciones con otros patógenos.

Objetivo: El objetivo de este estudio fue evaluar una posible relación entre la IBR en cerdos y determinados hallazgos observados en las necropsias.
Métodos: Para ello, se llevó a cabo un estudio experimental-retrospectivo en el que se analizaron 1.621 necropsias porcinas realizadas entre 2010 y 2022 en el Servicio de Diagnóstico de Patología Veterinaria de la Universidad Autónoma de Barcelona, donde se establecieron tres grupos de estudio: 38 animales con IBR (Grupo 1), 47 con rinitis pero sin cuerpos de inclusión (Grupo 2) y 48 sin rinitis ni cuerpos de inclusión (Grupo 3).

Resultados: Tras aplicar diversos métodos estadísticos, el análisis comparativo reveló que la atrofia serosa de la grasa subepicárdica y la atrofia y fusión de las vellosidades intestinales fueron significativamente más frecuentes en los cerdos con IBR que en los grupos control, lo que sugiere una posible asociación con signos de deterioro sistémico. Además, la gastritis fue más común en los Grupos 1 y 2 en comparación con el Grupo 3.
Conclusión: Estos hallazgos indican que la infección por PCMV no siempre cursa de forma subclínica y podría estar asociada a signos de afectación sistémica en cerdos bajo condiciones de campo.
