Dinámica folicular: La herramienta diagnóstica reproductiva del presente y futuro.
El desempeño de la nulípara marca fuertemente la mejora genética tanto como la producción de la explotación. Pero,
¿qué pasa si las nulíparas no entran en celo? ¿Tengo herramientas para minimizar este problema?
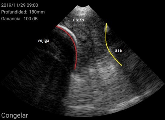
Nuestro caso clínico inicia el 29 de noviembre de 2019, en una explotación de 1100 madres genética Danbred localizada en Aragón.
La granja es estable a PRRS, los datos productivos se enlistan a continuación:
Nacidos Totales: 16,64
Nacidos Vivos: 14,90
Momias: 0,15
Nacidos Muertos: 1,74
Destetados: 12,3
Destete cerdo al año: 29,72 lechones
IDC: 5,4
Fertilidad: 88%
Tasa de partos: 81,9
Lactación: 27 días
Porcentaje de cerdas eliminadas por año: 52,6%
Días perdidos por cerda eliminada: 32,6
Aparición del caso:
La granja, solicita asesoría a Thinkinpig al repetir varios lotes una tasa del 12% de repeticiones, la finalidad es encontrar el fallo en sus cubriciones y reducir las repeticiones.
Al llegar a la granja y realizar las ecografías en las nulíparas se encontraron las siguientes imágenes captadas por el ecógrafo WiFi de KUBUS (figura 1).

Figura 1. Cerda impúber
Se considera cerda impúber, aquella que nunca ha presentado un celo, teniendo los ovarios inactivos con folículos de menos de 4mm de diámetro y con una medición del útero menor a 1 cm (figura 2).

Figura 2. Imagen de la izquierda: medición de útero de 0,8cm. Derecha: ovario en anoestro, inactivo con folículos de menos de 4mm.
Por otra parte, la figura 3, muestra a una cerda nulípara púber, con un aparato reproductor desarrollado y apta para ser cubierta.

Figura 3. Cerda púber
Figura 4. Nulípara en proestro, ovario con folículos.
Conociendo la dinámica folicular, se puede predecir el momento de ovulación. Folículos de 4mm ovularán en 40 horas, folículos de 5mm ovularán en 32-35 horas, folículos de 6mm ovularán en 24 horas y la ovulación está sucediendo cuando el folículo mide 8-9mm.
Al momento de realizar la ecografía a las hembras recién inseminadas, se observaron folículos de 5mm y otras que llevaban 24 horas post IA tenían folículos de 5,6mm (Figura 5). En ambos casos las inseminaciones se estaban anticipando, cubriendo a las cerdas varias horas antes de la ovulación, lo que provoca que la primera IA se esté desperdiciando. Se le explicó al personal que esas hembras que están inseminando los jueves, las pueden mover al viernes por la tarde o sábado en la mañana y con ello incrementar fertilidad.

Figura 5. Folículos preovulatorios de 5,6mm.
También se detectó que la recela con macho, la realizan muy rápido y por lo tanto la hembra no está recibiendo el suficiente estimulo. Se recomendó dejar al verraco más tiempo para que presente el efecto deseado.
Conclusiones
Utilicemos las herramientas que tenemos a la mano como la ecografía y el estudio de la dinámica folicular.
Después involucrar al personal para que estén con la disposición de hacer cambios, ya que serán la clave para ver reflejado el arduo esfuerzo de todo el equipo.
Reporte elaborado por Marina López.
Productos
Contacto:
Contacta con nosotros a través del siguiente formulario.