X
XLinkedinWhatsAppTelegramTelegram
0
Lee este artículo en:

Caso clínico: Enfermedad de Talfan

En una explotación de ciclo cerrado de 250 madres situada en la Bretaña francesa el ganadero observa la presencia de desórdenes neurológicos de tipo paresia de la parte posterior en lechones destetados.

9 diciembre 2004
X
XLinkedinWhatsAppTelegramTelegram
0

Descripción de la explotación



El caso que nos ocupa este mes apareció en una explotación de ciclo cerrado de 250 madres localizada en la Bretaña francesa.

La explotación lleva un manejo en bandas de 28 días. La reposición es externa y la extracción de semen se realiza en la misma explotación. La granja fabrica su propia alimentación.

Distribución de la explotación:

Estatus sanitario

La explotación es indemne para Aujeszky y con antecedentes de PRRS y PMWS.

El plan vacunal que se aplica es el siguiente:

Cerdas
Aujeszky
Influenza
Parvovirosis
Mal Rojo
Colibacilosis neonatal
Rinitis atrófica
Lechones
Micoplasma
Aujeszky

Aparición del caso (día 0)

El 27 de mayo, y tras observar que en las últimas 3 bandas han aparecido desordenes neurológicos de tipo paresia de la parte posterior (patas traseras) en un 2% de los lechones destetados desde 3-4 semanas y sin otros síntomas ni en transición ni en las otras fases, el ganadero decide enviar un animal al laboratorio.

Los animales presentan paresia de la parte posterior y no consiguen levantarse.

Los animales presentan fiebre (>40°C). El ganadero realiza un tratamiento inyectable (ampicilina-colistina y dexametasona) que da lugar a resultados satisfactorios en la mayoría de lechones, que se reponen sin presentar secuelas. Prácticamente no hay mortalidad.

Las necropsias no muestran lesiones con excepción de un encorvamiento de la columna vertebral deformada en su parte coccígea (consecuencia de una postura anormal?).

Vídeos y resultados de los primeros exámenes



Vídeos

La paresia de la parte posterior impide a los animales ponerse en pie y estos se arrastran.

Se programa una visita días más tarde, periodo durante el cual se envía un segundo lechón al laboratorio.

Resultados de los primeros exámenes

El último lechón enviado al laboratorio presenta los mismos síntomas y lesiones macroscópicas de meningitis.

Conocidos los resultados del examen, los análisis bacteriológicos no dan ningún resultado a nivel de las meninges, líquido cefaloraquídeo, ganglios mesentéricos y articulaciones. Tampoco se observa presencia de Streptococcus suis ni Haemophilus parasuis.

Se toman muestras de cerebro y de médula espinal para realizar una histología.

Visita la explotación y primeras medidas tomadas

Gestación y lactación
Normal, no se observan problemas reproductivos (90% de fecundidad), sin abortos. El número de lechones destetados por cerda (>11) está aumentando. El aspecto de las cerdas y de los lechones en lactación es bueno, no se observan síntomas.
Post-destete
  • Buen mantenimiento, slat integral.
  • Alimento de primera edad suplementado con colistina y de segunda edad "blanco".
  • Agua tratada con peróxidos: los tests realizados con tiras reactivas muestra que la dosis es muy baja.
  • Grupos de 28 a 30 lechones por corral (densidad un poco elevada).
  • Habitualmente no se separan las camandas en el momento del destete, aunque puede ocurrir a veces.
  • El productor señala presencia de diarreas semejantes a la colobacilosis en la transición.
  • En las salas donde se alojan los lechones destetados desde hace 5 semanas aparecen 6 casos "neurológicos" de los cuales 3 dentro de un mismo corral. Entre los casos por ejemplo se observa un lechón con buen aspecto que presenta paresia de la parte posterior.
  • El aspecto del alimento es normal, no hubo cambio del proveedor de la premezcla.
  • No se ha realizado ningún tratamiento de los animales ni tampoco ningún tratamiento insecticida o raticida en los locales.
Engorde
  • El ganadero no es capaz de encontrar a los animales de la anterior banda que presentaron síntomas ya que no hay forma de distinguirlos de los demás.
  • Se observa presencia de tos en algunos animales de más de 80 kg.
  • No hay mortalidad inusual, ni cojeras ni dejan de comer.
  • Los problemas de desmedro han disminuido mucho.
Enfermería
  • 3 animales se han recuperado, uno de ellos presentaba aún problemas de apoyo sobre la parte posterior.
  • La necropsia realizada sobre un animal muerto muestra lesiones de enteritis colibacilar (debida a su debilidad inicial?).

Medidas tomadas en espera de los resultados del laboratorio

  • El productor aísla a los animales afectados y el veterinario propone incluir en el agua de bebida vitamina E y selenio para mejorar la respuesta inmunitaria.
  • Aunque en principio no se piense en una infección bacteriana como causa de los síntomas neurológicos, la inyección con ampicilina y colistina junto con un antiinflamatorio el primer día puede ser útil para aliviar a los animales y prevenir posibles infecciones en animales débiles.

Resultados definitivos y diagnóstico



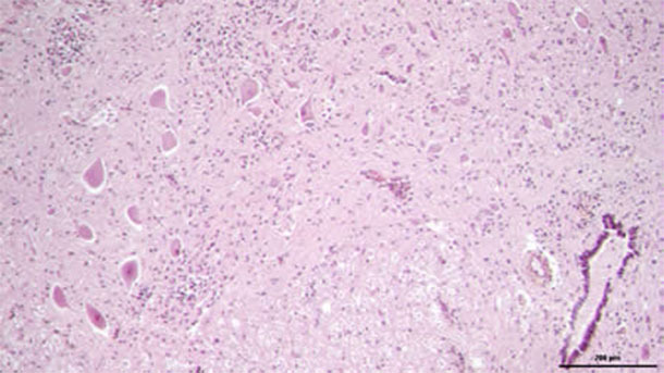
Resultados de los análisis histológicos:

Médula espinal: poliomielitis no supurativa
Cerebro: encefalitis no supurativa con manguitos perivasculares y focos de gliosis. Imágenes: Servicio de histopatología del E.N.V.N.

La histología concluye que existen lesiones de poliomielitis y encefalopatía compatibles con la hipótesis viral tipo Talfan.

Diagnóstico

Problemas neurológicos de origen vírico probablemente de tipo Enterovirus Talfan.

Visto el contexto económico desfavorable y la corta duración del episodio patológico, se decidió no invertir en análisis virológicos para confirmar definitivamente el diagnóstico.

Medias tomadas y evolución del caso



Medidas tomadas

  • Aislamiento de los animales enfermos.
  • Eliminación de los animales con secuelas.
  • Doble desinfección: primero con glutaraldehído + amonio cuaternario que el ganadero utiliza habitualmente y después con trocloseno para tener una segunda acción virucida.
  • Localización de las madres con riesgo si el fenómeno continúa.

Se recomienda un trabajo más a fondo para mejorar las normas zootécnicas (para la prevención de la colibacilosis).

Evolución del caso

Quince días después de la visita a la explotación no se observaron nuevos casos neurológicos. Por contra, los casos de colibacilosisi se vuelven más frecuentes.

Comentarios



Aparición del caso

En una explotación de ciclo cerrado de 250 madres situada en la Bretaña francesa el ganadero observa la presencia de desórdenes neurológicos de tipo paresia de la parte posterior en lechones destetados. Acostumbrado a la presencia de casos de meningitis estreptocócica y debido al bajo número de casos y a la no presencia de mortalidad, el ganadero no reaccionó con rapidez. Sólo la intriga suscitada por el comportamiento de los animales le hizo llevar a analizar a uno de los animales.

En principio, la aparición de los desórdenes no parece ser debida a un fenómeno desestabilizante dentro de la explotación (entrada de primerizas, síntomas que hicieran pensar en un brote concomitante de PRRS).

Visita a la explotación

Tras los resultados de la primera autopsia el veterinario descartó en principio que se tratara de una infección bacteriana (ausencia de lesiones, sin aislamiento).

Por otro lado, la ausencia de patología reproductiva (principalmente abortos) , de mortalidad de lechones o de signos nerviosos en las madres, así como la presencia de pocos problemas respiratorios en engorde y el buen estado de salud de los perros de la explotación y de los lechones enfermos eliminó la hipótesis de presencia de Aujeszky, enfermedad de presencia muy poco probable en la región donde se encuentra la explotación.

La ausencia de productos potencialmente tóxicos, el escaso número de animales afectados, la elevada hipertermia y los síntomas tampoco hacían pensar en una intoxicación.

La influencia de micotoxinas parecía también poco probable (carencia de síntomas en los lechones más jóvenes, pocas descripciones de micotoxinas con efecto neurotóxico en cerdos).

Tras estos planteamientos el veterinario se planteó la posibilidad de una falta de vitamina E-selenio o síndrome de estrés a causa de la forma de andar rígida de algunos de los animales, la hipertermia podía explicarse, pero no había muerte cardíaca ni lesiones.

Sólo quedaba la hipótesis viral. ¿Una forma nerviosa del PRRS? Pero además de la rareza, parecía asombroso que no hubieran lesiones respiratorias asociadas.

Finalmente, la forma de andar de los cerdos, la baja mortalidad y el restablecimiento de la mayoría de los animales hizo pensar en la enfermedad de Talfan, aunque la edad de aparición de los síntomas era un poco tardía con relación a lo descrito en la bibliografía. El hecho de tener varios casos en un mismo corral hizo pensar en una menor protección conferida por algunas madres o un contagio por proximidad. El veterinario excluyó la forma Teschen que a priori no está presente en Francia y que causa mucha mortalidad.

Medidas tomadas

El ganadero ya había tomado la medida más acertada, es decir, el aislamiento de los lechones afectados en la enfermería. No obstante, había vuelto a alojar en engorde los primeros animales afectados y ya curados. La utilización de vitamina E y selenio tenía por objeto no dejar de lado un posible error de premezcla y de 'dopar' el sistema inmunitario y muscular para evitar nuevos casos. La utilización de ampicilina-colistina-dexametasona limita las infecciones posteriores y alivia la inflamación de las meninges. El veterinario comenta también la necesidad de reforzar la desinfección ya que nos encontramos ante un virus muy resistente.

Evolución del caso

El problema remitió muy rápidamente, limitándose a 3 bandas, o sea, 9 semanas. Esto puede explicarse por la fuerte inmunidad que se establece a raíz del contacto con este tipo de virus. Los ganaderos que no toman precauciones particulares entre los diferentes sitios de la explotación es probable que tengan cerdas eventualmente no inmunizadas que hayan estado en contacto con el agente patógeno presente en gran cantidad a causa de la expresión clínica. En paralelo existe un retorno de colibacilosis típicas debidas a la transición alimentaria. Tampoco es improbable que los esfuerzos realizados para suprimir el síndrome del desmedro, utilizando en particular la limitación de las mezclas de animales en todas las fases, hayan causado una inmunización más lenta del ganado frente a otros gérmenes.

Comentarios del artículo

Este espacio no está orientado a ser una zona de consultas a los autores de los artículos sino que pretende ser un lugar de discusión abierto a todos los usuarios de 3tres3
Publica un nuevo comentario

Para comentar debes registrarte en 3tres3 y acceder como usuario.

No estás suscrito a la lista Termómetro económico porcino España

Un mailing semanal con la cotización de Mercolleida y la de las materias primas de la lonja de Barcelona. Se añade un índice que combina distintas materias primas en una formulación teórica que permite comparar el precio de la alimentación con el del cerdo.

Accede y apúntate a la lista

No estás suscrito a la lista La web en 3 minutos

Un resumen semanal de las novedades de 3tres3.com

Accede y apúntate a la lista