Clostridium perfringens tipo A forma parte de la microbiota normal del último tramo del intestino delgado y del colon de los cerdos y de muchas otras especies animales. Durante la última década, el diagnóstico de C. perfringens tipo A ha aumentado en los casos de diarrea neonatal. Sin embargo todavía no se conoce completamente la verdadera importancia de esta bacteria como agente primario de diarrea en lechones lactantes. El principal reto para la correcta interpretación del papel de C. perfringens tipo A en casos de diarrea neonatal ha sido la complejidad para alcanzar un diagnóstico definitivo. Este artículo se centrará en este punto.
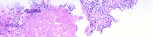
La literatura describe la presentación clínica de los casos de C. perfringens tipo A como lechones con una diarrea cremosa o pastosa a los dos días de vida y que puede tener una duración de hasta cinco días. En algunos casos las heces pueden ser mucosas. No se suele observar mortalidad, pero los animales afectados tienden a quedarse atrás en comparación con sus compañeros no afectados, por lo que se compromete el peso al destete. No hay hallazgos destacables indicativos de C. perfringens tipo A en la necropsia, lo que podría diferenciarlo de otros enteropatógenos hallados en animales de esta edad. Histológicamente, puede encontrarse necrosis superficial del extremo de las vellosidades asociada con acumulación de fibrina. Esta lesión, asociada con una intensa colonización de bacterias bacilares íntimamente asociadas a enterocitos dañados, apuntaría a un diagnóstico de C. perfringens tipo A (figura 1). Sin embargo, estos hallazgos no se suelen encontrar. Muy a menudo no se encuentran lesiones microscópicas, lo que alimenta la especulación sobre si esta infección bacteriana puede causar diarrea secretora. Esta posibilidad no se ha confirmado nunca.


Figura 1. Intestino delgado de un lechón con diarrea asociado a infección por Clostridium perfringens tipo A. Una gran cantidad de bacterias bacilares en íntimo contacto con enterocitos (100x). Fuente: Prof. James Collins, UMN-USA
La tinción Gram, el aspecto de las colonias bacterianas y la beta hemólisis en agar sangre son idénticas en todos los tipos de C. perfringens. El único modo de diferenciar los cinco tipos de C. perfringens, de A a E, se basa en la producción de cuatro toxinas principales: alfa, beta, epsilon y iota. También hay que citar otras dos toxinas importantes, la enterotoxina y la beta 2. Todos los tipos de C. perfringens pueden encontrarse en el tracto gastrointestinal del lechón, pero sólo los tipos A y C se consideran patogénicos en lechones de esta edad. Hay una correlación muy alta entre la detección de los genes codificantes de las toxinas cpa, cpb, etx, ia, cpe y cpb2 (tabla 1) respectivamente, y su expresión, lo que significa que la detección de estos genes mediante PCR tendría el mismo valor que la detección de la toxina en heces. Todos los tipos de C. perfringens tienen el gen cpa. La detección de cpa y cpb definiría la bacteria como tipo C, mientras si sólo se detecta cpa se trataría de una bacteria tipo A.
Tabla 1. Definición de tipos de Clostridium perfringens según la producción de toxinas.
| Tipo de C. perfringens | Alfa | Beta | Epsilon | Iota | Enterotoxina | Beta 2 |
| A | X | X | X | |||
| B | X | X | X | X | ||
| C | X | X | X | X | ||
| D | X | X | X | |||
| E | X | X | X |
La cuantificación de C. perfringens tipo A en material fecal solía utilizarse como una posible indicación de asociación con diarrea. En otras palabras, los grandes crecimientos de C. perfringens tipo A en los primeros aislamientos indicaban con certeza su relación con diarrea. Sin embargo, varios estudios han demostrado que no hay suficientes evidencias para sugerir que esta cuantificación pueda ser utilizada como un test para el diagnóstico de infección por C. perfringens tipo A asociado a diarrea en lechones.
Dado que C. perfringens tipo A es un integrante normal de la microbiota intestinal de los lechones, durante muchos años se ha creído que la producción de toxina beta 2 o la presencia del gen cpb2 en ciertos C. perfringens tipo A eran marcadores definitivos de patogenicidad. Como consecuencia, los diagnósticos laboratoriales definitivos se basaban en la detección de toxina beta 2 en material fecal mediante ELISA o en el aislado del agente y la tipificación de las colonias mediante multiplex PCR para la presencia de genes cpa y cpb2. Sin embargo, al menos tres estudios diferentes, incluyendo uno de nuestro grupo, han demostrado que el análisis mediante multiplex PCR en colonias de C. perfringens aisladas de lechones diarreicos y normales detectaban más C. perfringens tipo A positivos a cpb2 en los lechones normales que en los enfermos. Por desgracia estos hallazgos demuestran claramente que no hay un test disponible que pueda detectar o identificar las cepas patógenas de C. perfringens tipo A. Estoy convencido de que algunas cepas de esta bacteria son patogénicas para los cerdos y pueden producir diarrea y reducir el crecimiento; ¡sin embargo, todavía no sabemos como identificarlos! Desde luego, esto supone un tremendo desafío para el control de la enfermedad, ya que el diagnóstico definitivo sólo se basa en "el último agente posible que queda por analizar". Debe hacerse mucho más trabajo para definir un posible marcador de patogenicidad de C. perfringens type A.
