El desarrollo del tracto gastrointestinal del lechón empieza ya durante la vida fetal. A partir del nacimiento, el tracto gastrointestinal se encarga de abastecer al lechón de metabolitos y sustancias protectoras a través de la absorción de nutrientes y de la endocitosis de inmunoglobulinas del calostro y de la leche.
El intestino delgado de los cerdos totalmente desarrollados mide entre 16-21 m de longitud, de los cuales 4-4.5 % es duodeno, 88-91 % yeyuno y 4-5% íleon (Nickel et al., 1973). La superficie de la luz se compone de numerosas vellosidades en cuya base hay glándulas tubulares (criptas de Lieberkühn) que descienden hasta la muscularis mucosa. Las principales células que tapizan las vellosidades (Moran, 1982; Smith, 1985) son las células globosas (mucus) y los enterocitos (células epiteliales columnares). A medida que los enterocitos migran desde las criptas a las vellosidades, sufren una maduración tanto estructural como funcional que incluye un período de rápida elongación de las microvellosidades.
| Tabla 1. Tabla resumen de las diferencias entre el período de lactación y destete. | ||
| Lactación | Destete | |
| Efecto de la cerda | Regula el alimento del lechón recibiendo éste entre 20-24 dosis de alimento/día | No hay regulación diaria del alimento |
| Efecto de la dieta |
Líquida Rica en lactosa Rica en grasa Proteína de alta digestibilidad |
Sólida Pobre en lactosa Alto contenido en carbohidratos Proteína de valor biológico variable |
| Inmunidad | Absorción de IgG a través del calostro e IgA a través de la leche | Hasta los 28-30 días de edad el lechón no es inmunológicamente activo |
| Morfología intestinal | Sistema gastrointestinal desarrollado para alimentación líquida | Sistema gastrointestinal no desarrollado, hay que adaptarse a la nueva alimentación sólida |
| Histología | Largas vellosidades intestinales y eficientes en la absorción de nutrientes | Atrofia de la mucosa intestinal, mala absorción |
En lechones recién nacidos, el intestino delgado experimenta un rápido desarrollo durante los 10 primeros días aumentándose la longitud y diámetro de las vellosidades, así como la población celular de la mucosa. A partir de las 2 semanas de edad hay un cambio en la morfología observándose un descenso gradual de la altura de las vellosidades, aumento simultáneo en la anchura de los villi y profundidad de la cripta. En el momento del destete estos cambios son aún más pronunciados.
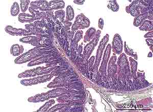
Figura
1. Histología de la mucosa intestinal porcina de lechones lactantes
de 25 días de edad. |
![]() |
La alimentación y la salud intestinal
Durante el período inmediato al destete el tracto gastrointestinal debe adaptarse a una dieta con una composición física y química diferente. Estos cambios nutricionales junto con el estrés psicológico y ambiental provocan una baja ingesta lo cual se traduce en una insuficiente alimentación para cubrir sus necesidades hasta el día 5 post-destete. A nivel histológico esto implica:
| Respuesta histológica | Consecuencia | |
♦
reducción de la altura de los villi e incremento en profundidad
de cripta |
→ |
déficit de enterocitos maduros, por lo tanto se produce una deficiencia
enzimática e incapacidad digestiva |
♦
disminución del número de células globosas productoras
de mucinas |
→ | menor
protección de la mucosa contra secreciones digestivas, patógenos
y/o lesiones |
♦
pérdida de función de las “tight junctions” |
→ | incremento
del transporte paracelular de macromoléculas pudiéndose
producir una inflamación local |
Por lo tanto, la ingesta del alimento especialmente durante los 2-3 primeros días del destete es el factor clave que determina la integridad de la mucosa intestinal, pero evitar esta disminución en la ingesta es inviable ya que se trata de una respuesta intrínseca al estrés. Una alternativa sería minimizar este impacto con dietas muy palatables, que contengan fuentes de proteína con un alto valor biológico y que sean altamente digestibles como podrían ser dietas a base de componentes lácticos. Al no poder evitar el “no consumo” durante estos días, una estrategia podría ser que los lechones se sientan atraídos por el nuevo alimento y que el escaso consumo de pienso sea aprovechado de la mejor forma posible. La percepción de palatabilidad está regulada por neuropéptidos que tienen la capacidad de estimular la ingesta (orexígenos) o inhibirla (anorexígenos) y los imbalances aminoacídicos de la dieta pueden provocar por los neurotransmisores restricciones del alimento. Los resultados de Spreeuwenberg et al. (2001) demuestran que dietas ricas en lactosa, pobres en proteína y buen nivel de energía durante los primeros 4 días postdestete disminuyen el transporte paracelular, incrementan la longitud de los villi y disminuye la ratio vellosidad/cripta.
Por otro lado tenemos que nutrir la mucosa debido a su atrofia natural con dietas muy digestibles. El 60 % de los aminoácidos esenciales que se absorben a la luz intestinal son catabolizados en el intestino delgado, lo que indica que la disponibilidad luminal de aminoácidos es un factor crítico para el mantenimiento de la integridad de la mucosa. Debido a la limitada capacidad de los lechones en esta etapa para digerir la proteína dietética como consecuencia de su déficit enzimático se puede pensar en mejorar la eficacia digestiva con el uso de hidrolizados proteicos.
Varios estudios reflejan que los productos apetentes y altamente digestibles como pueden ser los péptidos digestibles de porcino, al tener en su composición un elevado % de aminoácidos libres y péptidos de bajo peso molecular facilitan al máximo durante la primera semana postdestete la acción de las proteasas digestivas. Como consecuencia, hay un mejor aprovechamiento del alimento y mejor absorción a nivel intestinal gracias a un desarrollo superior de la mucosa.
| Figura 2. Histología de la mucosa intestinal porcina de lechones destetados a los 21 días de edad. | |
![]() |
![]() |
| Vellosidades de una dieta estándar | Vellosidades de una dieta con inclusión de hidrolizado de proteína porcina |
Escribe E. Borda eborda@bioiberica.com




