
Diarrea post-destete. Diagnóstico, tratamiento y control
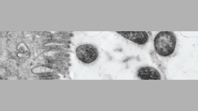
La detección e identificación rápida de E. coli patógena implicada en la diarrea post-destete permite un diagnóstico temprano y adecuado de la enfermedad causada por esta bacteria.
Noticias, eventos y reportajes de actualidad del sector porcino
Los eventos del sector porcino que se organizan en todo el mundo
Un resumen semanal de las novedades de 3tres3 Argentina
Boletín de noticias sobre el mundo del porcino
La salud del cerdo: noticias y artículos sobre Mycoplasma, APP, bioseguridad, guía de enfermedades del cerdo, atlas de patología, casos clínicos...
Cómo realizar una necropsia en un cerdo, paso a paso, de una forma muy visual y práctica.
Biocheck.UGent es un sistema de puntuación científico independiente, basado en riesgos, para evaluar la calidad de su bioseguridad en la granja.
Toda la información sobre PPA: cómo reconocer la enfermedad, cómo se transmiste, imágenes de lesiones, últimas noticias, guías,...
Descripción de las enfermedades y afecciones más importantes en porcino
Lesiones y signos de las principales enfermedades porcinas
Herramienta para diagnosticar enfermedades del porcino
Un diccionario sobre terminología específica del sector porcino
Calcula la cantidad de medicamento a incorporar en el agua cuando usamos un dosificador de flujo
Un resumen semanal de las novedades de 3tres3 Argentina
Precios del cerdo por países. Producción y comercio de carne de cerdo. Noticias del mercado del cerdo y las materias primas
Últimas cotizaciones de los mercados mundiales más importantes del porcino. Históricos de precios en diversas monedas y en formato gráfico.
Últimas cotizaciones de las principales materias primas para alimentación de cerdos. Históricos, precio del cerdo y estimación del precio del alimento.
Datos de censos, producción, exportación e importación de carne, economía del sector, número de granjas, etc.
Datos de producción y comercio mundial de las principales materias primas, como maíz, soja, trigo, cebada, etc.
Un resumen semanal de las novedades de 3tres3 Argentina
Información semanal del precio del cerdo y las materias primas
Artículos sobre nutrición y alimentación de cerdos, características de las materias primas y aditivos para cerdos y precios de las materias primas
Últimas cotizaciones de las principales materias primas para alimentación de cerdos. Históricos, precio del cerdo y estimación del precio del alimento.
Datos de producción y comercio mundial de las principales materias primas, como maíz, soja, trigo, cebada, etc.
Fichas técnicas de las principales materias primas y aditivos. Incluyen información de valores nutricionales, producción y comercio, estudios recientes, ...
Un diccionario sobre terminología específica del sector porcino
Utiliza esta herramienta para diagnosticar problemas con el índice de conversión. Haz clic en el diagrama de flujo o en los botones dentro del texto para navegar por las distintas partes de la herramienta.
Un resumen semanal de las novedades de 3tres3 Argentina
Artículos sobre genética y reproducción en el cerdo: selección genética, genómica, inseminación artificial, uso de hormonas, gestación y parto
Compara los datos productivos, calcula el número de plazas para cerdas, transición y cebo y visualiza tus tareas sobre el calendario según cada tipo de MEB.
Calcula las entradas de cerdas necesarias en una granja activa, una granja que inicia la actividad o una granja que amplía
Herramienta para comparar los datos reproductivos de tu granja con la base de datos BDporc y ver la evolución de los parámetros reproductivos de BDporc
Un diccionario sobre terminología específica del sector porcino
Utiliza esta herramienta para investigar porque tu tasa de partos es inferior a la ideal. Haz clic en el diagrama de flujo o en los botones dentro del texto para navegar por las distintas partes de la herramienta.
Un resumen semanal de las novedades de 3tres3 Argentina
Manejo y gestión de las granjas de cerdos y del trabajo en cada fase de producción: manejo en gestación, cebo, manejo en bandas, destete, bioseguridad
Compara los datos productivos, calcula el número de plazas para cerdas, transición y cebo y visualiza tus tareas sobre el calendario según cada tipo de MEB.
Calcula las entradas de cerdas necesarias en una granja activa, una granja que inicia la actividad o una granja que amplía
Herramienta para comparar los datos reproductivos de tu granja con la base de datos BDporc y ver la evolución de los parámetros reproductivos de BDporc
Cómo comparar diversos objetos o juguetes usados como material de enriquecimiento ambiental para prevenir el estrés y las mordeduras de cola en cerdos.
Un diccionario sobre terminología específica del sector porcino
Un resumen semanal de las novedades de 3tres3 Argentina
Diseño de instalaciones y equipos para granjas de cerdos: diseño de naves, climatización de galpones, sistemas de alimentación, etc.
Biocheck.UGent es un sistema de puntuación científico independiente, basado en riesgos, para evaluar la calidad de su bioseguridad en la granja.
Calculadora de la Huella Ambiental a lo largo de la cadena de valor del sector porcino
¿Qué comedero se adapta mejor a mis necesidades? Aquí puedes comparar las características de diversos comederos comerciales.
¿Qué bebedero se adapta mejor a mis necesidades? Cómo comparar las características de diversos bebederos para cerdos o lechones destetados
Un diccionario sobre terminología específica del sector porcino
Utiliza esta herramienta para investigar que estrategia de gestión de purines se adapta mejor a tu situación. Haz clic en el diagrama de flujo o en los botones dentro del texto para navegar por las distintas partes de la herramienta.
Un resumen semanal de las novedades de 3tres3 Argentina

Mailing semanal con el precio del cerdo en pie, las materias primas y las principales variables que influyen en la toma de decisiones para una granja de Argentina. Información semanal con gráfica de los indicadores que nos permiten visualizar las tendencias y el comportamiento económico del sector porcino de nuestro país.
Accede y apúntate a la lista

La detección e identificación rápida de E. coli patógena implicada en la diarrea post-destete permite un diagnóstico temprano y adecuado de la enfermedad causada por esta bacteria.

¿Cómo podemos decir que un transporte está limpio tan solo echándole un vistazo?

La manera más directa de disminuir la concentración de agentes infecciosos en el aire es disminuir la concentración de polvo. En este artículo se expone el uso de un sistema de ionización de partículas denominado EPI.

En la necropsia de algunos cerdos afectados, el edema blando y gelatinoso era evidente en los párpados, pero también en el mesocolon de la flexura espiral.

La gran diversidad genética de las cepas de Europa del Este tiene implicaciones prácticas: la sensibilidad de algunos de los métodos PCR de diagnóstico puede estar comprometida y todavía es necesario determinar la eficacia de las vacunas actuales de PRRSV contra las variantes genéticas de Europa del Este.

Llegamos a la conclusión de que se trataba de un episodio de enfermedad de los edemas, que es extremadamente inusual a esta edad.

Bienvenido a 3tres3
Conecta, comparte y relaciónate con la mayor comunidad de profesionales del sector porcino.
¡Ya somos 200257 Usuarios!
Regístrate¿Ya eres miembro?



La situación actual de DEP consiste en una aparición contínua de brotes, de moderados a graves, en muchas granjas de cerdos en toda Asia, EE.UU. y en otras zonas, tanto en granjas no expuestas como en aquellas que han sufrido episodios anteriores.

Un diagnóstico definitivo de PRRS respecto a la enfermedad clínica requiere que la información serológica se interprete junto con los resultados de otros ensayos.

Enric Marco nos comenta que últimamente es relativamente común encontrar cebos que en su fase final presentan una sintomatología respiratoria que responde mal a los tratamientos antibióticos. En estos casos solemos pensar en el virus del PRRS, sin embargo es menos frecuente plantear la posibilidad de una infección viral mixta…

PRRSv favorece la aparición de infecciones secundarias como la producida por S suis al verse afectada la función de limpieza que deberían ejercer los macrófagos alveolares.

La reposición acabada de entrar y los lechones justo antes del destete son los principales grupos de riesgo.

Los cadáveres presentaban buena condición corporal y cianosis pronunciada en la zona ventral del abdomen y cuello.



La diarrea post-destete es endémica en muchas granjas y su prevalencia fluctúa con el tiempo. Es más frecuente observarla en la primera semana tras el destete y los síntomas varían de muerte súbita a diarrea entre leve e intensa.

Circundar las explotaciones con una valla de setos altos reduce el riesgo de transmisión aerógena.

La PCR es una prueba cara en comparación con otros métodos de diagnóstico y debe tenerse en cuenta que un resultado positivo de PCR indica la presencia de ARN viral pero no indica necesariamente la presencia de PRRSv infeccioso.

Un emparejamiento antigénico perfecto es ideal, ya que produce poca o ninguna replicación/daño del virus, excreción o signos clínicos. No obstante, si el virus es lo suficientemente similar para causar una reacción cruzada, la infección puede verse reducida a unos 2-4 días.

PRRSv no favorece la infección por H. parasuis porque reduzca la población de macrófagos alveolares, sino porque reduce su capacidad de inactivar la bacteria.

Los E. coli hemolizantes no son los únicos patógenos y no suelen poseer genes relevantes para fimbrias y toxinas.



En las explotaciones positivas a PRRS el control de App será un eslabón imprescindible en el control de las pleuroneumonías.

Este caso clínico estudia el comportamiento y control a largo plazo de una infección por App en un ciclo cerrado, aborando aspectos importantes como el diseño de la explotación, la dinámica de la infección y la evolución de la inmunidad.

La infección por virus PRRS se puede considerar común en zonas de alta densidad porcina y es muy frecuente pensar que en esos casos la bioseguridad ya poco puede hacer. Sin embargo hay que implantar una correcta bioseguridad para evitar la entrada de nuevas cepas.

El presente artículo prueba que, al menos “in vitro”, el orden importa. En los casos de infecciones mixtas PRRS/PCV2, cuando la infección por PRRS es anterior o simultánea a la infección por PCV2, las consecuencias son peores que cuando la secuencia es inversa.

Cualquier diagnóstico clínico provisional debe ser confirmado mediante la detección del virus PRRS (antígenos virales y/o material genómico viral) en cerdos afectados utilizando métodos de laboratorio, junto con las lesiones típicas.

En una maternidad donde circula el virus de la influenza porcina, una proporción relativamente elevada de lechones puede infectarse durante las primeras semanas, revelando que no todos los lechones están protegidos por anticuerpos maternales.


Mailing semanal con el precio del cerdo en pie, las materias primas y las principales variables que influyen en la toma de decisiones para una granja de Argentina. Información semanal con gráfica de los indicadores que nos permiten visualizar las tendencias y el comportamiento económico del sector porcino de nuestro país.
Accede y apúntate a la lista