X
XLinkedinWhatsAppTelegramTelegram
0
2
Leia este artigo em:

Principais coinfecções que afetam o sistema respiratório dos suínos

M. hyopneumoniae está envolvida na maioria das coinfecções do complexo respiratório suíno. Como esse agente atua e quais os efeitos ele exerce?

Em condições de campo, os problemas respiratórios em suínos raramente são causados ​​por um único patógeno, é comum que vários patógenos atuem ao mesmo tempo, o que, somado ao manejo e às condições ambientais inadequadas, dá origem ao processo conhecido como Complexo Respiratório Suíno.

Na maioria dos casos, os principais agentes primários que afetam o sistema respiratório estão sempre envolvidos: Vírus da Síndrome Reprodutiva e Respiratória Suína (PRRSV), Circovírus Suíno tipo 2 (PCV2), Vírus da Influenza Suína (SIV) e Mycoplasma hyopneumoniae (figura 1), estes serão acompanhados por bactérias oportunistas que aproveitam a infecção primária para desenvolver sua ação patogênica, como Pasteurella multocida, Bordetella bronchiseptica ou Glaesserella parasuis, entre outros.

Figura 1: Combinações de patógenos encontradas em casos de campo, diagnosticados com PCR, nos últimos 4 anos no Serviço de Anatomia Patológica da Faculdade de Veterinária da Universidade de Murcia.
Figura 1: Combinações de patógenos encontradas em casos de campo, diagnosticados com PCR, nos últimos 4 anos no Serviço de Anatomia Patológica da Faculdade de Veterinária da Universidade de Murcia.

Na figura 1, podemos observar como M. hyopneumoniae é o agente que participa da maioria das coinfecções encontradas no pulmão de animais com complexo respiratório. Esse patógeno, que ataca os cílios das células do epitélio dos brônquios e bronquíolos, alterando o aparelho mucociliar, também causa hiperplasia do tecido linfoide associado à mucosa respiratória. Ambas as ações favorecem a colonização, proliferação e mecanismos patogênicos de outros agentes, primários e secundários, que afetam o sistema respiratório do suíno. Em diferentes estudos experimentais foi possível verificar que, além de favorecer a ação de outros patógenos, tende a potencializá-la, de modo que as combinações em que M. hyopneumoniae aparece tendem a ser aquelas que têm as piores consequências para os animais afetados e, portanto, para a rentabilidade da granja.

Uma das coinfecções mais frequentes em granjas de suínos é a produzida por M. hyopneumoniae e PRRSV (figura 2). Nos casos em que essa coinfecção foi diagnosticada, observou-se correlação positiva entre os animais soropositivos para cada um dos dois agentes, ou seja, a maioria dos animais positivos para PRRSV também são positivos para M. hyopneumoniae. Além disso, constatou-se que M. hyopneumoniae prolonga e aumenta a pneumonia produzida por PRRSV, devido ao fato de que em animais coinfectados por ambos os patógenos há um aumento de citocinas pró-inflamatórias, como IL1-β, IL-8 e TNF-α, que aumentam a reação inflamatória ao nível do pulmão, mas também aumenta a síntese de IL-10, que é uma citocina anti-inflamatória que inibe e modula a produção de outras citocinas e que permitiria perpetuar o dano ao nível do pulmão evitando que uma reação inflamatória não controlada seja desencadeada. A IL-10, por sua vez, também é capaz de modular a resposta imune do animal, que juntamente com a ativação de outros mecanismos, altera a resposta imune adaptativa, permitindo que o patógeno continue exercendo sua ação no pulmão por mais tempo.

Figura 2. Pulmão de suíno coinfectado com M. hyopneumoniae e PRRSV. Pulmão não colapsado com áreas de lesão marrom-avermelhadas distribuídas por todo o parênquima, lesões PRRS típicas, que apresentam, ao mesmo tempo, nas áreas cranioventrais áreas de consolidação avermelhadas, produzidas pela infecção por M. hyopneumoniae .
Figura 2. Pulmão de suíno coinfectado com M. hyopneumoniae e PRRSV. Pulmão não colapsado com áreas de lesão marrom-avermelhadas distribuídas por todo o parênquima, lesões PRRS típicas, que apresentam, ao mesmo tempo, nas áreas cranioventrais áreas de consolidação avermelhadas, produzidas pela infecção por M. hyopneumoniae .

No caso da coinfecção M. hyopneumoniae e PCV2, constatou-se que M. hyopneumoniae aumenta a gravidade das lesões produzidas pelo PCV2 no pulmão e órgãos linfoides, favorecendo uma maior replicação do vírus, bem como a persistência do vírus (figura 3), aumentando assim a incidência de casos de circovirose sistêmica.

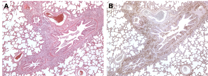
Figura 3. Pulmão de suíno coinfectado com M. hyopneumoniae e PCV2. A: Área de hiperplasia linfoide peribronquiolar causada por M. hyopneumoniae. B: Grande quantidade de antígeno PCV2 na mesma área de hiperplasia linfoide.
Figura 3. Pulmão de suíno coinfectado com M. hyopneumoniae e PCV2. A: Área de hiperplasia linfoide peribronquiolar causada por M. hyopneumoniae. B: Grande quantidade de antígeno PCV2 na mesma área de hiperplasia linfoide.

Em animais coinfectados com M. hyopneumoniae e SIV (figura 4), foi observado que quando os suínos são infectados com uma cepa de baixa virulência do vírus da gripe suína após a infecção com M. hyopneumoniae, há um aumento significativo dos sinais clínicos e lesões pulmonares, deduzindo que o micoplasma é capaz de aumentar a virulência dessas cepas de SIV.

Figura 4. Pulmão de suíno coinfectado com M. hyopneumoniae e SIV. Áreas de consolidação vermelhas nas porções cranioventrais do pulmão e outras de menor extensão nos lobos diafragmáticos. Nessas lesões cranioventrais, coexistem lesões de M. hyopneumoniae e SIV, sendo impossível distingui-las macroscopicamente.
Figura 4. Pulmão de suíno coinfectado com M. hyopneumoniae e SIV. Áreas de consolidação vermelhas nas porções cranioventrais do pulmão e outras de menor extensão nos lobos diafragmáticos. Nessas lesões cranioventrais, coexistem lesões de M. hyopneumoniae e SIV, sendo impossível distingui-las macroscopicamente.

M. hyopneumoniae também aparece frequentemente associada a outras bactérias, sejam agentes primários, como Actinobacillus pleuropneumoniae (figura 5), ​​ou agentes oportunistas, como Pasteurella multocida (figura 6), aumentando sua ação no pulmão.

Figura 5: Pulmão de suíno coinfectado com M. hyopneumoniae e A. pleuropneumoniae. Áreas marrom-avermelhadas de consolidação cranioventral, causadas por infecção por M. hyopneumoniae, e lesão ovalada com fibrose pleural e áreas hemorrágicas no lobo diafragmático, que corresponderiam à cronicidade de um foco de necrose produzido por A. pleuropneumoniae.
Figura 5: Pulmão de suíno coinfectado com M. hyopneumoniae e A. pleuropneumoniae. Áreas marrom-avermelhadas de consolidação cranioventral, causadas por infecção por M. hyopneumoniae, e lesão ovalada com fibrose pleural e áreas hemorrágicas no lobo diafragmático, que corresponderiam à cronicidade de um foco de necrose produzido por A. pleuropneumoniae.
Figura 6. Pulmão de suíno coinfectado com M. hyopneumoniae e P. multocida. Áreas marrom-avermelhadas de consolidação cranioventral elevadas em relação ao restante do parênquima pulmonar que corresponderiam a uma lesão de P. multocida. No lobo cranial e na borda cranioventral do lobo caudal, observam-se áreas de consolidação avermelhadas e de aspecto deprimido, correspondentes a lesões causadas por M. hyopneumoniae.
Figura 6. Pulmão de suíno coinfectado com M. hyopneumoniae e P. multocida. Áreas marrom-avermelhadas de consolidação cranioventral elevadas em relação ao restante do parênquima pulmonar que corresponderiam a uma lesão de P. multocida. No lobo cranial e na borda cranioventral do lobo caudal, observam-se áreas de consolidação avermelhadas e de aspecto deprimido, correspondentes a lesões causadas por M. hyopneumoniae.

Como vimos, quando M. hyopneumoniae aparece em coinfecções juntamente com outros agentes primários do complexo respiratório suíno, atua potencializando e prolongando as lesões causadas por esses patógenos, portanto seu controle é essencial para minimizar os efeitos das pneumonias e reduzir as perdas econômicas associadas a essas doença.

Comentários ao artigo

Este espaço não é um local de consultas aos autores dos artigos, mas sim um local de discussão aberto a todos os usuários da 3tres3.
Insira um novo comentário

Para realizar comentários é necessário ser um usuário cadastrado da 3tres3 e fazer login:

Você não está inscrito na lista A web em 3 minutos

Um resumo semanal das novidades da 3tres3.com.br

Faça seu login e inscreva-se na lista

Artigos relacionados

Você não está inscrito na lista A web em 3 minutos

Um resumo semanal das novidades da 3tres3.com.br

Faça seu login e inscreva-se na lista