Os vírus são importantes agentes causadores de doenças que afetam o sistema respiratório do suíno. Estes incluem o Vírus da Síndrome Respiratória e Reprodutiva Porcina (PRRSV), o Circovírus Suíno tipo 2 (PCV2), os vírus da Influenza Suína (SIV) e o coronavírus respiratório suíno (PRCV). Os três primeiros são considerados agentes primários, capazes de causar danos por si próprios, enquanto o quarto é um agente secundário, agindo quando houve uma infecção anterior por outro agente primário ou quando o animal é imunossuprimido.
O PRRSV é um vírus de RNA pertencente à ordem Nidovirales, família Arteriviridae, atualmente incluída no novo gênero Betaarterivirus (antigo gênero Arterivirus). Sua acentuada diversidade genética fez com que os dois genótipos do PRRSV (europeu e norte-americano) sejam atualmente considerados duas espécies virais diferentes: Betaarterivirus suid 1, correspondente ao genótipo 1 ou europeu (PRRSV-1), cujo protótipo é o vírus Lelystad (LV ); e Betaarterivirus suid 2, que corresponde ao genótipo 2 ou norte-americano (PRRSV-2), cujo protótipo é a cepa VR-2332.

O PRRS é capaz de modular e mesmo evitar a resposta imune do hospedeiro. Esse vírus infecta macrófagos alveolares, sua principal célula alvo, alterando suas funções e induzindo sua morte por necrose e/ou apoptose, o que atrasa o aparecimento de uma resposta imune adaptativa eficaz e predispõe o animal a infecções secundárias.
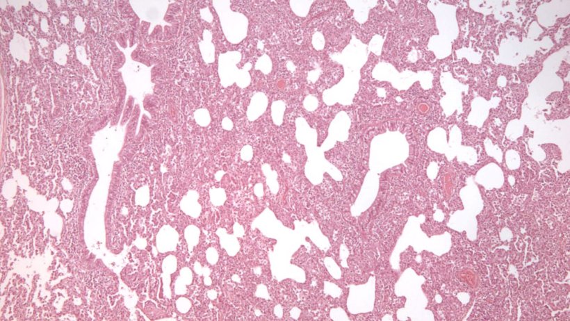
A forma respiratória ocorre principalmente em suínos em crescimento e engorda, e as lesões são caracterizadas pelo aparecimento de pneumonia intersticial. Macroscopicamente, os pulmões não colapsam quando removidos da cavidade torácica, apresentando consistência emborrachada com áreas avermelhadas distribuídas pelo parênquima pulmonar (Figura 1). No nível microscópico, há um espessamento dos septos alveolares associado a um infiltrado de linfócitos e macrófagos, além de hiperplasia e hipertrofia de pneumócitos tipo II (Figura 2).


O PCV2 é um vírus de DNA de fita simples, pequeno, não envelopado, que pertence ao gênero Circovirus, da família Circoviridae. É o agente causador de várias doenças, conhecidas como doenças associadas ao circovírus, incluindo a Doença Sistêmica do PCV2 (PCVAD), classicamente conhecida como Síndrome Multissistêmica do Definhamento Pós-desmame, doença pulmonar por PCV2, doença digestiva por PCV2, falha reprodutiva por PCV2 e Síndrome da Dermatite e Nefropatia Suína (PDNS).
O PCV2 multiplica-se em várias células do sistema imunológico, como macrófagos, células dendríticas ou linfócitos, causando depleção linfoide e reduzindo a capacidade do hospedeiro de responder a patógenos primários e/ou secundários.
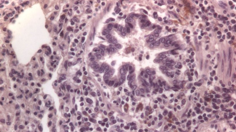
As lesões pulmonares causadas pelo PCV2 são macro e microscopicamente semelhantes às causadas pelo PRRSV, uma vez que causa pneumonia intersticial, portanto, devemos recorrer a outras técnicas de diagnóstico, como imuno-histoquímica (Figura 3), hibridização in situ ou PCR. para estabelecer o diagnóstico. Além disso, são dois agentes que geralmente são isolados juntos, uma vez que a infecção por PRRSV está associada a um aumento na replicação e virulência do PCV2.

O SIV é um vírus polimórfico e envelopado que pertence à família Orthomyxoviridae, que inclui sete gêneros diferentes: Influenzavírus A, B, C e D, Isavírus, Quaranjavírus e Thogotovírus. Embora os gêneros Influenzavírus A, B, C e D tenham sido identificados em suínos, a maioria das cepas que causam gripe ou gripe suína estão incluídas nos gêneros Influenzavírus A e C.
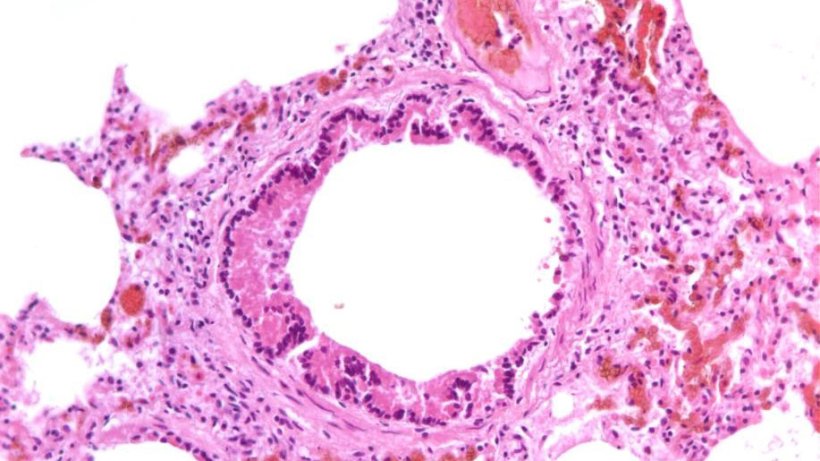
O SIV se replica nas células epiteliais do sistema respiratório (superior e inferior), alterando o funcionamento do sistema mucociliar, o que favorece o aparecimento de infecções bacterianas secundárias. A principal lesão que causa no pulmão é a pneumonia broncointersticial, caracterizada macroscopicamente pela presença de lesões cranioventrais ou multifocais disseminadas, vermelhas ou marrons escuras, de extensão variável, muito semelhantes às causadas por Mycoplasma hyopneumoniae (Figura 4). Microscopicamente, causa bronquiolite necrosante (Figura 5), que é acompanhada pela presença de infiltrados linfo-histiocitários peribrônquicos e nos septos alveolares e um exsudado mucopurulento nos bronquíolos.


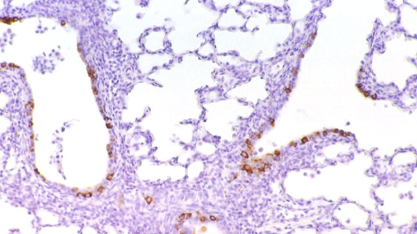
O coronavírus respiratório (PRCV) é uma deleção mutante do vírus da gastroenterite transmissível com um tropismo especial para o trato respiratório, que infecta as células epiteliais da cavidade nasal, traqueia, brônquios e bronquíolos (Figura 6) e pneumócitos tipo I e II . As lesões pulmonares são caracterizadas macroscopicamente pela presença de áreas de consolidação vermelhas a marrons com bordas irregulares localizadas principalmente nos lobos médios e acessórios (Figura 7). Microscopicamente, o padrão lesional é semelhante à pneumonia broncointersticial multifocal caracterizada pelo aparecimento de necrose de células do epitélio brônquico e bronquiolar, metaplasia escamosa, infiltrado linfo-histiocitário peribronquiolar, perivascular e acompanhado de proliferação de pneumócitos tipo II. e a presença de células epiteliais necróticas e leucócitos no lúmen das vias aéreas e alvéolos.



O Complexo Respiratório Suíno possui caráter multietiológico, no qual o PRRSV, PCV2 e SIV desempenham papel fundamental, pois causam atraso no estabelecimento da resposta imune (PRRSV, PCV2) ou falha na funcionalidade do aparelho mucociliar (SIV)






