O aparelho respiratório tem como função principal a captação do oxigênio do ar assim como a eliminação do CO2 originado no catabolismo tissular. No suíno, além disso, tem uma importante função no processo de termorregulação uma vez que, ao não ter desenvolvidas as glândulas sudoríparas, o excesso de calor é eliminado através de um sistema de evaporação denominado polipneia térmica.
A primeira parte do sistema respiratório, a porção condutora ou vias aéreas, vai da cavidade nasal até às últimas ramificações dos bronquíolos, e também inclui os seios nasais e paranasais que estão conectados à cavidade nasal, nasofaringe e laringe. Todas estas estruturas tubulares estão revestidas por um epitélio pseudo-estratificado ciliado com células caliciformes (figura 1), responsável por um dos principais sistemas de defesa da mucosa respiratória, o aparelho mucociliar. Este sistema é composto pelos cílios das células do epitélio respiratório, junto com as secreções das células caliciformes e as glândulas seromucosas que aparecem sob a mucosa respiratória e a sua principal função é eliminar as partículas que entram através do ar inspirado. As glândulas segregam um líquido claro, de baixa viscosidade e rico em proteínas, que se dispõe entre os cílios, formando um meio que favorece seu movimento para cima. O muco segregado pelas células caliciformes é depositado nos cílios e permite a aderência das partículas inaladas. O movimento ascendente dos cílios empurra o muco em direção à parte superior do sistema respiratório, que pode ser engolido e passado para o sistema digestivo, onde é digerido, ou expelido para fora pela boca e/ou cavidade nasal. Agentes como Mycoplasma hyopneumoniae, que provoca a perda dos cílios, ou vírus como Influenza suína ou o coronavírus respiratório, que provocam a destruição das células epiteliais, destruindo este sistema de defesa.

Associada à mucosa respiratória existem áreas de tecido linfoide (BALT, do inglês Broncus Associated Lymphoid Tissues) onde tem lugar a interação entre os linfócitos e os antígenos de agentes patogênicos procedentes do exterior, originando uma resposta defensiva específica e evitando assim uma resposta imunitária sistêmica. É caracterizado por uma preponderância da resposta imunitária humoral através de IgA, que é seletivamente segregada na superfície das mucosas por meio de um transporte ativo.

A partir dos bronquíolos respiratórios situa-se a porção respiratória, integrada pelos alvéolos, os quais estão delimitados por uma delgada parede, pela que flui uma densa rede de capilares através da qual tem lugar o intercâmbio gasoso entre o ar e o sangue.
O epitélio que reveste os alvéolos é constituído por dois tipos celulares, denominados pneumócitos tipo I e II (figura 2). Os pneumócitos tipo I são células planas que revestem a maior parte da superfície alveolar e os gases podem passar facilmente através do seu citoplasma. Os pneumócitos tipo II ocorrem isoladamente ou em pequenos grupos entre os pneumócitos tipo I, sobretudo nos cantos, onde se juntam aos septos alveolares. São células cuja morfologia varia de arredondada a cúbica, com poucas microvilosidades na superfície livre e que contêm no seu citoplasma algumas organelas chamados corpos multilaminares ou citossomas. Os citossomas excretam uma substância surfactante em direção à superfície alveolar que se mistura com as moléculas de água, reduzindo a sua coesão, assim conseguem reduzir a tensão superficial do líquido alveolar, impedindo o colapso do pulmão e fazendo que seja menor a força de inspiração para encher os alvéolos. Estas células têm a capacidade de dividirem-se e diferenciarem-se em pneumócitos tipo I, sendo a principal fonte de renovação celular. O centro da parede alveolar é ocupado pelo interstício, de natureza conectiva, e que suporta uma ampla rede de capilares anastomosados.

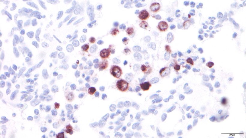
Os macrófagos pulmonares são outro importante mecanismo de defesa pulmonar. Além dos macrófagos alveolares, localizados no lúmen alveolar, também podemos encontrar os macrófagos intravasculares pulmonares, localizados no interior dos capilares, e os macrófagos intersticiais, localizados no interstício dos septos (Figura 2). Os primeiros defendem a luz alveolar através da fagocitose de microrganismos e partículas inalados, enquanto os últimos lidam com a eliminação de partículas ou agentes patogênicos que atingem o pulmão através do sangue. A população de macrófagos pulmonares é a principal fonte de produção de mediadores inflamatórios, como citocinas e quimiocinas, que também podem ser secretadas por outros tipos celulares. Estas moléculas têm como função principal atrair células inflamatórias como neutrófilos e linfócitos no local onde se produziu a lesão servindo assim como um "sistema de comunicação" entre as células envolvidas no processo inflamatório. Vírus, como o da Síndrome Respiratória e Reprodutiva do Suíno (PRRSV) cuja principal célula afetada são os macrófagos alveolares (figura 3), alteram as suas funções básicas (fagocitose, apresentação de antígenos e produção de citocinas) e induzem a sua morte por necrose e/ou apoptose, o que modula a resposta imunitária produzindo um atraso no aparecimento de uma resposta adaptativa efetiva favorecendo assim o aparecimento de infecções secundárias.

Nunca deve-se esquecer que o alvéolo, lugar onde se produz o intercâmbio respiratório, está em contato com o exterior, por isso é fundamental a integridade de aparelho mucociliar e a funcionalidade dos macrófagos para manter a homeostase da função respiratória.






