
Vídeo de necrópsia: broncopneumonia fibrinosa
Como complemento ao curso de necrópsias, elaboramos uma série de vídeos de diferentes processos no suíno.
Notícias, eventos e reportagens da atualidade na suinocultura
Os eventos relacionados com o setor a nível mundial
Um resumo semanal das novidades da 3tres3.com.br
Um boletim de notícias sobre o setor suinícola
A saúde dos suínos: notícias e artigos sobre PCV2, Mycoplasma, biossegurança, etc., guia das principais doenças, atlas de patologia, casos clínicos...
Biocheck.UGent é um sistema de pontuação científica independente, baseado em risco, para avaliar a qualidade de sua biosseguridade na granja.
Toda a informação em tempo real sobre a Peste Suína Africana (PSA) em todo o mundo
Descrição das doenças mais importantes dos suínos
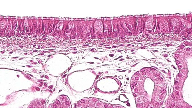
Descrição fotográfica das lesões mais significativas dos suínos
Ferramenta para diagnosticar doenças nos suínos
Calcule a quantidade de medicamento que deve ser adicionado na água quando usamos um dosificador de fluxo
Um dicionário sobre terminologias específicas do setor
Um resumo semanal das novidades da 3tres3.com.br
Cotações do suíno por países. Produção e comércio de carne suína. Notícias do mercado suinícola e das principais matérias-primas
As últimas cotações e a evolução histórica dos mercados mais importantes do suíno
Últimas cotações das principais matérias primas para rações.
Dados e tendências da suinocultura, produção de carne, número de granjas, plantel etc.
Dados mundiais de produção e comércio das principais matérias-primas
Um resumo semanal das novidades da 3tres3.com.br
Informação mensais do preço do suíno e comentário econômico do mercado
Artigos sobre nutrição e alimentação, características das matérias primas e dos aditivos para suínos e preços das matérias-primas
Informações técnicas das principais matérias-primas e aditivos. Incluem informação de valores nutricionais, produção e comércio, estudos recentes,...
Últimas cotações das principais matérias primas para rações.
Dados mundiais de produção e comércio das principais matérias-primas
Um dicionário sobre terminologias específicas do setor
Use esta ferramenta para diagnosticar problemas de taxa de conversão. Clique no fluxograma ou nos botões dentro do texto para navegar pelas diferentes partes da ferramenta.
Um resumo semanal das novidades da 3tres3.com.br
Artigos sobre genética e reprodução nos suínos: seleção genética, genômica, inseminação artificial...
Comparar os dados produtivos, calcular o número de salas para as matrizes, transição e terminação e visualizar as tarefas de acordo com cada tipo de MEB.
Calcula a entrada de leitoas ao iniciar uma granja, ou em casos de aumento de plantel ou para calcular a reposição de uma granja em funcionamento.
Um dicionário sobre terminologias específicas do setor
Um resumo semanal das novidades da 3tres3.com.br
Manejo, gestão e organização do trabalho em cada uma das fases de produção: manejo na gestação, maternidade, engorda, manejo em bandas...
Comparar os dados produtivos, calcular o número de salas para as matrizes, transição e terminação e visualizar as tarefas de acordo com cada tipo de MEB.
Calcula a entrada de leitoas ao iniciar uma granja, ou em casos de aumento de plantel ou para calcular a reposição de uma granja em funcionamento.
Aqui você pode comparar vários objetos utilizados como material de enriquecimento para suínos com o objetivo de evitar a caudofagia.
Um dicionário sobre terminologias específicas do setor
Um resumo semanal das novidades da 3tres3.com.br
Desenhos de instalações e equipamentos para suinocultura: desenho de pavilhões, climatização, sistemas de alimentação, etc. Comparadores de equipamento.
Biocheck.UGent é um sistema de pontuação científica independente, baseado em risco, para avaliar a qualidade de sua biosseguridade na granja.
Um dicionário sobre terminologias específicas do setor
Um resumo semanal das novidades da 3tres3.com.br
Aqui você encontra informações sobre autores renomados da área da suinocultura que colaboram na 3tres3
Licenciada em Medicina Veterinária na Universidad Complutense de Madrid em Julho de 2017. Contratada como ajudante de investigação pela Universidad de Córdoba através do Programa Operativo de Empleo Juvenil 2014-2020, no Departamento de Anatomía y Anatomía Patológica Comparadas até Julho de 2019. Actualmente contratada com cargo a projecto e a realizar a tese de doutoramento sobre o Síndrome Reprodutivo e Respiratório Suíno no mesmo departamento.
Currículo atualizado: 05-Mar-2020

Como complemento ao curso de necrópsias, elaboramos uma série de vídeos de diferentes processos no suíno.

Na quinta parte do manual, abordamos o exame dos órgãos da cavidade abdominal.

Após a interpretação das lesões, devemos proceder à coleta de amostras.

Na quarta parte do manual abordamos o exame dos órgãos da cavidade torácica.

Enquanto nas duas primeiras entregas abordamos a necropsia em decúbito lateral, nesta terceira parcela explicaremos como realizar em decúbito dorsal.

Nesta segunda parte vemos a extração do conjunto língua-traquéia-pulmões-coração. Extrairemos os órgãos da cavidade abdominal, tanto o sistema digestivo quanto os sistemas urinário e genital. Na cabeça acessaremos as conchas nasais e o cérebro e cerebelo.

Estamos iniciando uma nova seção, coordenada pela equipe de anatomia patológica da Universidade de Córdoba, que nos mostrará, de forma muito visual e prática, como realizar uma necropsia em um suíno.

Qual o real efeito da pneumonia no desempenho econômico da granja? Quão semelhante é a pneumonia ao estresse por calor?

M. hyopneumoniae está envolvida na maioria das coinfecções do complexo respiratório suíno. Como esse agente atua e quais os efeitos ele exerce?

Este artigo descreve e ilustra as principais lesões que caracterizam as pneumonias bacterianas em suínos. Embora a maioria seja causada por agentes oportunistas, destacam-se dois patógenos bacterianos primários capazes de causar lesões isoladamente.

Quais tipos de células compõem o sistema de defesa respiratória em suínos? Como essas células organizam-se e comunicam-se?

Este artigo analisa as várias lesões causadas pelo PRRS, PCV2, vírus da influenza suína e coronavírus respiratório suíno.
Um resumo semanal das novidades da 3tres3.com.br
Faça seu login e inscreva-se na lista
Bem vindo a 3tres3
Conecte-se, compartilhe e interaja com a maior comunidade de profissionais da suinocultura.
Já somos 206833 Usuários!
Cadastre-seJá é usuário?



