Os agentes bacterianos que causam pneumonia nos suínos podem ser classificados como agentes primários, aqueles capazes de causar lesão por si mesmos, dentre os quais destacam-se Mycoplasma hyopneumoniae, Actinobacillus pleuropneumoniae, Bordetella bonchiseptica e algumas cepas de Pasteurella multocida e, como agentes secundários, que atuam após a infecção prévia de um agente primário ou em estados de comprometimento imunológico, dentre os quais podemos encontrar a maioria das cepas de P. multocida, Streptococcus suis, Glaesserella parasuis (anteriormente Haemophilus parasuis) e Trueperella pyogenes.
Entre os agentes primários, M. hyopneumoniae, agente causador da pneumonia enzoótica suína, assume um papel especial, um processo crônico caracterizado por causar sérias perdas econômicas nas granjas de suínos, associadas à diminuição do ganho de peso diário, aumento da taxa de conversão e mortalidade por infecções secundárias. Este procarionte, pertencente à classe dos Mollicutes, caracteriza-se por sua falta de parede, sendo muito pleomórfico, possuindo DNA circular de fita dupla e uma cápsula de polissacarídeo com fibrilas radiais e sendo muito difícil de cultivar.

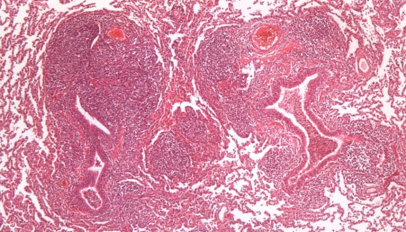
Para realizar sua ação patogênica, liga-se aos cílios das células do epitélio respiratório, causando sua perda e alterando a função do aparelho mucociliar, o que significa que secreções pulmonares, partículas inaladas e patógenos que entram pelo ar não podem ser removidos e podem progredir para o trato respiratório inferior, onde causam lesões e complicações do processo respiratório. No nível pulmonar, esse agente causa pneumonia bronco-intersticial caracterizada macroscopicamente pelo aparecimento de áreas bem definidas de consolidação avermelhada nas porções cranio-ventrais do pulmão (Figura 1). No nível microscópico, observa-se hiperplasia do tecido linfoide peribrônquico, peribronquiolar e perivascular, característica marcante desse processo (Figura 2).


A. pleuropneumoniae (App) é um bacilo gram-negativo encapsulado de morfologia cocobacilar com dois biótipos, biótipo I, dependente de nicotinamida adenina dinucleotídeo (NAD) e biótipo II, NAD independente. Existem 18 sorotipos: 1-12 e 15-18 pertencem ao biótipo I, enquanto os sorotipos 13 e 14 pertencem ao biótipo II. O App produz 4 toxinas, Apx I, II e III, típicas de certas cepas, e Apx IV, comuns a todas as cepas; portanto, esta última toxina é o alvo no qual se baseiam vários testes de diagnóstico indiretos pelo ELISA. Essa bactéria coloniza as tonsilas e segue para o sistema respiratório inferior, aderindo aos pneumócitos alveolares, onde secretam toxinas, que terão efeitos hemolíticos e citotóxicos, alterando a função das células endoteliais e os fenômenos de fagocitose dos macrófagos alveolares, que dará origem à ativação da cascata de coagulação, à formação de microtrombos e fenômenos de necrose isquêmica, responsáveis pelas lesões mais características desse patógeno, aparecimento de áreas de infarto no pulmão.
O padrão de lesão pulmonar causada por esse patógeno é o da broncopneumonia fibrinosa, na qual, nos casos agudos, as lesões são observadas principalmente nas porções dorsocaudais do pulmão (Figura 3), como áreas de necrose da coagulação (infarto) e hemorragia, friáveis e com aspecto de mármore quando cortadas. Microscopicamente, é observada a presença de fibrina e leucócitos degenerados no lúmen dos alvéolos, brônquios e bronquíolos, áreas de necrose e hemorragia de diferentes extensões e edema alveolar e intersticial, com aparecimento de pleurite fibrinosa. Essas mesmas lesões podem ser produzidas por algumas cepas muito virulentas de P. multocida, por isso é muito importante a história clínica, apresentação das lesões macroscópicas e análise microbiológica, a fim de realizar um diagnóstico assertivo.
A. pleuropneumoniae também pode ocorrer cronicamente, nesse caso a disseminação hematogênica ocorre a partir de lesões agudas, e apresenta-se como lesões multifocais esbranquiçadas de tamanho variável aparecendo em todo o pulmão.

A maioria das cepas de P. multocida atua como agentes secundários e o tipo de lesão que produzem pode variar de broncopneumonia fibrinosa a broncopneumonia catarral-purulenta. Na primeira, o exsudato de fibrina ocorre no alvéolo acompanhado por deposição de fibrina na superfície da pleura. Além disso, focos de necrose de coagulação ocorrem como consequência dos fenômenos de trombose. Na broncopneumonia catarral-purulenta, um exsudato mucoso ou catarral-purulento aparece nas vias aéreas (traqueia, brônquios e bronquíolos) e no lúmen dos alvéolos (Figura 4). Outro agente que causa esse tipo de broncopneumonia, principalmente nas primeiras semanas de vida, é o B. bronchiseptica, uma lesão que também pode ser acompanhada por um processo de rinite atrófica não progressiva.

Agentes bacterianos como T. pyogenes e S. suis podem estar relacionados a processos de pneumonia embólica, associados a processos de onfaloflebite, infecções bacterianas da pele ou cascos (T. pyogenes) ou casos de endocardite mural (S. suis), fotos em que as bactérias atingem o pulmão por via hematogênica a partir dessas lesões. Macroscopicamente, são observadas lesões multifocais esbranquiçadas em todo o pulmão, com um tamanho que pode variar de 1 mm a 2 cm de diâmetro, cercado por um halo avermelhado nos casos mais agudos e que evoluem rapidamente para a formação de abscessos (figura 5).

Nos casos de pleurite fibrinosa, nos quais, além da pleura, são observados depósitos de fibrina em outras superfícies serosas, destacam-se principalmente três bactérias: G. parasuis, M. hyorhinis e/ou S. suis. Essas lesões podem passar despercebidas clinicamente em muitas ocasiões, e no frigorífico poderá ser observado o aumento nas aderências pleurais devido à cronificação desses processos (Figura 6).


Embora a maioria das bactérias que afetam o sistema respiratório sejam agentes oportunistas, dois agentes bacterianos primários que podem ser considerados os mais patogênicos em suínos devem sempre ser lembrados: M. hyopneumoniae e A. pleuropneumoniae.







