La diarrea en cerdos de engorde es un problema común en explotaciones comerciales y limita significativamente la eficiencia y rentabilidad de la producción porcina mundial. Los trastornos intestinales en cerdos mayores de 4 semanas de edad pueden ser producidos por varios agentes infecciosos, como rotavirus, coronavirus, Escherichia coli, Brachyspira spp., Salmonella spp., Yersinia spp., Lawsonia intracellularis, Oesophagostomum dentatum y Trichuris suis, entre otros. De hecho, la mayoría de casos que cursan con diarrea post-destete y colitis son debidos a etiologías concurrentes, junto a su interacción con el pienso, agua y otros factores ambientales.
El circovirus porcino tipo 2 (PCV2), agente causal esencial de la enfermedad sistémica asociada a PCV2 (PCV2-SD) y la infección subclínica asociada a PCV2 (PCV2-SI), es considerado un patógeno sistémico. Sin embargo, recientemente, se ha sugerido que es capaz de producir diarrea en cerdos y se ha propuesto la enfermedad entérica asociada a PCV2 (PCV2-ED) como una entidad separada dentro de las enfermedades asociadas a circovirus porcino (PCVDs). Su definición de caso incluye: a) cerdos que sufren diarrea; b) enteritis granulomatosa y depleción de linfocitos que se observa microscópicamente en las placas de Peyer, pero no en otros tejidos linfoides, y c) cantidades, de moderadas a altas, de PCV2 detectadas en mucosa intestinal o placas de Peyer, sin detección en otros tejidos sistémicos.

Con el fin de aclarar la verdadera incidencia de PCV2-ED, se diseñó un estudio para investigar la prevalencia de la infección por PCV2 en cerdos de engorde con diarrea en España y para valorar la posible coexistencia entre PCV-ED y PCV2-SD. El estudio se realizó con 96 cerdos que sufrían diarrea y se enviaron para una necropsia completa y análisis laboratoriales al Servei de Diagnòstic de Patologia Veterinària, en la Facultad de Veterinaria de la Universitat Autònoma de Barcelona (España). Las muestras enviadas (Fig. 1) correspondían al período 1998-2011, e incluían solamente cerdos no vacunados de PCV2. Las lesiones entéricas más predominantes fueron enteritis/colitis catarral (77,1%), fibrinosa (11,5%) y granulomatosa (4,2%); también fueron observadas otras lesiones como hemorragias o ulceraciones (4,2%). Setenta y dos cerdos (75%) dieron positivo a PCV2 mediante hibridación in situ (ISH). Entre los cerdos positivos a PCV2 mediante ISH, se confirmó que 39 animales padecían PCV2-SD y 33 no tenían lesiones linfoides significativas pero sí una baja cantidad de ácidos nucleicos virales en varios tejidos linfoides. En consecuencia, estos últimos mostraron la existencia de una infección por PCV2 sistémica y, por tanto, no se declararon como PCVD-ED. De hecho, la interpretación patológica de la baja cantidad de PCV2 en varios linfonodos sistémicos sin lesiones histológicas significativas tiene 3 posibilidades: a) PCV2-SI, b) fase inicial de una posterior PCV2-SD, o c) fase de recuperación de PCV2-SD.

Fig. 1. Diagrama de flujo que describe la selección y criterios diagnósticos de cerdos infectados con PCV2 incluidos en este estudio. PCV2, circovirus porcino tipo 2; PCV2-SD, enfermedad sistémica asociada a PCV2; PCV2-ED, enfermedad entérica asociada a PCV2.
En conclusión, los resultados obtenidos en este estudio (Fig. 1) sugirieron que PCV2-ED es probablemente una condición insignificante y que PCV2 contribuye principalmente a los trastornos clínicos entéricos en relación con la incidencia de PCV2-SD.
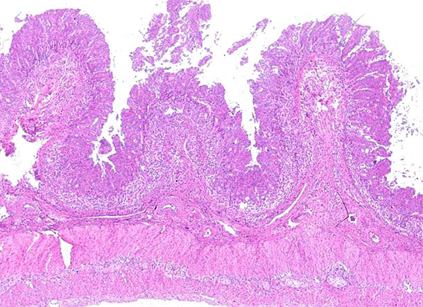
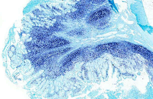
Cabe destacar que los problemas entéricos se encontraron con frecuencia en granjas afectadas por PCV2-SD. No obstante, no estaba claro el mecanismo exacto por el cual estos animales enfermos tenían diarrea. Por un lado, la inmunosupresión sistémica vinculada a PCV2-SD sería una de las razones principales para desencadenar el efecto de los patógenos entéricos existentes en la granja, que pueden no expresarse a menos que el sistema inmune esté comprometido. Por otro lado, el resultado patológico de PCV2-SD en una parte de los animales incluye un grado variable de enteritis granulomatosa (fotografías 1 y 2), que causaría diarrea debido a la alteración de la permeabilidad de la barrera intestinal. En este escenario, la llegada de las vacunas PCV2 causó una disminución radical de cerdos y granjas que presentaban signos clínicos y lesiones de PCV2-SD y, por tanto, la concomitancia de la infección viral con otros patógenos entéricos disminuyó significativamente.

Fotografía 1. Íleon. Depleción de linfocitos marcada e inflamación granulomatosa de las placas de Peyer en el íleon de un cerdo afectado por enfermedad sistémica asociada a PCV2. Tinción de hematoxilina y eosina.

Fotografía 2. Íleon. El mismo íleon del cerdo afectado por enfermedad sistémica asociada a PCV2 presenta una gran cantidad de genoma de PCV2 en las placas de Peyer y mucosa intestinal. Hibridación in situ para detectar PCV2; colorante de contraste verde rápido.
Debido a la vacunación, hoy en día la forma más común de PCV2 es PCV2-SI, donde las lesiones y signos clínicos sistémicos y digestivos causados por el virus son mínimos. En consecuencia, cuando los problemas de diarrea están presentes a una edad en que PCV2-SI también puede darse, es muy probable que se produzcan infecciones concurrentes con patógenos entéricos y que estos últimos sean los principales contribuyentes al problema clínico. Por lo tanto, es muy importante utilizar las herramientas diagnósticas disponibles a fin de determinar el peso específico de cada patógeno en esta enfermedad entérica. Los exámenes patológicos (macroscópicos e histopatológicos) pueden ser de gran ayuda para intentar evaluar estos casos.

