Diarrhö bei Aufzucht- und Ausmastschweinen ist ein häufiges Problem in gewerblichen Haltungsbetrieben und beschränkt in erheblichem Maße weltweit die Leistungsfähigkeit und Profitabilität der Schweineproduktion. Darmerkrankungen bei Schweinen, die älter als 4 Wochen sind, können durch verschiedene Infektionserreger wie beispielsweise Rotaviren, Coronaviren, Escherichia coli, Brachyspira spp., Salmonella spp., Yersinia spp., Lawsonia intracellularis, Oesophagostomum dentatum und Trichuris suis etc. ausgelöst werden. Tatsächlich sind die meisten Fälle von Diarrhö und Colitis nach dem Absetzen auf gleichzeitig auftretende Entstehungsursachen in Verbindung mit deren Wechselwirkungen mit dem Futter, Wasser und anderen Umweltfaktoren zurückzuführen.
Das Porcine Circovirus Typ 2 (PCV2), die Hauptursache für die PCV2-bedingte systemische Erkrankung (PCV2-SD) und die subklinische PCV-2-Infektion (PCV2-SI), gilt als systemischer Krankheitserreger. Es wird jedoch seit kurzem davon ausgegangen, dass PCV2 ein Krankheitserreger ist, der bei Schweinen Diarrhö auslöst, und es wurde vorgeschlagen, die PCV2-Darmerkrankung (PCV2-ED) als eigenes Krankheitsbild innerhalb der Erkrankungen, die durch porcine Circoviren induziert werden (PCVDs), zu betrachten. Die Falldefinition umfasst: a) Schweine leiden an Diarrhö; b) Granulomatöse Enteritis und Lymphozytendepletion, die mikroskopisch in den Peyer-Plaques, aber in keinem anderen Lymphgewebe beobachtet wurde, sowie c) mäßige bis große Mengen an PCV2, die in der Darmschleimhaut oder den Peyer-Plaques, aber nicht in anderem Körpergewebe nachgewiesen wurde.

Um das tatsächliche Auftreten von PCV2-ED zu klären, wurde eine Studie entwickelt, mit der die Prävalenz der PCV2-Infektion bei Aufzucht- und Ausmastschweinen mit Diarrhö in Spanien erforscht und die potenziellen Überschneidungen zwischen PCV-ED und PCV2-SD beurteilt werden sollten. Die Studie wurde bei 96 Schweinen durchgeführt, die an Diarrhö erkrankt waren, und dem Servei de Diagnòstic de Patologia Veterinària an der Veterinary School der Autonomen Universität Barcelona (Spanien) zur Durchführung einer kompletten Nekropsie und von Laboranalysen unterbreitet. Das übergebene Material (Abb. 1) stammte aus dem Zeitraum zwischen 1998 und 2011 und betraf nur die nicht gegen PCV2 geimpften Schweine. Die verbreitetsten Darmerkrankungen waren katarrhalische (77,1%), fibrinöse (11,5%) und granulomatöse (4,2%) Enteritis/ Colitis. Außerdem traten auch Erkrankungen wie Hämorrhagien oder Ulzerationen auf (4,2%). Zweiundsiebzig Schweine (75%) wurden durch Hybridisierung in situ (ISH) PCV2-positiv getestet. Unter den durch ISH PCV2-positiv getesteten Schweinen bestätigten sich 39 Fälle von Tieren, die an PCV2-SD erkrankt waren. 33 Tiere wiesen keine bedeutenden lymphoiden Läsionen auf, allerdings wurden in verschiedenen Lymphgeweben geringe Mengen viraler Nukleinsäure nachgewiesen. Bei den letzteren Tieren lag folglich eine systemische PCV2-Infektion vor, weshalb sie für PCVD-ED nicht in Frage kamen. Tatsächlich gibt es 3 Möglichkeiten, die geringen Mengen von PCV2 in einzelnen systemischen Lymphknoten mit nicht signifikanten histologischen Läsionen zu deuten: a) PCV2-SI, b) Anfangsstadium einer folgenden PCV2-SD oder c) Erholungsphase nach einer PCV2-SD.

Abb. 1 Ablaufdiagramm zur Beschreibung der Selektion und Diagnosekriterien für PCV2-infizierte Schweine, die in dieser Studie untersucht wurden.
PCV2: Porcines Circovirus Typ 2; PCV2-SD: PCV2-bedingte systemische Erkrankung; PCV2-ED: PCV2-Darmerkrankung
Schließlich legen die im Rahmen dieser Studie erhaltenen Ergebnisse (Abb. 1) nahe, dass PCV2-ED ein wahrscheinlich unerhebliches Krankheitsbild ist und PCV2 in erster Linie zu klinischen Darmerkrankungen in Zusammenhang mit dem Auftreten von PCV2-SD beiträgt.
Es muss darauf hingewiesen werden, dass Darmprobleme oft in Betrieben auftraten, die von PCV2-SD betroffen waren. Der genaue Mechanismus, mit dem diese erkrankten Tiere Diarrhö bekamen, ist jedoch nicht klar. Auf der einen Seite wäre die systemische Immunsuppression, die mit PCV2-SD verbunden ist, ein wesentlicher Grund für die Auslösung der Wirkung von im Betrieb vorhandenen enterischen Krankheitserregern, die möglicherweise nicht zum Ausdruck käme, wenn solch eine Gefährdung des Immunsystems nicht bestände. Andererseits umfasst der pathologische Ausbruch von PCV2-SD bei einem Teil der Tiere einen unterschiedlichen Grad an granulomatöser Enteritis (Abbildungen 1 und 2), was aufgrund der veränderten Permeabilität der Darmbarriere zu Diarrhö führen würde. In diesem Fall bewirkte des Aufkommen von PCV2-Impfstoffen einen drastischen Rückgang der Schweine und Betriebe, die klinische PCV2-SD Symptome und Läsionen aufwiesen, weshalb die Fälle, in denen die Virusinfektion und andere enterische Krankheitserreger gleichzeitig auftraten, deutlich zurückgingen.

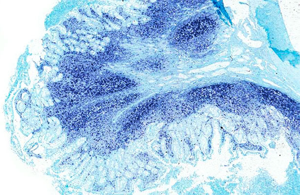
Abbildung 1: Ileum: Ausgeprägte Lymphozytendepletion und granulomatöse Entzündung der Peyer-Plaques im Ileum
eines Schweins, das von der PCV2-bedingten systemischen Erkrankung betroffen ist. Hämatoxylin-Eosin-Färbung.

Abbildung 2: Ileum: Dasselbe Ileum des von der PCV2-bedingten systemischen Erkrankung betroffenen Schweins zeigt große Mengen des PCV2-Genoms
in den Peyer-Plaques und in der Darmschleimhaut. In situ Hybridisierung zum Nachweis von PCV2: schnelle grüne Gegenfärbung.
Aufgrund der Impfung ist heutzutage PCV2-SI die häufigste Form der PCV2-Diagnose und vom Virus verursachte systemische und/oder digestive klinische Symptome und Läsionen sind unerheblich. Wenn Durchfallerkrankungen in einem Alter vorkommen, bei dem auch PCV2-SI auftritt, ist es demzufolge sehr wahrscheinlich, dass gleichzeitige Infektionen mit enterischen Krankheitserregern auftreten und die letzteren am meisten zur klinischen Erkrankung beitragen. Deshalb ist es sehr wichtig, verfügbare Diagnosewerkzeuge zu benutzen, um das spezifische Gewicht jedes einzelnen Krankheitserregers der jeweiligen Darmerkrankung zu ermitteln. Pathologische Untersuchungen (makroskopisch und histopathologisch) können bei der Beurteilung solcher Szenarien eine große Hilfe sein.

