Descripción del caso
En este caso clínico se describirá un brote agudo de úlceras gástricas que afectó a 38 granjas durante el transcurso de 12 meses de una cooperativa productora de piensos de la zona de Lleida, provincia con una elevada densidad porcina del noreste de España.

Los primeros casos fueron diagnosticados en octubre del 2008, afectando al mismo tiempo varias empresas porcinas de Cataluña, Aragón y Valencia.
Lo único que tenían en común todos los casos, era la edad de los cerdos afectados (30-40 kg), la agudeza de los brotes y la sintomatología clínica. Por lo demás, las diferencias en instalaciones, genéticas, manejos, empresas y piensos hacían complicado vincular los casos a una causa común. La gravedad y el nivel de bajas oscilaban desde un 5 hasta un 40% en los casos más severos.

Sintomatología clínica y necropsias
La única sintomatología observada era una leve palidez de los animales unas 16 horas antes de la aparición súbita de las bajas. Los animales más afectados eran, en mucha ocasiones, los más grandes del corral y no mostraban otros signos de enfermedad. Con las primeras bajas era común la presencia de aturdimiento y letargia de un elevado número de animales en las naves afectadas.

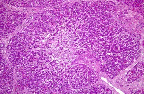
Las necropsias realizadas mostraban una hemorragia gástrica aguda con una gran dilatación estomacal, edema mesentérico, úlceras de gran tamaño y, en el 80% de los casos, una severa hepatomegalia, coloración anaranjada y constitución friable del hígado.

Primeras medidas tomadas
Como tanto los componentes del pienso como la presentación del mismo eran sospechosos de ser los causantes, las primeras acciones llevadas a cabo fueron en formulación:
- Incremento del tamaño de partícula de 700 a 800 µ
- Descenso de la incorporación de trigo del 45 al 25%
- Incorporación de cascarilla de soja al 2% como fuente de fibra
- Incorporación de bicarbonato a razón de 10 kg/Tm
- Incremento de niveles de vitamina E y selenio (Se) a 40 y 0,5 ppm, respectivamente
- Pienso dietético en las granjas más afectadas en harina.
Resultados laboratoriales
Después de todos estos cambios, los brotes continuaban apareciendo y la severidad de los casos era la misma. Se decidió entonces enviar hígados alterados macroscópicamente y hígados aparentemente normales a la unidad de Anatomía Patológica de la Universidad Autónoma de Barcelona.


Histológicamente se encontró una necrosis centrolubulillar del hepatocito y una destrucción masiva de la estructura hepática con inflamación mononuclear y megalocitos. Estas lesiones eran compatibles con una intoxicación crónica y/o con una hepatosis dietética.

Investigación de posibles causas
Con la lesión hepática diagnosticada empezamos a barajar diferentes hipótesis como causa primaria de la aparición de las úlceras todas relacionadas inicialmente con posibles tóxicos hepáticos compatibles con la lesión y con el carácter toxico del diagnostico laboratorial.
1ª hipótesis: sospecha de aflatoxicosis
Dentro de los muchos posibles tóxicos que pueden dañar el hígado, las micotoxinas son las más probables en alimentación animal.
Se buscaron aflatoxinas, deoxynivalenol, zearalenona, ocratoxina, fumonisinas y tricotecnos en materia prima y pienso mediante HPLC en diversos laboratorios especializados. El resultado fue negativo o positivo pero en niveles bajos.
Aún y así, en micotoxinas es muy difícil hacer un muestreo representativo a nivel de fábrica de pienso por lo que estos resultados no eran concluyentes. Entonces se decidió buscar las mismas micotoxinas en hígados afectados mediante HPLC MS/MS en el Technical Laboratory Rotterdam. Los resultados también fueron negativos.
La teoría de la micotoxicosis, pues, como causante primario de las úlceras, iba perdiendo consistencia. Además, tenía otro punto débil: las fábricas de pienso de la empresa son multiespecie y la producción de aves no se vio afectadas en absoluto, siendo más sensibles que los cerdos en algunas micotoxinas.
2ª hipótesis: sospecha de tóxico
Debido a la ausencia de resultados y a la gravedad de los brotes se sospechó de algún otro tóxico hepático más extraño y menos común.
Los tóxicos hepáticos se cuentan por cientos ya que el hígado es el órgano detoxificador más importante del organismo pero, por probabilidad de aparición en el pienso, se buscaron los siguientes elementos en los siguientes centros internacionales:
- Metales pesados en hígado, riñón y grasa subcutánea mediante espectrometría óptica y absorción atómica (Eurofins Ltd.London)
- Alcaloides de la Pirrolizidina por HPLC en pienso (Lab. Quantum Barcelona)
- Herbicidas e insecticidas por HPLC en pienso y en hígado (TLR Lab. Rotterdam)
- Estudio toxicológico mediante cromatografía de capa fina para detectar algún tipo de tóxico hepático (Dep. Toxicológico UAB)
El único hallazgo destacado por todas las pruebas anteriores fue una ligera peroxidación de los piensos, pero no se pudo determinar si era real o tal vez debida al almacenamiento de las muestras. No se encontró ningún indicio de los otros tóxicos buscados.
3ª hipótesis: sospecha de déficit de vit E
Viendo que no se encontraba nada determinante que pudiera producir una intoxicación crónica, se opto por investigar la otra posible causa diagnosticada: la hepatosis dietética. Clínicamente no había sintomatología, ni tampoco hubo hallazgos en las necropsias de corazón de mora o músculo blanco, aún y así se consideró la posibilidad y se investigó más a fondo.
Se llevó a cabo el análisis de vitamina E y Se en corrector, pienso, suero e hígado.
Tabla1. Resultados de vitamina E y Selenio en suero.
| Suero | Diciembre 2008 | |
| Muestras | Vit E (µg/ml) | Se (µg/ml) |
| 1 | <0,5 | 0,93 |
| 2 | <0,5 | 0,78 |
| 3 | <0,5 | 0,73 |
| 4 | <0,5 | 0,61 |
| Ref. | 8-10 | 0,4-0,8 |
Los resultados fueron muy por debajo de los mínimos recomendados.
Se decidió tratar todos los engordes afectados con Vitamina E y Se inyectable (Sodio selenito 1,5 mg; Tocoferol acetato 50 mg). Los resultados fueron muy favorables en un 85% de los engordes tratados. También se procedió a subir los niveles de Vitamina E en los correctores tanto de los lechones, cerdos de engorde y cerdas.
Conclusiones y resolución del caso
La Vitamina E es el antioxidante natural más potente y por lo tanto, protector de membranas, actuando frente a reacciones de oxidación in vivo de la célula entre otras funciones. Es un tratamiento de elección frente a cirrosis hepáticas en humana por lo que podría estar actuando como tratamiento curativo también en este caso.
Por otro lado la hepatosis dietética puede cursar con úlceras gástricas. Aún así no se pudo repetir la hepatosis a nivel experimental alimentando cerdos de los 30 a los 100 kg sin nada de Vitamina E ni de Se.
Las reservas de Vitamina E en hígado pueden verse alteradas por tóxicos, micotoxinas en general o peróxidos productos de procesos de enranciamiento. Incluso los niveles de vitamina E en pienso se ven disminuidos con la presencia de estos tóxicos.
Un factor importante a destacar era la edad de aparición de los problemas, de 30 a 40 kg en todos los casos, momento en el que cerdo expresa al máximo su potencial de crecimiento y por tanto somete sus órganos vitales a un gran esfuerzo.
A finales del 2008 los precios de Vitamina E a nivel mundial subieron considerablemente. La tendencia general fue revisar a la baja la inclusión de la misma en los correctores pero además, ¿podrían haberse visto afectadas las calidades?, ¿había algún tóxico o micotoxina en el pienso que disminuía la disponibilidad de la vitamina E en el organismo animal? o ¿podría ese tóxico someter al hígado a tal estrés oxidativo que requería de niveles más altos de antioxidante para funcionar?
A principios del 2009 se subieron los niveles de Vitamina E a nivel de pienso. Se volvió a analizar en suero. El gráfico 1 muestra los resultados de ambos análisis.
Gráfico 1. Comparación niveles vitamina E y Se en sangre.

El último caso apareció en agosto de 2009. Desde entonces no ha habido casos nuevos.
Los autores de este artículo quisieran considerar como co-autores a todos los compañeros veterinarios, trabajadores y directivos de la empresa que colaboraron muy activamente y ayudaron durante el caso.

