
Manuel de nécropsie : prélèvement d'échantillons et envoi au laboratoire
Après l'interprétation des lésions, il faut procéder à des prélèvements.
Nouvelles, événements et reportages liés au secteur porcin.
Pour se tenir au courant de tous les événements liés au secteur porcin dans le monde
Forum de discussion sur des sujets liés à la production porcine.
Dernières nouvelles de la filière porcine
Un résumé tous les 15 jours des nouveautés de 3trois3.com
Santé porcine : nouvelles et articles sur le SDRP, PCV2, biosécurité, etc., guide des maladies porcines, atlas de pathologie, cas cliniques ...
Comment réaliser une nécropsie sur un porc, étape par étape, de manière très visuelle et pratique.
Description des principales maladies et affections chez le porc
Lésions et signes des principales maladies du porc
Toutes les informations sur la peste porcine africaine (3trois3 et liens externes).
Calcule la quantité de médicament à incorporer quand on utilise une pompe doseuse
Un résumé tous les 15 jours des nouveautés de 3trois3.com
Cours du porc par pays. Production et commerce de viande. Nouvelles des marchés du porc et des matières premières.
Derniers cours des marchés du porc les plus importants. Prix historiques en différentes devises; avec des cours de change en temps réel
Dernières cotations des principales découpes de viande de porc. Historique des prix en différentes devises et au format graphique.
Données et tendances des effectifs, de la production de viande, du commerce...
Données sur la production et le commerce mondial des principales matières premières
Un résumé tous les 15 jours des nouveautés de 3trois3.com
Articles sur la nutrition et l'alimentation des porcs, caractéristiques des matières premières et des additifs et prix des matières premières.
Données sur la production et le commerce mondial des principales matières premières
Utilisez cet outil pour diagnostiquer les problèmes d'indice de consommation. Cliquez sur le diagramme ou sur les boutons dans le texte pour naviguer dans les différentes parties de l'outil.
Un résumé tous les 15 jours des nouveautés de 3trois3.com
Articles sur la génétique et la reproduction porcine : sélection génétique, génomique, insémination artificielle, utilisation d'hormones ...
Compare données de production, calcule le nombre de places pour truies, post-sevrage et engraissement et montre vos tâches en fonction de chaque type de CEB
Simulateur pour calculer les entrées de truies en démarrant un élevage, en l'agrandissant ou pour calculer le renouvellement d'un élevage en activité.
Un résumé tous les 15 jours des nouveautés de 3trois3.com
Gestion et conduite des élevages porcins et organisation du travail dans chacune des phases de production : conduite en gestation, engraissement, conduite e
Compare données de production, calcule le nombre de places pour truies, post-sevrage et engraissement et montre vos tâches en fonction de chaque type de CEB
Un résumé tous les 15 jours des nouveautés de 3trois3.com
Conception d'installations et d'équipements pour les élevages de porcs: conception des salles, climatisation, systèmes d'alimentation, etc. comparateurs d'é
Calculateur d'empreinte environnementale tout au long de la chaîne de valeur de la filière porcine
Un résumé tous les 15 jours des nouveautés de 3trois3.com
Biographie des auteurs spécialistes du porc collaborant à 3trois3,com
Diplôme et doctorat en Médecine Vétérinaire avec Mention Européenne et Prix Extraordinaire de Doctorat de l'Université de Cordoue (Espagne) en 2004 et 2009, respectivement. Il a travaillé comme chef de projets de R+D+i dans le Département de Production Primaire du Centre Technologique CICAP (Pozoblanco, Cordoue) de 2010 à 2015. Il a effectué plusieurs séjours post-doctoraux dans des centres prestigieux tels que l'Université du Surrey (Royaume-Uni), l'Institut Pasteur (France), l'Institut Peter Doherty (Australie) et l'Université de Montréal (Canada). Actuellement, il est sous contrat "Ramón y Cajal" à l'Université de Cordoue, intégré dans le groupe de recherche AGR-137 "Pathologie animale. Mécanismes pathogènes".
Curriculum actualisé : 05-Mar-2020

Après l'interprétation des lésions, il faut procéder à des prélèvements.

Le cinquième chapitre du manuel est consacré à l'examen des organes de la cavité abdominale.

La quatrième publication du manuel traite de l'examen des organes de la cavité thoracique.

Alors que les deux premiers volets ont traité de la nécropsie en décubitus latéral, ce troisième volet explique comment réaliser la nécropsie en décubitus dorsal.

Dans cette deuxième partie, nous verrons l'extraction de l'ensemble langue-trachée-poumons-cœur. Nous extrairons les organes de la cavité abdominale, tant du système digestif que de l'appareil urinaire et génital. Dans la tête, nous accéderons aux cornets nasaux, au cerveau et au cervelet.

Nous commençons une nouvelle section, coordonnée par l'équipe d'anatomie pathologique de l'Université de Cordoue, qui nous montrera, de manière très visuelle et pratique, comment réaliser une nécropsie sur un porc.

Quel est l'effet réel des pneumonies sur la performance économique de l'élevage ? Qu'y a-t-il de semblable entre une pneumonie et le stress thermique ?

M. hyopneumoniae participe à la plupart des co-infections dans les cas de complexe respiratoire porcin. Comment agit-il et quels effets a-t-il ?

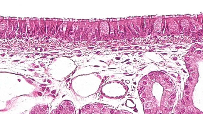
Cet article décrit les principales lésions qui caractérisent les principales pneumonies bactériennes. Bien que la plupart soient des agents opportunistes, il existe deux agents bactériens primaires qui sont capables de causer des lésions par eux-mêmes.

Quels types de cellules composent le système de défense respiratoire chez les porcs ? Comment s'organisent-elles et communiquent-elles entre elles ?

Cet article analyse les différentes lésions micro et macroscopiques causées par le virus du SDRP, le PCV2, le virus de la grippe porcine et le coronavirus respiratoire porcin.
Bienvenue sur 3trois3
Connecte-toi, échange et contacte la plus large communauté de professionnels de la filière porcine.
Nous sommes déjà 206111 Utilisateurs
inscrivez-vousDéjà membre ?



