Test disponibles:
Il peut être utile de revoir l'excellent résumé fourni dans l'article sur la grippe de Phil Gauger :

Figure 1 : Prélèvements d'échantillons pour la détection directe ou indirecte et le diagnostic du virus de l'influenza A chez les porcs. L'échantillonnage pour la détection directe doit être effectué pendant l'excrétion du virus, au début de la maladie. La détection indirecte des anticorps antigrippaux doit être effectuée après l'excrétion du virus et cible la réponse immunitaire contre l'infection.
Pathologie macroscopique

- Elle évalue la présence de lésions dans les tissus qui peuvent suggérer la présence de la maladie.
- Localisation des lésions :
- Consolidation crânio-ventrale (en particulier dans les lobes apicaux et cardiaques).

Figure 2 : Consolidation pulmonaire cranioventrale fréquente dans les infections non compliquées par le virus de la grippe A. Ces lésions sont similaires à celles causées par Mycoplasma hyopneumoniae.
- La présentation peut être diffuse et couvrir plusieurs zones du poumon.
- Un œdème interlobulaire peut être présent.

Figure 3 : Infection diffuse par influenza A avec un léger œdème interlobulaire..
- Avantages :
- La gravité des lésions peut être liée à l'importance clinique.
- Inconvénients :
- Lésions macroscopiques non diagnostiques (très similaires à Mycoplasma hyopneumoniae).
- Des infections secondaires ou des co-infections sont souvent présentes.
Histopathologie
- Évalue la présence de lésions qui peuvent confirmer la présence de la maladie.
- Type d'échantillon : tissu pulmonaire.
- Avantages :
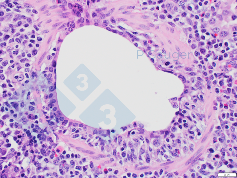
- La bronchiolite nécrosante est souvent considérée comme pathognomonique de l'infection par le virus de la grippe A chez les porcs.
-

Figure 4 : Histopathologie du poumon montrant un amincissement de l'épithélium bronchiolaire, ce qui est un exemple de nécrose (Source photo : Phil Gauger ISUVDL).
- Les lésions caractéristiques apparaissent quelques jours après élimination du virus chez les porcs, en particulier en cas de co-infections.
- Inconvénients :
- N'évalue qu'une petite quantité de tissu
- Les lésions non compliquées peuvent se résorber rapidement (5-7 jours).
Immunohistochimie (IHC)
- Détecte la présence de l'antigène viral.
- Type d'échantillon : tissu pulmonaire.
- Avantages :
- Détecte le virus sur le site de la lésion (bonne preuve de causalité).
- L'antigène cible est généralement une nucléoprotéine conservée dans tous les virus de la grippe A.
- Inconvénients :
- N'évalue qu'une petite quantité de tissu
- Le virus n'est présent que pendant une courte période (quelques jours).
- Nécessite la présence d'une quantité de virus beaucoup plus importante que la PCR
Isolement du virus
- Isolement du virus vivant.
- Types d'échantillons : tissu pulmonaire, lavage broncho-alvéolaire, écouvillons nasaux.
- Avantages :
- Critère de référence.
- Isolement du virus pour le développement de vaccins (autovaccins) ou pour des tests sérologiques (inhibition de l'hémagglutination) afin de déterminer la protection croisée.
- Inconvénients :
- Coûteux
- Résultats lents
- Nécessite des œufs de poule embryonnés ou des cellules rénales canines Madin-Darby (MDCK).
- Le processus d'inoculation est très laborieux
- Souvent difficile à cultiver (nombreux faux négatifs)
- La manipulation des échantillons entre le terrain et le laboratoire peut affecter la survie du virus.
Polymerase chain reaction (PCR)
- Détecte la présence d'une séquence d'acide nucléique (ARN) viral spécifique.
- Types d'échantillons : écouvillons nasaux, sécrétions orales, tissu pulmonaire, lavage broncho-alvéolaire.
- Avantages :
- Les amorces (primers) peuvent être conçues pour :
- La détection de tous les sous-types du virus de la grippe A - en ciblant la nucléoprotéine conservée.
- La détection de groupes de virus de sous-types spécifiques : H1, H3, N1 ou N2.
- Haute sensibilité
- Détection précoce
- La quantification par PCR est associée à la présence de lésions.
- Coût modéré
- Les échantillons d'écouvillons ou de tissus peuvent souvent être regroupés pour réduire les coûts et minimiser la perte de sensibilité (en particulier en ce qui concerne la pertinence clinique).
- Les amorces (primers) peuvent être conçues pour :
- Inconvénients
- La sensibilité élevée - en particulier dans les fluides oraux - peut permettre de détecter la présence de petites quantités de virus dans l'élevage, ce qui rend l'interprétation clinique des résultats difficile en ce qui concerne l'étendue ou la gravité de la maladie.
- Le virus n'est présent dans l'hôte que pendant quelques jours (3 à 5 jours, en particulier dans les écouvillons nasaux).
- Les échantillons de sang ou de sérum ne peuvent pas être utilisés pour les tests PCR, car le virus reste dans les poumons et n'est pas systémique.
Séquençage génétique
- Séquence les segments génétiques de l'acide nucléique (ARN) du virus.
- Types d'échantillons : tissu pulmonaire, écouvillons nasaux, lavage broncho-alvéolaire, fluides oraux.
- Avantages :
- Permet de différencier les sous-types à différents niveaux de clades.
- H1 : divisé en clades, généralement nommés à l'aide de l'alphabet grec (alpha, bêta, gamma, etc.).
- H3 : divisé en clusters généralement nommés avec des chiffres romains (I, IV, etc.).
- Un grand nombre de ces clades ou clusters pertinents sont décrits ici.
- Peut aider à différencier l'introduction de nouveaux virus des virus existants ou passés.
- Peut aider à sélectionner les souches vaccinales en fonction du sous-type/clade.
- Permet de différencier les sous-types à différents niveaux de clades.
- Inconvénients
- Coûteux
- En général, seul le gène HA est séquencé
- La variabilité entre les sous-types/clades continue de croître et devient plus complexe.
Test d'immuno-absorption enzymatique (ELISA)
- Détecte la présence d'anticorps.
- Type d'échantillon : sérum.
- Avantages :
- Les tests ELISA peuvent être conçus pour :
- la détection d'anticorps de tous les sous-types - ciblant la nucléoprotéine conservée
- la détection d'anticorps spécifiques d'un sous-type - ciblant les protéines spécifiques que sont l'hémagglutinine (appelée H ou HA) et/ou la neuraminidase (appelée N ou NA).
- Les animaux restent positifs pendant plusieurs semaines (commence à diminuer après 8-10 semaines).
- Peut être utilisé dans les cas chroniques
- Les tests ELISA peuvent être conçus pour :
- Inconvénients :
- Les anticorps spécifiques et le moment de la détection peuvent varier légèrement d'un kit commercial à l'autre.
- Il faut 10 à 14 jours pour que les animaux deviennent séropositifs.
- Ne permet pas de faire la distinction entre la vaccination et l'infection par le virus de terrain
- Ne permet pas d'identifier un sous-type de virus spécifique
Inhibition de l'hémagglutination (IH)
- Détecte la présence d'anticorps.
- Type d'échantillon : sérum.
- Avantages :
- Les animaux restent positifs pendant plusieurs semaines.
- Peut être utilisé dans les cas chroniques
- Peut être utilisé pour déterminer le moment de la vaccination afin d'éviter l'interférence des anticorps maternels.
- Peut être utilisé pour déterminer la protection croisée entre les souches.
- Inconvénients :
- Chaque test est spécifique à une souche
- Nécessite l'isolement de la souche spécifique pour évaluer la protection croisée.
- Il faut 10 à 14 jours pour que les animaux deviennent séropositifs.
- Ne permet pas de faire la distinction entre la vaccination et l'infection par le virus de terrain
Interpretation des résultats :
Pathologie macroscopique
- Positive : confirmation de la présence d'une pneumonie.
- Négative : les cas précoces peuvent ne pas présenter de lésions pulmonaires étendues.
Histopathologie
- Positive : confirmation de la maladie.
- Négative : les lésions ne sont pas détectées si l’échantillon analysé est incorrect ou si elle est effectuée longtemps après l'infection.
IHC
- Positive : le virus est présent sur le site de la lésion.
- Négatif : Négatif ou le virus n'est pas détecté si le test est effectué trop longtemps après l'infection ou si la concentration de virus est trop faible (présent seulement pendant une courte période).
Isolement du virus

- Positif : confirmation de la maladie.
- Négatif : le virus n'est pas détecté si le test est effectué trop longtemps après l'infection ou s'il ne peut tout simplement pas se développer en raison d'une autre contamination ou d'une mauvaise manipulation (présent mais très difficile à cultiver).
PCR
- Positive : confirmation de la maladie.
- Négative : le virus n'est pas détecté si le test est effectué longtemps après l'infection ou en raison d'une sélection ou d'une manipulation incorrecte de l'échantillon.
- Non concluant : Trop peu de virus présent ou co-infection avec plus d'un sous-type.
Séquençage génétique
- Permet d'identifier le sous-type et le clade du virus.
- Permet d'ajuster la souche vaccinale pour une meilleure protection.
ELISA
- Positif : anticorps maternels ou exposition antérieure (> 2 semaines) au vaccin ou au virus de terrain.
- Négatif :
- Négatif au vaccin ou au virus de terrain.
- Infection trop récente pour être détectée (10-14 jours pour la séroconversion).
- Incompatibilité entre le test et le virus (sous-type ou clade)
HI
- Positif : anticorps maternels ou exposition antérieure (> 2 semaines) au vaccin ou au virus de terrain.
- Négatif :
- Négatif au vaccin ou au virus de terrain.
- Infection trop récente pour être détectée (10-14 jours pour la séroconversion)
- Incompatibilité (sous-type ou clade) entre le virus utilisé dans le test et le virus infectant le porc.
Scénarios :
Porcs charcutiers présentant des éternuements et des signes respiratoires (aigus ou chroniques) :
- Prélever 2 à 4 échantillons de fluides oraux dans le groupe et les analyser par PCR.
- Prélever 12 écouvillons nasaux sur des porcs infectés présentant des signes cliniques (écoulement nasal clair), constituer 3 pools de 4 échantillons chacun et les analyser par PCR.
- Séquencer un échantillon PCR positif pour mieux déterminer le cluster/clade.
Détermination du moment de l'exposition et de la nécessité éventuelle d'une vaccination :
- Prélever des échantillons sur 10 à 15 porcs âgés de 3, 6, 9 et 12 semaines.
- Deux approches sont possibles :
- Transversale - prélever des échantillons dans différents groupes d'âge en même temps (résultats obtenus plus rapidement).
- Longitudinale - prélèvement sur les mêmes porcs au fil du temps (résultats plus précis).
- Analyse des échantillons de sérum par ELISA.
- Prélever 2 à 4 échantillons de fluides oraux du groupe et les analyser par PCR.
- Séquencer un échantillon PCR positif de chaque groupe d'âge pour mieux déterminer le cluster/clade.















