Diagnóstico clínico, epidemiológico y post-mortem
En cerdos con diarrea el diagnóstico inicial se basa principalmente en el cuadro clínico, que normalmente se caracteriza por enfermedad entérica causada por E. coli. Esto incluye la edad del lechón, las circunstancias de aparición de la enfermedad y manifestaciones tales como material fecal alrededor del perineo, diarrea, deshidratación y muerte. Se puede realizar un diagnóstico presuntivo mediante la observación de un pH alcalino fecal debido a la presencia de fluido de diarrea secretora. Son pocos los cambios patológicos específicos que pueden atribuirse a la enfermedad entérica causada por E. coli.

El olor característico del contenido del intestino delgado durante la necropsia es útil en el diagnóstico de la diarrea post-destete causada por E. coli.
Si se puede, es preferible realizar la necropsia de uno o más cerdos afectados, justo después de la eutanasia para minimizar los efectos de la autolisis (figura 1).

Figura 1. Cerdo destetado con diarrea enviado para un examen post-mortem. El intestino delgado está distendido,
con gas y líquido, y presenta algunas otras lesiones macroscópicas específicas.
Al interpretar las lesiones macroscópicas del intestino hay que tener en cuenta si éste proviene de cerdos muertos o eutanasiados. La presencia histopatológica de bacterias Gram-negativas, normalmente muy adheridas a la mucosa del intestino delgado, es un indicio sólido de la diarrea ha sido causada por ETEC.
Diagnóstico diferencial
El diagnóstico diferencial de diarrea post-destete y enfermedad entérica causadas por la infección por E. coli, complicada por shock incluiría salmonelosis y gastroenteritis transmisible, particularmente cuando la tasa de mortalidad es alta y en cerdos de más edad.
Identificación de E. coli patógena
La morfología, la fermentación de lactosa en agar MacConkey y el olor de las colonias son una primera indicación de la identidad de las bacterias implicadas en la infección.
Las colonias de cepas de ETEC positivas a F4 (K88) y F18 son casi siempre hemolíticas en agar sangre. Por lo tanto, la presencia de colonias hemolíticas a menudo se utiliza como medio rápido para diagnosticar E. coli patógena como agente causante.
No obstante, se debe tener en cuenta que cada vez estamos encontrando más y más ETEC no hemolítica positiva a F4 (K88) en el laboratorio de referencia para E coli de la universidad de Montreal. Además, el diagnóstico basado únicamente en la presencia de colonias hemolíticas no discriminaría entre ETEC F4 y F18 y STEC F18, cosa que puede tener mucha importancia a la hora de aplicar estrategias de prevención, como la vacunación.

La virotipificación, o determinación de factores de virulencia, es la manera más definitiva para identificar E. coli patógena.
La aglutinación en placa, con o sin partículas de látex, es un método simple y fácil para determinar la presencia de E. coli productora de F4, pero no útil para F18 que se expresa poco en medios de cultivo.
Desde que se ha relacionado un pequeño número de grupos O específicos con enfermedad entérica, en algunos laboratorios se identifica E. coli patógena mediante serotipificación. No obstante, no todos los aislados de un serogrupo determinado son patógenos y esta aproximación es más útil para estudios epidemiológicos.
Como que E. coli crece de manera rápida y fácil en condiciones de cultivo normales, realizar una PCR a partir de bacterias cultivadas puede ser un modo sencillo, sensible y económico para detectar la presencia de E. coli patógena en las muestras.
Puede utilizarse la amplificación por PCR multiplex para detectar los genes que codifican para las fimbrias y enterotoxinas de ETEC, relacionadas con la diarrea post-destete.
Tratamiento de la diarrea post-destete
La diarrea post-destete requiere un tratamiento con electrolitos y antimicrobianos que se puede administrar inicialmente por vía oral o parenteral. Los cerdos enfermos comen y beben muy poco, aunque permanezcan cerca del comedero o bebedero.
Posteriormente, los antimicrobianos se pueden añadir al alimento o al agua. Se deben seleccionar antimicrobianos que alcancen el lumen intestinal, como amoxicilina/ácido clavulánico, fluoroquinolonas, cefalosporinas, apramicina, ceftiofur, neomicina o trimetoprim.
Control de la diarrea post-destete
Consiste en la reducción de los niveles de E. coli patógena y el mantenimiento de un ambiente adecuado para el bienestar de los cerdos. Deben abordarse los factores de manejo que predisponen a los lechones a la diarrea post-destete.
- Es útil aumentar la edad o peso al destete.
- La temperatura del corral de destete debe comenzar en 28-32°C, minimizando los cambios de temperatura y corrientes de aire. Deben disponer de una alimentación de buena calidad, especialmente en lechones destetados a una edad más avanzada.
- Las dietas de destete deben ser de alta digestibilidad, no contener grandes cantidades de harina de soja y basarse en proteínas de la leche. Aunque esto último sería lo ideal puede que no sea posible económicamente.
- La ingesta restringida de alimento, las dietas altas en fibra y la alimentación ad libitum de fibra se han descrito como medidas eficaces preventivas frente al desarrollo de diarrea post-destete y enfermedad de los edemas.
- Se debe mantener una buena higiene, con la eliminación diaria de heces y la limpieza y desinfección meticulosa de los corrales entre lotes.
Varias estrategias pueden contribuir a reducir el aumento de E. coli patógena en el intestino después del destete.
Frecuentemente se usan antimicrobianos profilácticos, pero deben evitarse debido al alarmante aumento de resistencias tras su uso.
En la actualidad, en muchos países se practica una medicación preventiva en el alimento en la mayoría de explotaciones afectadas. La resistencia antimicrobiana a menudo se induce a los pocos días o semanas. Además de las clases de antimicrobianos mencionados anteriormente para el tratamiento parenteral, extensamente se utilizan varios aminoglicósidos y la colistina.
La incorporación de ácidos orgánicos al suministro de agua o a las dietas de destete puede reducir la acidez gástrica y minimizar la supervivencia de las E. coli ingeridas.
La suplementación de la dieta con Óxido de Zinc (ZnO) controla de forma eficaz la diarrea post-destete en cerdos, pero no parece afectar a la colonización bacteriana del intestino ya que la excreción fecal es constante.
La alimentación con una dieta basada en plasma porcino secado en spray puede mejorar la ganancia de peso y disminuir la frecuencia de la diarrea en cerdos destetados a una edad temprana.
La modificación del alimento mediante la incorporación de fibras solubles parece ser eficaz.
La administración de un cultivo bacteriano probiótico de Lactobacillus parece inhibir la adhesión de la cepa ETEC. No obstante, muchas de estas medidas tienden a retrasar la aparición de la diarrea post-destete en lugar de prevenirla completamente.

Estrategias para incrementar la resistencia de cerdos a la infección
Selección de cerdos resistentes
Este enfoque de prevención promete ser eficaz y económico a largo plazo al aumentar la presencia de locus resistentes a F4 y F18 en la población porcina.
Vacunación
La inmunidad frente a infecciones de E. coli entéricas es humoral (anticuerpos) e inicialmente la proporciona el calostro materno, los anticuerpos lactogénicos de la leche de la cerda, y posteriormente la respuesta inmunológica intestinal local. Los anticuerpos específicos inhiben la adherencia bacteriana a los receptores en las células epiteliales intestinales y neutralizan la actividad de las enterotoxinas o citotoxinas producidas por E. coli.
La inmunización materna para la diarrea ETEC neonatal no es eficaz para el control de la diarrea post-destete.
La vacunación de lechones antes o en el momento del destete mediante administración oral, normalmente en el agua de bebida, de cepas de E. coli positivas a F4 (K88) o F18 vivas atenuadas o no toxigénicas protege de forma eficaz a los cerdos contra la infección (figura 2).

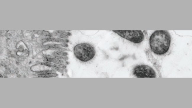
Figura 2. La administración en el agua de bebida de una cepa de E. coli positiva a F4 viva no toxigénica produce una estimulación de la producción de anticuerpos F4 específicos de la mucosa local que bloquea la adherencia bacteriana a las células epiteliales de la mucosa intestinal.
Tabla 1. Estrategias comúnmente utilizadas para el control de las infecciones por E. coli.
| Estrategias que terminan... | ||
| ... reduciendo el número de E. coli patógena | ... aumentando la resistencia de los animales a la infección | |
| Diarrea pre-destete | • Calor • Higiene • Diseño de puertas y suelos • Cuarentena • Todo dentro/Todo fuera • Parto |
• Vacunación materna • F4, F5, F6, F41 • Cerdo hiperinmune • γ-globulina |
| Diarrea post-destete y enfermedad de los edemas | • Aumento de la edad de destete • Calor • Dieta • Alta digestibilidad • Proteína basada en la leche • Ingestión restringida de alimento • Higiene • Aditivos en el agua • Ácidos orgánicos • Suplementos alimentarios • Ácidos orgánicos • ZnO • Plasma porcino secado en spray • Probióticos |
• Vacunas orales de E. coli F4 y F8 viva no toxigénica • Yema de huevo en polvo de gallinas inmunizadas a F4 y F18 por vía oral • Vacuna toxoide Stx (enfermedad de los edemas) • Selección de animales resistentes a F4 y F18 |




