X
XLinkedinWhatsAppTelegramTelegram
0
Lee este artículo en:

Diagnóstico: Introducción

En caso de diarrea, la necropsia deberá realizarse entre 1-2 horas después de la muerte

30 noviembre 1999
X
XLinkedinWhatsAppTelegramTelegram
0

Es importante obtener un diagnóstico sobre la causa de una diarrea o de los problemas de crecimiento detectados en un grupo de cerdos. Se deben extraer muestras de los animales que creemos afectados y remitirlas a un laboratorio de diagnóstico veterinario para su análisis. En el caso de la ileítis, esto significa la extracción de muestras de sangre para analizar la presencia en el suero de anticuerpos específicos contra Lawsonia intracellularis. Las muestra fecales, por el contrario, se toman preferentemente para detectar la bacteria mediante tinción o bien la presencia de su ADN (Lawsonia intracellularis no puede cultivarse de forma sistemática a partir de las heces). Los cerdos enfermos deben ser objeto de una necropsia inmediatamente después de que sean sacrificados para comprobar las lesiones morfológicas características de la ileítis. Al mismo tiempo, estas muestras deben ser analizadas para descartar otras posibles causas de diarrea. Una vez confirmado el diagnóstico, puede emprenderse la vacunación u otros métodos de gestión en la granja porcina para remediar el problema.

Examen de los intestinos en la necropsia: qué se debe buscar



Las necropsias son importantes para diagnosticar o verificar las infecciones de Lawsonia intracellularis o poder realizar un diagnóstico diferencial en el caso de que los causantes de la enfermedad sean otros patógenos entéricos. En caso de diarrea, la necropsia deberá realizarse entre 1-2 horas después de la muerte. Una necropsia realizada más allá de este plazo podría suponer una pérdida de tiempo debido al inicio prematuro de la autólisis. El intestino delgado se encuentra en la zona dorsal derecha del abdomen y se extiende hasta la zona ventral del abdomen. El intestino grueso se encuentra en el abdomen medio, con el extremo romo del intestino ciego situado con frecuencia sobre la zona ventral del abdomen, cerca del ombligo. El intestino ciego se extiende a lo largo del flanco izquierdo del cerdo. El colon forma tres espirales dobles en el mesenterio ventral.

Después de abrir el abdomen del cerdo muerto, el primer paso es palpar la raíz del mesenterio en busca de indicios de vólvulo intestinal. Los vólvulos o torsiones intestinales son frecuentes, importantes y habitualmente resultan mortales en cerdos de engorde y cerdos adultos. En ocasiones reciben el nombre de “síndrome intestinal hemorrágico”, aunque en esta afección no se encuentre implicada una respuesta inflamatoria. El enrojecimiento intenso de las asas intestinales involucradas en la torsión es el resultado de la congestión pasiva. Con el cerdo recostado sobre su flanco izquierdo y las patas orientadas hacia la persona que va a realizar la necropsia, se desliza la mano izquierda, girada hacia arriba, bajo el borde caudal de la raíz del mesenterio, que normalmente forma una superficie plana y lisa. Si existe torsión del mesenterio, la raíz mesentérica tiene un tacto duro y rugoso; la palpación permite saber la dirección y magnitud de la torsión (fig. 1a-b). Es posible la aparición de una torsión post mortem pero en ese caso no se observa congestión o vascularización del mesenterio.

Figura 1a: Situs de un cerdo fallecido a consecuencia de una torsión del colon. El desplazamiento del intestino grueso ha producido una hemorragia grave en la luz intestinal a consecuencia de la congestión venosa.
Figura 1b: Pared lavada del segmento de intestino grueso afectado por la torsión del colon. Puede verse el coágulo de sangre en la luz intestinal, pero no una respuesta inflamatoria o proliferativa.

Figura 2: placas de Peyer en un asa del intestino delgado dilatada y llena de sangre, a 450 cm del píloro. Este cerdo de engorde se desangró a consecuencia de una hemorragia provocada por una úlcera gástrica.

Tras extraer el intestino del cuerpo y separarlo del mesenterio, se extiende totalmente sobre la mesa, se abre y se examina cuidadosamente la superficie de la mucosa y su contenido. A lo largo del intestino grueso y delgado pueden observarse nódulos linfáticos agregados (placas de Peyer). Estas placas son visibles habitualmente en la superficie serosa como zonas pálidas, circunscritas, con un ligero relieve, en posición opuesta a la fijación del mesenterio (fig. 2).

La amplia franja continua de placas de Peyer presente en la porción terminal del íleon puede conferir al íleon contraído una apariencia engrosada, aún cuando éste sea normal. Las placas de Peyer dan pie a un engrosamiento apreciable de la mucosa alrededor del orificio ileocólico. La abertura mide habitualmente 2 cm de diámetro y abre el paso hacia el ciego y el colon. Algunas veces tiene forma de trípode y presenta una superficie en relieve y marcada.

El intestino delgado, cuando se encuentra contraído y vacío, presenta un color blanquecino o beige. La congestión fisiológica (sobre todo si el cerdo ha comido) da lugar a tonalidades que van desde el rosa al rojo oscuro. El color del contenido intestinal puede ser blanquecino, rojo claro u oscuro, en ocasiones parduzco, amarillento o verdoso, y puede conferir al intestino un aspecto engañoso, especialmente cuando el intestino delgado se distiende y su pared se vuelve menos gruesa tras varias horas desde la muerte. La bilis tiñe el contenido del duodeno y del yeyuno de un color amarillento o verdoso. El contenido luminal muestra una consistencia que varía de aguada a pastosa y el intestino delgado inferior alberga normalmente partículas de alimento. El contenido del intestino grueso varía en función del alimento del cerdo, pero en general el contenido del ciego y del colon proximal consiste en materia blanda, informe, arenosa, marrón-gris o beige. El color beige del contenido intestinal se observa normalmente en cerdos criados en libertad y los alimentados con piensos elaborados (mezclados) en las propias explotaciones. Muchos piensos porcinos preparados presentan un gran exceso de hierro, de hasta 200 mg por kg de alimento, circunstancia que puede alterar el color del contenido intestinal, que adquiere una tonalidad oscura o pardusca.

Examen histopatológico e inmunohistopatológico (inmunohistoquímico, IHQ)



Las muestras de tejido intestinal destinadas al examen histopatológico/IHQ, se fijan sumergiéndolas en una solución tampón de formol y se incluyen en un medio para poder realizar los cortes histológicos (por lo general paraplast). Para la localización de las muestras, ver la figura 3.

Figura 3: Puntos de muestreo para el análisis histopatológico, inmunohistoquímico y PCR. Tomar muestras para la PCR y los análisis de histopatología/IHQ 10 cm por delante del orificio ileocólico (nº 1), a 5 cm de la base del ciego (nº 2) y a 10 cm del colon proximal superior (nº 3). Colocar las muestras destinadas al análisis histopatológico en el recipiente con formaldehído evitando cualquier daño a la superficie de la mucosa, muy sensible. Usar tres envases de plástico independientes para las muestras de tejido destinadas a la PCR, que deberán colocarse en hielo inmediatamente. Comprobar que todos los envases están rotulados con tinta indeleble indicando el número del animal y el punto de muestreo/origen del tejido.

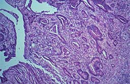
Desde una perspectiva histopatológica, los efectos de las infecciones causadas por Lawsonia intracellularis pueden variar, pero el rasgo común a todas ellas es el siguiente: en el intestino delgado las vellosidades se atrofian o desaparecen totalmente y el epitelio superficial muestra un aspecto cúbico o aplanado. Los vasos linfáticos pueden estar dilatados. La mucosa aparece engrosada por las criptas proliferativas, tanto en el ciego como en el colon. Pueden observarse cuatro o cinco capas de células epiteliales teñidas intensamente y pocas o ninguna célula caliciforme. La tasa de mitosis en las criptas es elevada y en la luz de algunas de ellas se observa acumulación de residuos celulares (fig. 4a). En comparación con una mucosa no infectada (fig. 4b), existe una respuesta inflamatoria de leve a moderada en la lámina propia, que en ocasiones puede extenderse a capas más profundas.

Figura 4a: íleon de cerdo afectado por adenomatosis intestinal porcina: vellosidades intestinales atrofiadas cubiertas con células epiteliales cúbicas o planas, edema subepitelial y criptas proliferativas. Se observan dos o tres capas de células epiteliales en las criptas, pérdida de células caliciformes, número elevado de células en mitosis y de células intraepiteliales, y una reacción inflamatoria de leve a moderada en la lámina propia (~125x).
Figura 4b: íleon de un cerdo de engorde sano con una formación regular de vellosidades y criptas intestinales que contienen un buen número de células caliciformes (125x).

Figura 5: íleon de cerdo con enteritis necrótica. Se observan las criptas proliferativas, ramificadas e irregulares, algunas de ellas contienen residuos celulares y presentan necrosis en su superficie (125x).

En etapas más avanzadas de la enteritis necrótica grave, las criptas muestran ramificaciones e irregularidades evidentes, además de una grave necrosis en su superficie (fig. 5).

Lawsonia intracellularis no puede detectarse mediante la tinción con hematoxilina-eosina. En cambio, las técnicas inmunohistoquímicas permiten detectar la bacteria mediante una reacción específica del microorganismo. Lawsonia puede detectarse en la mayor parte de los casos en la cara luminal de las células de la cripta infectada, y ocasionalmente se encuentra presente en los macrófagos de la lámina propia (fig. 6a). Observada la muestra a un mayor número de aumentos, pueden verse numerosos linfocitos intraepiteliales y algunas células reconocibles en proceso de apoptosis (fig. 6b).

Esta útil demostración del agente etiológico no fue posible hasta que aparecieron los anticuerpos monoclonales. Lawsonia intracellularis aparece teñida de negro cuando se emplea una tinción de plata (Warthin/Starry).

Figura 6a: tinción IHQ (inmunoperoxidasa) de un corte histológico de íleon afectado por adenomatosis intestinal porcina; pueden verse las bacterias teñidas de color marrón oscuro en los enterocitos de las criptas y en los macrófagos de la lámina propia (250x).
Figura 6b: fotografía 15 observada a un mayor número de aumentos: Lawsonia intracellularis aparece predominantemente en el interior de los enterocitos de la cripta, en la cara luminal (500x).

Comentarios del artículo

Este espacio no está orientado a ser una zona de consultas a los autores de los artículos sino que pretende ser un lugar de discusión abierto a todos los usuarios de 3tres3
Publica un nuevo comentario

Para comentar debes registrarte en 3tres3 y acceder como usuario.

No estás suscrito a la lista Noticias del sector porcino

Boletín de noticias sobre el mundo del porcino

Accede y apúntate a la lista

No estás suscrito a la lista La web en 3 minutos

Un resumen semanal de las novedades de 3tres3 México

Accede y apúntate a la lista