
Efecto del entorno en el desarrollo del sistema inmunitario de los lechones
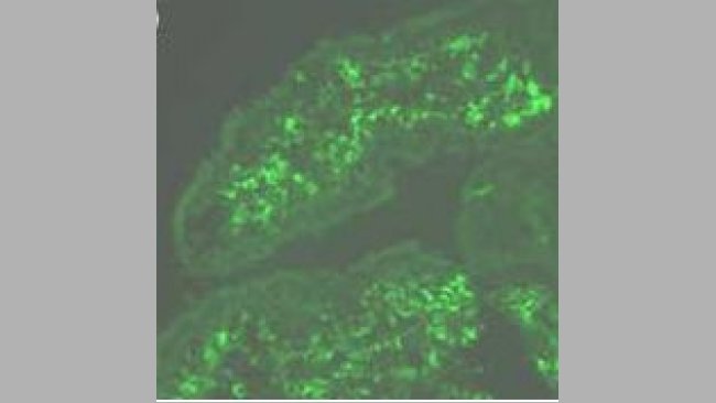
Para explicar parte de la diarrea post-destete se ha estudiado el desarrollo del sistema inmunitario intestinal.
Noticias, eventos y reportajes de actualidad del sector porcino
Los eventos del sector porcino que se organizan en todo el mundo
Un resumen semanal de las novedades de 3tres3 Argentina
Boletín de noticias sobre el mundo del porcino
La salud del cerdo: noticias y artículos sobre Mycoplasma, APP, bioseguridad, guía de enfermedades del cerdo, atlas de patología, casos clínicos...
Cómo realizar una necropsia en un cerdo, paso a paso, de una forma muy visual y práctica.
Biocheck.UGent es un sistema de puntuación científico independiente, basado en riesgos, para evaluar la calidad de su bioseguridad en la granja.
Toda la información sobre PPA: cómo reconocer la enfermedad, cómo se transmiste, imágenes de lesiones, últimas noticias, guías,...
Descripción de las enfermedades y afecciones más importantes en porcino
Lesiones y signos de las principales enfermedades porcinas
Herramienta para diagnosticar enfermedades del porcino
Un diccionario sobre terminología específica del sector porcino
Calcula la cantidad de medicamento a incorporar en el agua cuando usamos un dosificador de flujo
Un resumen semanal de las novedades de 3tres3 Argentina
Precios del cerdo por países. Producción y comercio de carne de cerdo. Noticias del mercado del cerdo y las materias primas
Últimas cotizaciones de los mercados mundiales más importantes del porcino. Históricos de precios en diversas monedas y en formato gráfico.
Últimas cotizaciones de las principales materias primas para alimentación de cerdos. Históricos, precio del cerdo y estimación del precio del alimento.
Datos de censos, producción, exportación e importación de carne, economía del sector, número de granjas, etc.
Datos de producción y comercio mundial de las principales materias primas, como maíz, soja, trigo, cebada, etc.
Un resumen semanal de las novedades de 3tres3 Argentina
Información semanal del precio del cerdo y las materias primas
Artículos sobre nutrición y alimentación de cerdos, características de las materias primas y aditivos para cerdos y precios de las materias primas
Últimas cotizaciones de las principales materias primas para alimentación de cerdos. Históricos, precio del cerdo y estimación del precio del alimento.
Datos de producción y comercio mundial de las principales materias primas, como maíz, soja, trigo, cebada, etc.
Fichas técnicas de las principales materias primas y aditivos. Incluyen información de valores nutricionales, producción y comercio, estudios recientes, ...
Un diccionario sobre terminología específica del sector porcino
Utiliza esta herramienta para diagnosticar problemas con el índice de conversión. Haz clic en el diagrama de flujo o en los botones dentro del texto para navegar por las distintas partes de la herramienta.
Un resumen semanal de las novedades de 3tres3 Argentina
Artículos sobre genética y reproducción en el cerdo: selección genética, genómica, inseminación artificial, uso de hormonas, gestación y parto
Compara los datos productivos, calcula el número de plazas para cerdas, transición y cebo y visualiza tus tareas sobre el calendario según cada tipo de MEB.
Calcula las entradas de cerdas necesarias en una granja activa, una granja que inicia la actividad o una granja que amplía
Herramienta para comparar los datos reproductivos de tu granja con la base de datos BDporc y ver la evolución de los parámetros reproductivos de BDporc
Un diccionario sobre terminología específica del sector porcino
Utiliza esta herramienta para investigar porque tu tasa de partos es inferior a la ideal. Haz clic en el diagrama de flujo o en los botones dentro del texto para navegar por las distintas partes de la herramienta.
Un resumen semanal de las novedades de 3tres3 Argentina
Manejo y gestión de las granjas de cerdos y del trabajo en cada fase de producción: manejo en gestación, cebo, manejo en bandas, destete, bioseguridad
Compara los datos productivos, calcula el número de plazas para cerdas, transición y cebo y visualiza tus tareas sobre el calendario según cada tipo de MEB.
Calcula las entradas de cerdas necesarias en una granja activa, una granja que inicia la actividad o una granja que amplía
Herramienta para comparar los datos reproductivos de tu granja con la base de datos BDporc y ver la evolución de los parámetros reproductivos de BDporc
Cómo comparar diversos objetos o juguetes usados como material de enriquecimiento ambiental para prevenir el estrés y las mordeduras de cola en cerdos.
Un diccionario sobre terminología específica del sector porcino
Un resumen semanal de las novedades de 3tres3 Argentina
Diseño de instalaciones y equipos para granjas de cerdos: diseño de naves, climatización de galpones, sistemas de alimentación, etc.
Biocheck.UGent es un sistema de puntuación científico independiente, basado en riesgos, para evaluar la calidad de su bioseguridad en la granja.
Calculadora de la Huella Ambiental a lo largo de la cadena de valor del sector porcino
¿Qué comedero se adapta mejor a mis necesidades? Aquí puedes comparar las características de diversos comederos comerciales.
¿Qué bebedero se adapta mejor a mis necesidades? Cómo comparar las características de diversos bebederos para cerdos o lechones destetados
Un diccionario sobre terminología específica del sector porcino
Utiliza esta herramienta para investigar que estrategia de gestión de purines se adapta mejor a tu situación. Haz clic en el diagrama de flujo o en los botones dentro del texto para navegar por las distintas partes de la herramienta.
Un resumen semanal de las novedades de 3tres3 Argentina
Aquí encontrarás los autores especialistas en porcino que colaboran en 3tres3.com con información de su curriculum

Para explicar parte de la diarrea post-destete se ha estudiado el desarrollo del sistema inmunitario intestinal.
Un resumen semanal de las novedades de 3tres3 Argentina
Accede y apúntate a la lista
Bienvenido a 3tres3
Conecta, comparte y relaciónate con la mayor comunidad de profesionales del sector porcino.
¡Ya somos 204858 Usuarios!
Regístrate¿Ya eres miembro?




