
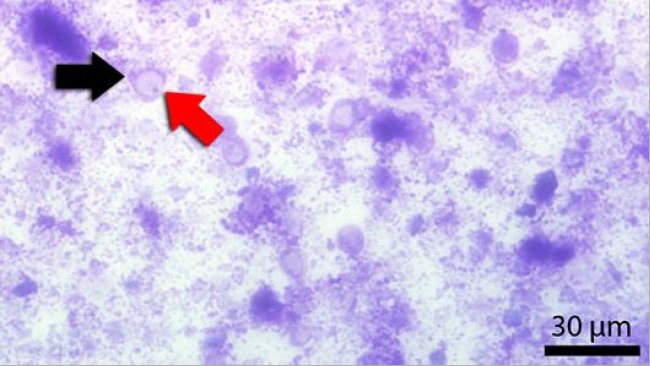
Caso clínico: Blastocystis sp.: ¿tenemos que considerarlo un nuevo enteropatógeno?
No se encontró ningún enteropatógeno en una cantidad clínicamente relevante, por lo que la masiva infestación de Blastocystis sp. se consideró significativa en este caso.




