
Manual de necropsia: Toma de muestras y envío al laboratorio
Tras la interpretación de las lesiones, debemos proceder a la toma de muestras.
Noticias, eventos y reportajes de actualidad del sector porcino
Los eventos del sector porcino que se organizan en todo el mundo
Un resumen semanal de las novedades de 3tres3 Argentina
Boletín de noticias sobre el mundo del porcino
La salud del cerdo: noticias y artículos sobre Mycoplasma, APP, bioseguridad, guía de enfermedades del cerdo, atlas de patología, casos clínicos...
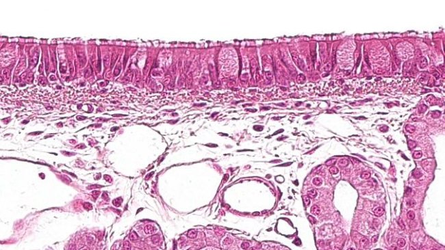
Cómo realizar una necropsia en un cerdo, paso a paso, de una forma muy visual y práctica.
Biocheck.UGent es un sistema de puntuación científico independiente, basado en riesgos, para evaluar la calidad de su bioseguridad en la granja.
Toda la información sobre PPA: cómo reconocer la enfermedad, cómo se transmiste, imágenes de lesiones, últimas noticias, guías,...
Descripción de las enfermedades y afecciones más importantes en porcino
Lesiones y signos de las principales enfermedades porcinas
Herramienta para diagnosticar enfermedades del porcino
Un diccionario sobre terminología específica del sector porcino
Calcula la cantidad de medicamento a incorporar en el agua cuando usamos un dosificador de flujo
Un resumen semanal de las novedades de 3tres3 Argentina
Precios del cerdo por países. Producción y comercio de carne de cerdo. Noticias del mercado del cerdo y las materias primas
Últimas cotizaciones de los mercados mundiales más importantes del porcino. Históricos de precios en diversas monedas y en formato gráfico.
Últimas cotizaciones de las principales materias primas para alimentación de cerdos. Históricos, precio del cerdo y estimación del precio del alimento.
Datos de censos, producción, exportación e importación de carne, economía del sector, número de granjas, etc.
Datos de producción y comercio mundial de las principales materias primas, como maíz, soja, trigo, cebada, etc.
Un resumen semanal de las novedades de 3tres3 Argentina
Información semanal del precio del cerdo y las materias primas
Artículos sobre nutrición y alimentación de cerdos, características de las materias primas y aditivos para cerdos y precios de las materias primas
Últimas cotizaciones de las principales materias primas para alimentación de cerdos. Históricos, precio del cerdo y estimación del precio del alimento.
Datos de producción y comercio mundial de las principales materias primas, como maíz, soja, trigo, cebada, etc.
Fichas técnicas de las principales materias primas y aditivos. Incluyen información de valores nutricionales, producción y comercio, estudios recientes, ...
Un diccionario sobre terminología específica del sector porcino
Utiliza esta herramienta para diagnosticar problemas con el índice de conversión. Haz clic en el diagrama de flujo o en los botones dentro del texto para navegar por las distintas partes de la herramienta.
Un resumen semanal de las novedades de 3tres3 Argentina
Artículos sobre genética y reproducción en el cerdo: selección genética, genómica, inseminación artificial, uso de hormonas, gestación y parto
Compara los datos productivos, calcula el número de plazas para cerdas, transición y cebo y visualiza tus tareas sobre el calendario según cada tipo de MEB.
Calcula las entradas de cerdas necesarias en una granja activa, una granja que inicia la actividad o una granja que amplía
Herramienta para comparar los datos reproductivos de tu granja con la base de datos BDporc y ver la evolución de los parámetros reproductivos de BDporc
Un diccionario sobre terminología específica del sector porcino
Utiliza esta herramienta para investigar porque tu tasa de partos es inferior a la ideal. Haz clic en el diagrama de flujo o en los botones dentro del texto para navegar por las distintas partes de la herramienta.
Un resumen semanal de las novedades de 3tres3 Argentina
Manejo y gestión de las granjas de cerdos y del trabajo en cada fase de producción: manejo en gestación, cebo, manejo en bandas, destete, bioseguridad
Compara los datos productivos, calcula el número de plazas para cerdas, transición y cebo y visualiza tus tareas sobre el calendario según cada tipo de MEB.
Calcula las entradas de cerdas necesarias en una granja activa, una granja que inicia la actividad o una granja que amplía
Herramienta para comparar los datos reproductivos de tu granja con la base de datos BDporc y ver la evolución de los parámetros reproductivos de BDporc
Cómo comparar diversos objetos o juguetes usados como material de enriquecimiento ambiental para prevenir el estrés y las mordeduras de cola en cerdos.
Un diccionario sobre terminología específica del sector porcino
Un resumen semanal de las novedades de 3tres3 Argentina
Diseño de instalaciones y equipos para granjas de cerdos: diseño de naves, climatización de galpones, sistemas de alimentación, etc.
Biocheck.UGent es un sistema de puntuación científico independiente, basado en riesgos, para evaluar la calidad de su bioseguridad en la granja.
Calculadora de la Huella Ambiental a lo largo de la cadena de valor del sector porcino
¿Qué comedero se adapta mejor a mis necesidades? Aquí puedes comparar las características de diversos comederos comerciales.
¿Qué bebedero se adapta mejor a mis necesidades? Cómo comparar las características de diversos bebederos para cerdos o lechones destetados
Un diccionario sobre terminología específica del sector porcino
Utiliza esta herramienta para investigar que estrategia de gestión de purines se adapta mejor a tu situación. Haz clic en el diagrama de flujo o en los botones dentro del texto para navegar por las distintas partes de la herramienta.
Un resumen semanal de las novedades de 3tres3 Argentina
Aquí encontrarás los autores especialistas en porcino que colaboran en 3tres3.com con información de su curriculum
Licenciado en Veterinaria por la Universidad de Murcia en 1993. Doctor en Veterinaria por la Universidad de Murcia en 1999. Diplomado del European College of Porcine Health and Management (ECPHM) desde 2006. Ha trabajado en la empresa ganadera porcina CEFUSA (perteneciente al grupo Fuertes) desde 1994 hasta el año 2000. Ha realizado sus estudios post-doctorales en el Veterinary Diagnostic Laboratory de Iowa State University (Estados Unidos). Desde el año 2000 al 2020 ha sido profesor de la Facultad de Veterinaria de la Universidad de Murcia. En la actualidad es Catedrático del Departamento de Anatomía y Anatomía Patológica Comparadas y Toxicología de la Universidad de Córdoba e imparte clase en la Facultad de Veterinaria de dicha universidad.
Curriculum actualizado: 19-dic-2023

Tras la interpretación de las lesiones, debemos proceder a la toma de muestras.

En la quinta entrega del manual abordamos el examen de los órganos de la cavidad abdominal.

En la cuarta entrega del manual abordamos el examen de los órganos de la cavidad torácica.

Mientras que en las dos primeras entregas hemos abordado la necropsia en decúbito lateral, en esta tercera entrega explicaremos como hacer la necropsia en decúbito supino.

En esta segunda entrega vemos la extracción del conjunto lengua-tráquea-pulmones-corazón. Extraeremos los órganos de la cavidad abdominal, tanto del sistema digestivo como del aparato urinario y genital. En la cabeza accederemos a los cornetes nasales y el cerebro y cerebelo.

Empezamos una nueva sección, coordinada por el equipo de anatomía patológica de la Universidad de Córdoba, que nos mostrará, de una forma muy visual y práctica, como llevar a cabo una necropsia en un cerdo.

En este segundo articulo Antonio Vela, Francisco José Pallarés y David Espigares nos responden a preguntas sobre diagnóstico, monitorización y erradicación de la pleuroneumonía causada por Actinobacillus pleuropneumoniae (App).

Preguntamos a Antonio Vela, Francisco José Pallarés y David Espigares sobre la pleuroneumonía causada por Actinobacillus pleuropneumoniae (App). En este primer artículo hablaremos sobre la evolución y el control de la enfermedad.

¿Cuál es el efecto real de las neumonías sobre el rendimiento económico de la explotación? ¿qué parecido hay entre una neumonía y el estrés por calor?

M. hyopneumoniae participa en la mayoría de las coinfecciones en casos del complejo respiratorio porcino. ¿Cómo actúa y qué efectos tiene?

Este artículo describe las principales lesiones que caracterizan las principales neumonías bacterianas. Aunque la mayoría son agentes oportunistas, hay dos agentes bacterianos primarios que son capaces de causar lesiones por sí mismos.

Este artículo analiza las distintas lesiones micro y macroscópicas causadas por los virus de PRRS, PCV2, el virus de la gripe porcina y el coronavirus respiratorio porcino.

¿Qué tipo de células forman el sistema de defensa respiratorio en los cerdos? ¿Cómo se organizan y se comunican entre sí?
Un resumen semanal de las novedades de 3tres3 Argentina
Accede y apúntate a la lista
Bienvenido a 3tres3
Conecta, comparte y relaciónate con la mayor comunidad de profesionales del sector porcino.
¡Ya somos 202697 Usuarios!
Regístrate¿Ya eres miembro?



