X
XLinkedinWhatsAppTelegramTelegram
0
1
Leia este artigo em:

Pneumonias causadas por vírus

Este artigo analisa as diferentes lesões micro e macroscópicas causadas pelos vírus de PRRS, PCV2, o vírus da gripe suína e o coronavirus respiratório suíno.

Os vírus são importantes agentes causadores de doenças que afectam o sistema respiratório do porco. Entre estes incluem-se o Vírus da Síndrome Respiratória e Reprodutiva Suína (PRRSV), Circovírus Suíno tipo 2 (PCV2), Vírus da Influenza Suína (SIV, Vírus da Gripe Suína) e Coronavírus Respiratório Suíno (PRCV, do Coronavírus Respiratório Suíno Inglês). Os três primeiros são considerados agentes primários, capazes de causar danos por si próprios, enquanto o quarto é um agente secundário, agindo quando houve uma infecção anterior por outro agente primário ou quando o animal é imunossuprimido.

O PRRSV é um vírus ARN, pertencente à ordem Nidovirales, família Arteriviridae, actualmente incluída no novo género Betaarterivirus (género antigo Arterivirus). A sua acentuada diversidade genética fez com que os dois genótipos do PRRSV (europeu e norte-americano) sejam actualmente considerados duas espécies virais diferentes: Betaarterivirus suid 1, correspondente ao genótipo 1 ou europeu (PRRSV-1), cujo protótipo é o vírus Lelystad (LV ) e Betaarterivirus suid 2, que corresponde ao genótipo 2 ou norte-americano (PRRSV-2), cujo protótipo é a estirpe VR-2332.1

O PRRSV é capaz de modular e mesmo evitar a resposta imune do hospedeiro. Esse vírus infecta macrófagos alveolares, a sua principal célula alvo, alterando as suas funções e induzindo a sua morte por necrose e / ou apoptose, o que atrasa o aparecimento de uma resposta imune adaptativa eficaz e predispõe o animal a infecções secundárias.

A forma respiratória ocorre principalmente em porcos em crescimento e engorda e as lesões são caracterizadas pelo aparecimento de pneumonia intersticial. Macroscopicamente, os pulmões não colapsam quando removidos da cavidade torácica, apresentando consistência emborrachada e adesão multifocal com áreas avermelhadas distribuídas por todo o parênquima pulmonar (figura 1). A nivel microscópico aprecia-se um engrossamento dos tabiques alveolares associado a um infiltrado de linfócitos e macrófagos, assim como uma hiperplasia e hipertrofia dos pneumócitos tipo II (figura 2).

Figura 1: Pneumonia intersticial causada por PRRSV
Figura 1: Pneumonia intersticial causada por PRRSV
Figura 2: Pneumonia intersticial, caracterizada pelo engrossamento dos tabiques alveolares, numa infecção por PRRSV
Figura 2: Pneumonia intersticial, caracterizada pelo engrossamento dos tabiques alveolares, numa infecção por PRRSV

O PCV2 é um vírus ADN de cadeia simples, não envolvido e de pequeno tamanho que pertence ao género Circovirus, dentro da familia Circoviridae. É o agente causal de uma série de doenças conhecidas como doenças associadas a circovírus entre as quais se incluem a doença sistémica por PCV2 (PCVAD, do inglês, Porcine Circovirus Associated Disease), conhecida classicamente como o síndrome de perda de peso multissistémico pós-desmame (PMWS, do inglês, Postweaning Multisystemic Wasting Syndrome), a doença pulmonar por PCV2, a doença digestiva por PCV2, o fracasso reprodutivo por PCV2 e o síndrome dermatite nefropatia suíno (PDNS, do inglês, Porcine Dermatitis and Nephopathy Syndrome).

O PCV2 multiplica-se em diversas células do sistema imunitário, como macrófagos, células dendríticas ou linfócitos, causando deplecção linfóide e reduzindo a capacidade do hospedeiro para responder a agentes patogénicos primários e/ou secundários.

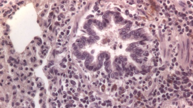
As lesões pulmonares causadas pelo PCV2 são macro e microscopicamente semelhantes às causadas pelo PRRSV pois, como este, causa pneumonia intersticial, pelo que devem recorrer-se a outras técnicas de diagnóstico, como imunoistoquímica.(figura 3), hibridação in situ ou PCR para poder estabelecer o diagnóstico. Além disso, são dois agentes que tendem a ser isolados de forma conjunta já que a infecção por PRRSV está associada a um incremento na replicação e virulência de PCV2.

Figura 3: Células imunomarcadas contra PCV2 em pulmão
Figura 3: Células imunomarcadas contra PCV2 em pulmão

O SIV é um vírus polimórfico e envolvido que pertence à familia Orthomyxoviridae, a qual inclui sete géneros diferentes: Influenzavirus A, B, C e D, Isavirus, Quaranjavirus e Thogotovirus. Ainda que os géneros Influenzavirus A, B, C e D tenham sido identificados no porco, a maioria das estirpes que provocam a gripe ou influenza suína estão incluídos dentro dos géneros Influenzavirus A e C.

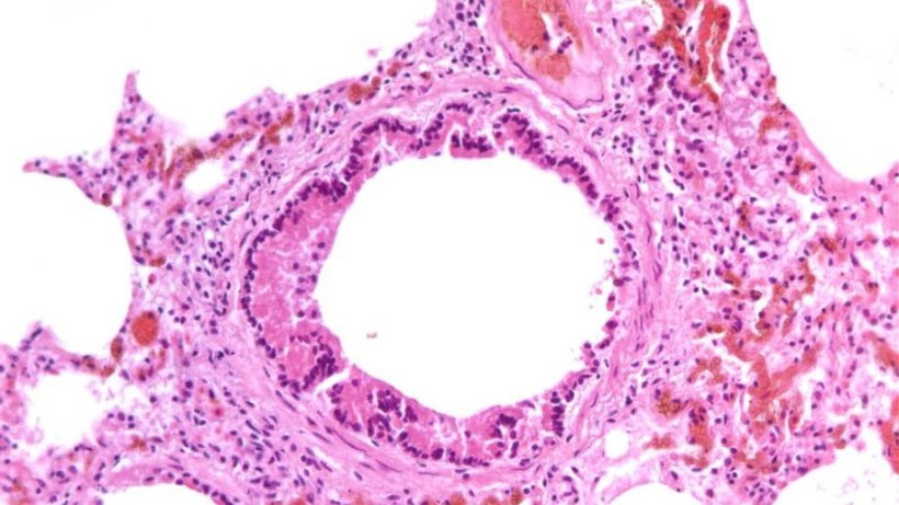
O SIV replica-se nas células epiteliais do aparelho respiratório (alto e baixo), alterando o funcionamento do aparelho mucociliar, o que favorece o aparecimento de infecções bacterianas secundárias. A principal lesão que causa no pulmão é uma pneumonia bronco-intersticial, caracterizada macroscopicamente pela presença de lesões craneo-ventrais ou multifocais difusas de cor vermelho escuro ou castanho, de extensão variável, muito semelhantes às provocadas por Mycoplasma hyopneumoniae (figura 4). A nível microscópico, provoca uma bronquiolite necrotizante (figura 5) acompanhada da presença de infiltrados linfo-histiocíticos peribronquiais e nos septos alveolares e de um exudado mucopurulento nos bronquíolos.

Figura 4: Lóbulos craneal e medial afectados por uma pneumonia broncointersticial causada por SIV
Figura 4: Lóbulos craneal e medial afectados por uma pneumonia broncointersticial causada por SIV
Figura 5: Bronquiolite necrotizante causada pela infecção por SIV
Figura 5: Bronquiolite necrotizante causada pela infecção por SIV

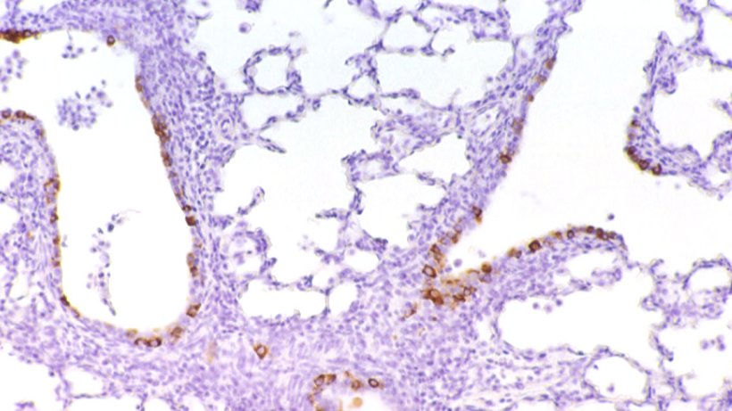
O Coronavirus Respiratório (PRCV) é uma delecção mutante do vírus da gastroenterite trasmissível com um tropismo especial pelo tracto respiratório, que infecta as células epiteliais de cavidade nasal, traqueia, brônquios e bronquiolos (figura 6) e aos pneumócitos tipo I e II. As lesões pulmonares caracterizam-se macroscopicamente pela presença de áreas de consolidação de cor vermelha a acastanhada com bordos irregulares localizadas sobretudo nos lóbulos médios e acessório (figura 7). Microscopicamente, o padrão lesional é semelhante a uma pneumonia broncointersticial multifocal caracterizada pelo aparecimento de necroses das células do epitélio bronquial e bronquiolar, metaplasia escamosa, infiltrado linfohistiocítico peribronquiolar, perivascular e nos septos alveolares, que é acompanhada de proliferação de pneumocitos tipo II e da presença de células epiteliais necróticas e leucócitos na luz das vías aéreas e alvéolos.

Figura 6: Células imunomarcadas contra PRCV no epitélio bronquiolar
Figura 6: Células imunomarcadas contra PRCV no epitélio bronquiolar
Figura 7: Pneumonia broncointersticial causada por PRCV
Figura 7: Pneumonia broncointersticial causada por PRCV

O Complexo Respiratório Suíno tem um carácter multietiológico, no qual jogam um papel fundamental PRRSV, PCV2 e SIV, já que vão provocar um atraso na instauração da resposta imune (PRRSV, PCV2) ou um fracasso na funcionalidade do aparelho mucociliar (SIV).

Comentários ao artigo

Este espaço não é uma zona de consultas aos autores dos artigos mas sim um local de discussão aberto a todos os utilizadores de 3tres3
Insere um novo comentário

Para fazeres comentários tens que ser utilizador registado da 3tres3 e fazer login

Não estás inscrito na lista A web em 3 minutos

Um resumo semanal das novidades da 3tres3.com.pt

faz login e inscreve-te na lista

Artigos relacionados

Produtos relacionados na Loja Agro-Pecuária

A loja especializada em suíno
Acoselhamento e serviço técnico
Mais de 120 marcas e fabricantes
Não estás inscrito na lista A web em 3 minutos

Um resumo semanal das novidades da 3tres3.com.pt

faz login e inscreve-te na lista