
Diarrhée néonatale : l'importance de l'alimentation de la truie
Une évaluation du rôle de l'alimentation des truies sur la diarrhée néonatale ne pouvait manquer dans une série d'articles sur la diarrhée néonatale.
Nouvelles, événements et reportages liés au secteur porcin.
Pour se tenir au courant de tous les événements liés au secteur porcin dans le monde
Forum de discussion sur des sujets liés à la production porcine.
Dernières nouvelles de la filière porcine
Un résumé tous les 15 jours des nouveautés de 3trois3.com
Santé porcine : nouvelles et articles sur le SDRP, PCV2, biosécurité, etc., guide des maladies porcines, atlas de pathologie, cas cliniques ...
Comment réaliser une nécropsie sur un porc, étape par étape, de manière très visuelle et pratique.
Description des principales maladies et affections chez le porc
Lésions et signes des principales maladies du porc
Toutes les informations sur la peste porcine africaine (3trois3 et liens externes).
Calcule la quantité de médicament à incorporer quand on utilise une pompe doseuse
Un résumé tous les 15 jours des nouveautés de 3trois3.com
Cours du porc par pays. Production et commerce de viande. Nouvelles des marchés du porc et des matières premières.
Derniers cours des marchés du porc les plus importants. Prix historiques en différentes devises; avec des cours de change en temps réel
Dernières cotations des principales découpes de viande de porc. Historique des prix en différentes devises et au format graphique.
Données et tendances des effectifs, de la production de viande, du commerce...
Données sur la production et le commerce mondial des principales matières premières
Un résumé tous les 15 jours des nouveautés de 3trois3.com
Articles sur la nutrition et l'alimentation des porcs, caractéristiques des matières premières et des additifs et prix des matières premières.
Données sur la production et le commerce mondial des principales matières premières
Utilisez cet outil pour diagnostiquer les problèmes d'indice de consommation. Cliquez sur le diagramme ou sur les boutons dans le texte pour naviguer dans les différentes parties de l'outil.
Un résumé tous les 15 jours des nouveautés de 3trois3.com
Articles sur la génétique et la reproduction porcine : sélection génétique, génomique, insémination artificielle, utilisation d'hormones ...
Compare données de production, calcule le nombre de places pour truies, post-sevrage et engraissement et montre vos tâches en fonction de chaque type de CEB
Simulateur pour calculer les entrées de truies en démarrant un élevage, en l'agrandissant ou pour calculer le renouvellement d'un élevage en activité.
Un résumé tous les 15 jours des nouveautés de 3trois3.com
Gestion et conduite des élevages porcins et organisation du travail dans chacune des phases de production : conduite en gestation, engraissement, conduite e
Compare données de production, calcule le nombre de places pour truies, post-sevrage et engraissement et montre vos tâches en fonction de chaque type de CEB
Un résumé tous les 15 jours des nouveautés de 3trois3.com
Conception d'installations et d'équipements pour les élevages de porcs: conception des salles, climatisation, systèmes d'alimentation, etc. comparateurs d'é
Calculateur d'empreinte environnementale tout au long de la chaîne de valeur de la filière porcine
Un résumé tous les 15 jours des nouveautés de 3trois3.com

Une évaluation du rôle de l'alimentation des truies sur la diarrhée néonatale ne pouvait manquer dans une série d'articles sur la diarrhée néonatale.

Vaut-il mieux séparer les cochettes des multipares ? Quelles mesures de biosécurité internes sont les plus importantes ? Dans cet article, nous discutons avec 4 vétérinaires de renom des recommandations qu'ils ont à cet égard sur ces points et bien d'autres.

Bien qu'il semble que le nettoyage entre les lots dans la salle de mises-mas soit un sujet de base que tous les élevages devraient réaliser correctement, après avoir discuté avec les auteurs, nous voyons qu'il y a encore beaucoup à faire.

Quels facteurs provoquent l'augmentation de la mortalité et le retard des porcelets dans la phase de post-sevrage ? Comment pouvons-nous les combattre ?

Quand et comment est-elle utilisée ? Quels sont les risques ?

Dans le premier article de cette série, les quatre spécialistes se sont mis d'accord, quoique avec des nuances différentes, sur l'augmentation des problèmes de diarrhée néonatale et nous ont expliqué quels étaient les principaux agents responsables selon leur expérience. Dans cet article, des stratégies préventives avec des méthodes vaccinales seront abordées.

Les diarrhées néonatales sont une pathologie courante et souvent désespérante ; aujourd'hui quatre spécialistes porcins nous livrent leur vision de ce problème, exposant leurs connaissances et leur point de vue depuis les différentes zones géographiques où ils travaillent.

Le changement d'origine du renouvellement est toujours une décision difficile. La surveillance par analyses avant l'introduction n'est pas suffisante.

Le sevrage est un point critique dans la vie du porc. Il suppose un moment de stress important qui, s'il n'est pas correctement géré, peut entraîner l'apparition de diarrhées et / ou de porcelets mal adaptés.

Liste des mesures préventives que nous appliquons dans notre travail quotidien avec de bons résultats. Il faut les prendre en compte dans leur ensemble et jamais de façon individuelle.

L'effet immunomodulateur et concrètement anti-inflammatoire des produits phythogéniques ajoutés à la ration semble jouer un rôle essentiel sur l’approche des tableaux entériques en production porcine

La dose infectante est directement liée à la sévérité de la maladie, de sorte que les pratiques qui réduisent la dose d'exposition des porcelets nouveau-nés pourraient prévenir et/ou réduire l'expression de la maladie clinique.

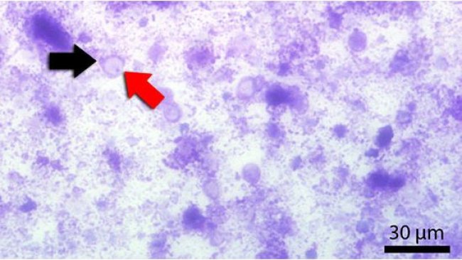
Certains animaux ont présenté de la diarrhée et des signes neurologiques et, à l'autopsie de l'un d'entre eux, on a observé une entérocolite hémorragique avec oedème de la muquese, splénomégalie et hémorragies sur le mésentère.

Pour réussir à avoir des anticorps acquis activement prêts au moment du sevrage, les porcelets devraient être immunisés entre 10 jours et deux semaines avant le sevrage.

On n'a trouvé aucun entéro-pathogène en quantité cliniquement importante et donc l’infestation massive de Blastocystis sp a été considérée comme significative dans ce cas.