L'échographie de type B est une modalité de diagnostic largement utilisée dans la reproduction mâle, en particulier chez l'homme. Il a été démontré que, pour déterminer les causes des problèmes de subfertilité et d'infertilité et pour diagnostiquer les maladies de l'appareil génital masculin, une option possible est de visualiser les testicules, l'épididyme et les glandes sexuelles accessoires. En médecine vétérinaire, l'échographie a été utilisée chez les chevaux, les taureaux, les cerfs et les chiens, mais aussi, bien que moins fréquemment, chez les verrats comme cela sera décrit brièvement dans cet article.
L'échographie de type B de l'appareil reproducteur du verrat doit être effectuée quand le verrat est debout et si possible également immobilisé. Ceci peut être réalisé en plaçant le verrat dans une cage ou d'effectuer l'opération pendant la collecte de semence. Une autre approche pour l'immobilisation est de soulever le sanglier en utilisant des rampes spécialement conçues, mais cela peut avoir une légère limitation par la dislocation anatomique du testicule et de l'épididyme. Dans certains cas, il est également possible de scanner les verrats calmes après la collecte de semence dans la case de récolte ou alors qu'ils sont dans dans leurs cases.

Il existe de nombreux appareils à ultrasons qui peuvent être utilisés pour analyser l'appareil reproducteur du verrat. Bien nous n'avons pas l'intention de donner la priorité à des modèles spécifiques dans le présent document, les auteurs ont acquis de l'expérience, avec beaucoup de succès dans cette technique de diagnostic, en utilisant des dispositifs qui offrent une haute résolution, comme le HONDA 1600, le Fazone CB et le Zonare Z-one.
L'examen des glandes sexuelles accessoires doit être fait par voie transrectale en utilisant une sonde linéaire (Clark et Althouse, 2002; Figure 1), tandis que pour le testicule, l'épididyme et le cordon spermatique, un secteur ou sonde (micro) convexe est le type de dispositif préféré (figures 2A et B). On utilise des fréquences de 5,0 à 9,0 MHz, les plus basses étant les plus appropriées pour la plupart des tissus qui nécessitent une plus grande profondeur de pénétration (à savoir le testicule et le corps de l'épididyme) et les fréquences plus élevées pour les structures plutôt petites comme la tête et la queue de l'épididyme). Cela dépendra donc de l'objectif de l'examen et la fréquence sera alors optimale.

Figure 1: Positionnement du support du transducteur avec le transducteur droit pour la visualisation des glandes sexuelles accessoires du verrat (Clark & Althouse, 2002).
Avant de scanner le testicule, l'épididyme et le cordon spermatique, la surface scrotale doit être nettoyée et, le cas échéant, rasée.
Les testicules peuvent être scannés longitudinalement ou transversalement (Figure 2A et B). Pour déterminer la circonférence testiculaire, des images transversales doivent être utilisées. Le tissu testiculaire sain a une échogénicité moyenne avec une échotexture homogène avec le rete testis hyperéchogène dans le centre du testicule (Figure 3A et B).

Figure 2: Procédure de scan du testicule d'un verrat calme sans contention, après l'éjaculation dans la salle de collecte de semence. A) Exploration longitudinale au moyen d'une sonde micro-convexe . B) Exploration transversale en utilisant une sonde convexe. Ce type d'exploration doit aussi être utilisée pour visualiser le corpus epididimis.

Figure 3: Images échographiques du testicule d'un verrat exploré transversalement (A) et longitudinalement (B). Le rete testis est représenté comme une tâche hyperéchogénique dans le centre du testicule (flèche pleine). Le parenchyme testiculaire présente une échogénicité moyenne et une échotexture homogène. L'image transversale donne aussi une visualisation optimale du corps de l'épididyme (flèche pointillée), qui est normalement d'apparence échographique semblable à celle du testicule.
Le scann de l'épididyme doit être fait aussi dans différentes positions en fonction de la zone d'intérêt. Pour la tête il faut travailler ventralement; pour le corps transversalement au milieu de l'axe horizontal du testicule tout le en maintenant manuellement; pour la queue on réalise un scann dorsal en poussant manuellement le testicule et l'épididyme dorsalement (Figure 4, Kauffold et al., 2011).

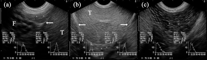
En général, le tissu de l'épididyme est également d'une échostructure homogène et régulière, en étant plus fine dans la tête et le corps et légèrement marbré dans la queue (figure 5A-C). Cependant, l'échogénicité, déterminée par l '« analyse des niveaux de gris », et donnée comme la valeur de gris moyenne, diffère légèrement entre les trois segments, avec des changements dans les images obtenues en comparant avant et après la collecte de la semence (Kauffold et al., 2011) du verrat.

Figure 5: images échographiques des segments épididymaires: caput (= tête, a), corpus (b) et cauda (= queue; c). Les cases marquées « + » et « x » sont projetées sur les segments respectifs de l'épididyme. Testicule (T). Adjacente à la tête il y a plusieurs structures tubulaires identifiées comme étant des parties du funiculus spermaticus (F). Les flèches indiquent la couverture séreuse du testicule (c'est à dire la bursa) testicularis. (Kauffold et al., 2011)
Clark et Althouse (2002) ont fait la meilleure description des glandes sexuelles accessoires saines (bulbo-urétrales, prostate et glande vésiculaire): « La paire de glandes bulbo-uretrales (...) sont des glandes allongées ovales avec un aspect échogènique uniforme et avec un grand espace anéchogénique dans le centre de la glande s'étendant sur la majeure partie de sa longueur. (…). Les parois des glandes vésiculaires sont minces et le parenchyme a plusieurs zones petites et écho-translucides qui semblent se fondre et former un canal central. La glande prostatique est identifiée comme une glande de la taille d'une noix avec un aspect échogènique uniforme ». Comme cela est démontré pour l'épididyme, l'architecture des trois glandes a changé après l'éjaculation par rapport à la pré-éjaculation dans la mesure où le « composant liquide » a diminué et où les glandes apparaissent avec une plus grande échogénicité.

Les études sur l'utilisation pratique de l'échographie dans la reproduction des verrats sont rares. Le diamètre des testicules a été déterminé afin de le relier avec le nombre total de spermatozoïdes produits dans un éjaculat moyen (Clark et al., 2003) ou pour évaluer le développement pubertaire (Ford et Wise, 2010). La corrélation du diamètre des deux testicules et du nombre total de spermatozoïdes a été mauvaise, au moins chez les verrats de plus de 8 mois; la détermination de la taille testiculaire des plus jeunes verrats, d'environ 4 mois, a semblé utile pour la prédiction du volume des testicules et de la production de sperme lorsque le verrat avait atteint la maturité. Il y a un rapport récent sur un verrat Large White infertile avec une dégénérescence multikystique de la glande bulbo-utétrale; dans la glande affectée on visualise des kystes anéchogéniques solides et bien définis de différentes tailles (Figure 6, Grahofer et al., 2016)

Figure 6: Images de la glande bulbo-urétrale d'un verrat atteint par de multiples kystes anéchogéniques bien définis de différentes tailles (A) et d'un verrat sain (B) (Grahofer et al., 2016).
En résumé, l'échographie de l'appareil génital du verrat est une modalité de diagnostic viable qui peut fournir des informations précieuses sur la fonction et la santé du tissu. Même si l'utilisation pratique est actuellement limitée, l'auteur est fermement convaincu que l'utilisation de cette méthode (et d'autres comme le Doppler couleur [Figure 7A et B]) obtiendra une plus grande utilisation chez les vétérinaires porcins comme un outil pour prédire le rendement potentiel des éjaculats et pour diagnostiquer avec précision les problèmes de subfertilité et d'infertilité associée à des tissus malades.

Figure 7: Images du testicule obtenues par échographie Doppler couleur A) Vaisseaux du cordon spermatique B) Artère testiculaire
Remerciements
Les auteurs remercient Nadja Legler pour son aide en créant les images utilisées dans cet article.






