X
XLinkedinWhatsAppTelegramTelegram
0
2
Lee este artículo en:

Uso de ultrasonografía tipo B para examinar el tracto genital de los verracos

Esta herramienta permite predecir la producción potencial de eyaculados y ayudar a diagnosticar subfertilidad e infertilidad asociada con tejidos enfermos.

La ecografía tipo B es una modalidad de diagnóstico ampliamente utilizada en la reproducción masculina, particularmente en humana. Se ha demostrado que, para  determinar las causas de problemas de subfertilidad e infertilidad y para diagnosticar enfermedades del tracto genital masculino, una opción factible es visualizar los testículos, el epidídimo y las glándulas sexuales accesorias. En medicina veterinaria, la ultrasonografía se ha utilizado en caballos, toros, ciervos, así como perros, pero también, aunque con menos frecuencia, en verracos, técnica que será descrita brevemente en este artículo.

La ecografía tipo B del tracto reproductivo del verraco tiene que realizarse mientras el verraco se encuentra levantado y a ser posible también inmovilizado. Esto puede lograrse colocando al verraco en una jaula o realizar el escáner mientras el verraco monta el potro para la recogida de semen. Otro enfoque para la inmovilización es levantar el verraco mediante el uso de rampas especialmente diseñadas, pero esto puede tener la limitación de una ligera dislocación anatómica del testículo y el epidídimo. En algunos casos también es posible escanear verracos tranquilos tras la recogida de semen en el corral de recogida o mientras están en sus corrales. 

Hay muchos aparatos de ultrasonidos que se pueden utilizar para escanear el tracto reproductivo del verraco. Si bien no es la intención dar prioridad a modelos concretos en este documento, los autores han adquirido experiencia, con gran éxito en esta técnica de diagnóstico, utilizando dispositivos que ofrecen alta resolución, incluyendo el HONDA 1600, Fazone CB y Zonare Z-one.

El escaneado de las glándulas sexuales accesorias tiene que hacerse transrectalmente usando una sonda lineal (Clark y Althouse, 2002; figura 1), mientras que para el testículo, el epidídimo y el cordón espermático, un sector o sonda (micro) convexa es el tipo de dispositivo preferido (figuras 2A y B). Se han utilizado frecuencias de 5,0 a 9,0 MHz, siendo las frecuencias más bajas más apropiadas para los tejidos que requieren una mayor profundidad de penetración (es decir, el testículo y el cuerpo del epidídimo) y las frecuencias más altas para estructuras más bien pequeñas como la cabeza y la cola del epidídimo). Por lo tanto dependerá del objetivo del examen que sonda y frecuencia serán las óptimas.

Figura 1: Colocación del soporte del transductor con el transductor por recto para la visualización de glándulas sexuales accesorias del verraco (Clark & ​​Althouse, 2002). 

Figura 1: Colocación del soporte del transductor con el transductor por recto para la visualización de glándulas sexuales accesorias del verraco (Clark & ​​Althouse, 2002). 

Antes de escanear el testículo, epidídimo y cordón espermático, la superficie escrotal debe limpiarse y, si es necesario, rasurarse.

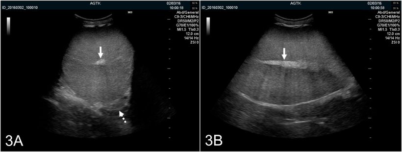
Los testículos se pueden escanear longitudinalmente o transversalmente (figura 2A y B). Para determinar la circunferencia del testículo, se deben emplear imágenes transversales. El tejido testicular sano tiene una ecogenicidad media y presenta una  ecotextura homogénea, con el rete testis hiperecogénico en el centro del testículo (figura 3A y B).

Figura 2: Procedimiento de escaneo del testículo de un verraco tranquilo sin sujeción, después de la eyaculación en la sala de recogida de semen. A) Exploración longitudinal utilizando una sonda micro-convexa. B) Exploración transversal utilizando una sonda convexa. Esta localización de exploración también tiene que ser empleada al visualizar el corpus epididimis.

Figura 2: Procedimiento de escaneo del testículo de un verraco tranquilo sin sujeción, después de la eyaculación en la sala de recogida de semen. A) Exploración longitudinal utilizando una sonda micro-convexa. B) Exploración transversal utilizando una sonda convexa. Esta localización de exploración también tiene que ser empleada al visualizar el corpus epididimis.

Figura 3: Imágenes ultrasonográficas del testículo de un verraco explorado transversalmente (A) y longitudinalmente (B). El rete testis se representa como una mancha hiperecogénica en el centro del testículo (flecha sólida). El parénquima testicular presenta ecogénicidad media y de ecotextura homogénea. La imagen transversal también proporciona una visualización óptima del corpus epididimal (flecha punteada), que es normalmente de apariencia ultrasonográfica similar a la del testículo.

Figura 3: Imágenes ultrasonográficas del testículo de un verraco explorado transversalmente (A) y longitudinalmente (B). El rete testis se representa como una mancha hiperecogénica en el centro del testículo (flecha sólida). El parénquima testicular presenta ecogénicidad media y de ecotextura homogénea. La imagen transversal también proporciona una visualización óptima del corpus epididimal (flecha punteada), que es normalmente de apariencia ultrasonográfica similar a la del testículo.

El escaneo del epidídimo tiene que hacerse en varias posiciones dependiendo del área de interés. Para la cabeza trabajaremos ventralmente; para el cuerpo transversalmente en el medio del eje horizontal del testículo mientras se sujeta manualmente; para la cola se realiza el escaneo dorsal mientras se empuja manualmente el testículo y el epidídimo dorsalmente (figura 4, Kauffold et al., 2011). 

 

Fig. 4:  Ilustración esquemática de la topografía del testículo y del epidídimo en el verraco, con colocación sugerida del transductor al evaluar el caput epidimydis (= cabeza, a), corpus (b) y cauda (= cola; La cabeza y la cola se aprecian mejor con imágenes longitudinales y transversales para el cuerpo ( Kauffold et al., 2011).

 

 

Fig. 4:  Ilustración esquemática de la topografía del testículo y del epidídimo en el verraco, con colocación sugerida del transductor al evaluar el caput epidimydis (= cabeza, a), corpus (b) y cauda (= cola; La cabeza y la cola se aprecian mejor con imágenes longitudinales y transversales para el cuerpo ( Kauffold et al., 2011).

 

 

En general, el tejido del epidídimo es también de ecotextura homogénea y regular, siendo más fina en la cabeza y el cuerpo y un poco marmoleada en la cola (figura 5A-C). Sin embargo, la ecogenicidad, determinada por el "análisis de escala de grises", y dada como el valor gris promedio, difiere ligeramente entre los tres segmentos, junto con cambios en las imágenes obtenidas comparando antes y después de la recogida de semen (Kauffold et al. 2011) del  verraco.

Figura 5: Imágenes ultrasonográficas de los segmentos del epidídimo: caput (= cabeza, a), corpus (b) y cauda (= cola; c). Las cajas marcadas con "+" y "x" se proyectan en los segmentos respectivos del epidídimo. Testículo (T). Junto a la cabeza hay estructuras tubulares múltiples identificadas como partes del funiculus spermaticus (F). Las flechas indican la cubierta testicular serosa (es decir, bursa testicularis). (Kauffold et al., 2011)

Figura 5: Imágenes ultrasonográficas de los segmentos del epidídimo: caput (= cabeza, a), corpus (b) y cauda (= cola; c). Las cajas marcadas con "+" y "x" se proyectan en los segmentos respectivos del epidídimo. Testículo (T). Junto a la cabeza hay estructuras tubulares múltiples identificadas como partes del funiculus spermaticus (F). Las flechas indican la cubierta testicular serosa (es decir, bursa testicularis). (Kauffold et al., 2011)

Clark y Althouse (2002) hicieron la mejor descripción de las glándulas sexuales accesorias sanas (bulbouretral, próstata y glándula vesicular): "La pareja de glándulas bulbouretrales (...) son unas glándulas ovales alargadas con un aspecto ecogénico uniforme y con un gran espacio anecogénico en el centro de la glándula que se extiende en la mayor parte de su longitud. (...) Las paredes de las glándulas vesiculares son delgadas, y el parénquima tiene múltiples áreas pequeñas y eco traslúcidas que parecen fundirse y formar un canal central. La glándula próstatica se identifica como una glándula del tamaño de una nuez con un aspecto ecogénico uniforme". Como se ha demostrado para el epidídimo, la arquitectura de las tres glándulas cambió después de la eyaculación en comparación con la pre-eyaculación en la medida en que el "componente líquido" disminuyó y las glándulas aparecen con una mayor ecogenicidad.

Los estudios sobre el uso práctico de la ecografía en la reproducción del verracos son escasos. El diámetro de los testículos se ha determinado con el fin de relacionarlo con el número total de espermatozoides producidos en el eyaculado promedio (Clark et al., 2003) o para evaluar el desarrollo puberal (Ford & Wise, 2010). Si bien la correlación del diámetro de ambos testiculos y el número total de espermatozoides fue pobre, al menos en los verracos mayores de 8 meses; la determinación del tamaño testicular de los verracos más jóvenes, aproximadamente a los 4 meses, pareció útil para la predicción del volumen testicular y de producción de esperma cuando el verraco llegaba a la madurez. Hay un informe reciente sobre un verraco Large White infértil con una degeneración multiquistica de la glándula bulbouretral; en la glándula afectada se visualizaron quistes anecogénicos sólidos y bien definidos de diferentes tamaños (figura 6, Grahofer et al., 2016).

Figura 6: Imágenes de la glándula bulbouretral del verraco afectado con múltiples quistes anecogénicos bien definidos de diferentes  tamaños (A) y de un verraco sano (B) (Grahofer et al., 2016).

Figura 6: Imágenes de la glándula bulbouretral del verraco afectado con múltiples quistes anecogénicos bien definidos de diferentes  tamaños (A) y de un verraco sano (B) (Grahofer et al., 2016).

En resumen, la ecografía del tracto reproductivo del verraco es una modalidad diagnóstica viable que puede aportar información valiosa con respecto a la función y la salud del tejido. Si bien el uso práctico es actualmente limitado, el autor está firmemente convencido que el uso de esta modalidad (además de otros como Doopler color [figura 7A y B]) van a obtener un mayor uso entre los veterinarios de porcino como una herramienta para predecir el rendimiento potencial de los eyaculados y para diagnosticar de forma precisa problemas de subfertilidad e infertilidad asociada con tejidos enfermos.

Figura 7:Imágenes del testículo obtenidas mediante ultrasonografía Doppler color. A) Vasos del cordón espermático. B) Arteria testicularis

Figura 7:Imágenes del testículo obtenidas mediante ultrasonografía Doppler color. A) Vasos del cordón espermático. B) Arteria testicularis

Acknowledgement

The authors thank Nadja Legler for her help with generating images used in this article.

Comentarios del artículo

Este espacio no está orientado a ser una zona de consultas a los autores de los artículos sino que pretende ser un lugar de discusión abierto a todos los usuarios de 3tres3
Publica un nuevo comentario

Para comentar debes registrarte en 3tres3 y acceder como usuario.

No estás suscrito a la lista Termómetro económico porcino Colombia

Un mailing semanal con la cotización del precio de Colombia y los principales países productores de porcino junto con un comentario de la situación del mercado colombiano. Se añaden gráficos con la evolución del precio en Colombia.

Accede y apúntate a la lista

Artículos relacionados

No estás suscrito a la lista Noticias del sector porcino

Boletín de noticias sobre el mundo del porcino

Accede y apúntate a la lista