Tests disponibles:
Polymerase chain reaction (PCR)
- Détecte la présence d'une séquence d'acide nucléique (ARN) viral spécifique.
- Types d'échantillons : tissus intestinaux, fèces, écouvillons rectaux, fluides oraux, etc.
- Avantages :
- Très grande sensibilité (peut détecter de petites quantités de virus).
- Détection précoce : les cas aigus doivent être positifs.
- De nombreux types d'échantillons différents peuvent être utilisés (tissus intestinaux, fèces, écouvillons rectaux, fluides oraux, etc.)
- Coût modéré :
- Souvent, 10 échantillons de matières fécales/écouvillons ou tissus intestinaux peuvent être mélangés pour réduire les coûts et minimiser la perte de sensibilité.
- Les échantillons de fluides oraux ne sont généralement pas poolés car la valeur Ct (nombre de cycles nécessaires pour amplifier l'ARN viral à un niveau détectable) sera plus élevée (parce que les concentrations de virus sont plus faibles), ce qui peut entraîner une perte de sensibilité significative.
- Inconvénients :
- Le séquençage est nécessaire pour différencier le virus vaccinal de l'infection virale sur le terrain.
- La contamination de l'environnement peut générer de nombreux résultats positifs : les porcs infectés excrètent de grandes quantités de virus.
Test d'immuno-absorption enzymatique (ELISA)

- Détecte la présence d'anticorps.
- Types d'échantillons : sérum, fluides oraux.
- Avantages :
- Les animaux restent positifs pendant plusieurs semaines, en particulier les IgA dans les fluides oraux.
- Peut être utilisé dans les cas chroniques.
- Inconvénients :
- Il peut y avoir des différences de détection entre les différents tests.
- Il faut 7 à 14 jours pour que les animaux deviennent séropositifs.
- Ne fait pas la différence entre les anticorps maternels et les anticorps d'exposition.
- Ne fait pas la différence entre la vaccination et l'infection par le virus sur le terrain.
- Il est préférable de disposer d'un test ELISA qui détecte les niveaux d'IgA, en particulier dans les fluides oraux.
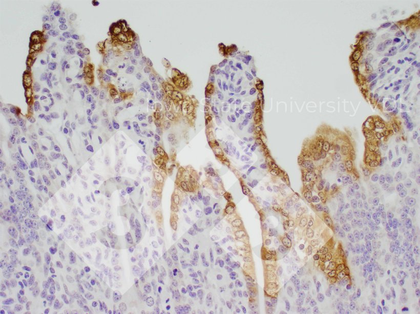
Immunohistochimie (IHC)
- Détecte la présence de l'antigène viral.
- Types d'échantillons : tissus intestinaux.
- Avantages :
- Détecte le virus sur le site de la lésion (bonne preuve de causalité).
- Permet de différencier les quantités faibles, modérées et élevées de virus présent.

Figure 1 : Coloration IHC de la DEP dans l'intestin grêle infecté. Source : Iowa State University VDL.
- Inconvénients :
- Un échantillon de tissu correct doit être envoyé.
- Nécessite beaucoup plus de virus que la PCR.
- N'évalue qu'une petite quantité de tissu.
- Chez les porcelets, les villosités intestinales sont rapidement détruites, ce qui entraîne des changements spectaculaires dans la quantité de virus présents (coloration) en seulement deux jours.
Anticorps fluorescents indirects (IFA)
- Détecte la présence d'anticorps.
- Types d'échantillons : sérum.
- Avantages :
- Sensibilité élevée pour la détection.
- Inconvénients :
- Pas possible pour un grand nombre d'échantillons.
- Les résultats dépendent de l'isolat viral utilisé dans le test.
- La fiabilité dépend fortement des compétences du technicien et varie considérablement d'un laboratoire à l'autre.
Interpreétation des résultats:
PCR
- Positif : présence du virus. Une vaccination récente avec un virus vivant modifié peut donner des résultats positifs à la PCR. De grandes quantités de virus sont excrétées après l'infection (valeurs Ct très faibles ; un seul chiffre), en particulier chez les jeunes porcs. L'élimination et la contamination de l'environnement peuvent se produire sur une longue période.
Tableau 1. Les porcs infectés excrètent de grandes quantités de virus dans les fèces (valeurs Ct à un chiffre dans la PCR), ce qui entraîne une forte contamination de l'environnement.
| Ct de la PCR de la DEP par rapport au nombre de copies génomiques | |
|---|---|
| 42 | 1 |
| 39 | 10 |
| 36 | 100 |
| 32 | 1.000 |
| 29 | 10.000 |
| 26 | 100.000 |
| 22 | 1.000.000 |
| 19 | 10.000.000 |
| 16 | 100.000.000 |
| 12 | 1.000.000.000 |
| 9 | 10.000.000.000 |
| 6 | 100.000.000.000 |
- Négatif : Négatif ou le virus n'est pas détecté si le test est effectué longtemps après l'infection.
ELISA
- Positif : anticorps maternels ou exposition antérieure (généralement > 7-14 jours) au vaccin ou au virus de terrain.
- Négatif : Négatif, l'infection est trop récente pour être détectée (elle doit généralement avoir eu lieu au moins 7 à 14 jours après l'exposition) ou il s'est écoulé trop de temps après l'infection (en particulier si on mesure le taux d'IgG sériques).
IHC
- Positif : le virus est présent sur le site de la lésion.
- Négatif : Négatif ou infection trop ancienne pour détecter le virus.
IFA
- Positif : anticorps maternels ou exposition antérieure (généralement > 7-14 jours) au vaccin ou au virus du terrain.
- Négatif : Négatif au vaccin ou au virus de terrain ou infection trop récente pour être détectée (généralement au moins 7 à 14 jours après l'exposition).
Scénarios
Diarrhée chez les porcelets avec une mortalité très élevée dans le bâtiment de maternité.
- Prélever les intestins de 2 à 5 porcelets pour l'histologie et l'IHC.
- Prélever les intestins ou le contenu /écouvillons fécaux de 5 porcelets et les tester en un seul pool par PCR.
Cochettes avec diarrhée +/- vomissements
- Prélever des fluides oraux dans 2 à 4 cases différentes et les analyser individuellement par PCR. Ne pas constituer de pools d'échantillons pour les tests.
- Prélever 10 à 15 écouvillons rectaux sur des truies présentant des signes cliniques ou prélever des échantillons au hasard et les analyser par PCR. Des pools de 5 échantillons peuvent être regroupés pour la PCR.
Test sur des cochettes isolées après exposition au virus vivant de la DEP avant l'introduction dans l'élevage de reproductrices
- Les tests ne sont pas recommandés, car la contamination de l'environnement sera élevée et les cochettes présenteront des résultats positifs dans les fèces ou les fluides oraux pendant plusieurs semaines, même après qu'elles ont cessé d'excréter le virus et qu’on soit sûr de les introduire dans l’élevage de reproductrices.
Porcs d'engraissement atteints de diarrhée aiguë post-sevrage
Prélever des fluides oraux dans 2 à 4 enclos différents et les tester individuellement par PCR. Ne pas constituer de pools d'échantillons pour les tests.
Prélever 10 à 15 écouvillons rectaux sur des animaux présentant des signes cliniques ou prélever des échantillons au hasard et les analyser par PCR. Les échantillons peuvent être regroupés par 5 pour la PCR.
















