
Importancia de la patología en el diagnóstico porcino
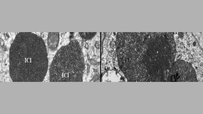
La histopatología puede proporcionar un marco sólido para establecer la causa real de un problema clínico.
Noticias, eventos y reportajes de actualidad del sector porcino
Los eventos de porcicultura que se organizan en México y todo el mundo
Un resumen semanal de las novedades de 3tres3 México
Boletín de noticias sobre el mundo del porcino
La salud del cerdo: noticias y artículos sobre PRRS, PCV2, bioseguridad, etc., guía de enfermedades del cerdo, atlas de patología, casos clínicos...
Cómo realizar una necropsia en un cerdo, paso a paso, de una forma muy visual y práctica.
Biocheck.UGent es un sistema de puntuación científico independiente, basado en riesgos, para evaluar la calidad de su bioseguridad en la granja.
Toda la información relevante sobre PPA: cómo reconocer la enfermedad, cómo se transmite, imágenes de lesiones, últimas noticias, guías...
Descripción de las enfermedades y afecciones más importantes del cerdo
Lesiones y signos de las principales enfermedades del cerdo
Herramienta para diagnosticar enfermedades del cerdo
Un diccionario sobre terminología específica de la porcicultura
Calcula la cantidad de medicamento a incorporar en el agua cuando usamos un dosificador de flujo
Un resumen semanal de las novedades de 3tres3 México
Precios del cerdo por países. Producción y comercio de carne de cerdo. Noticias del mercado del cerdo y las materias primas
Últimas cotizaciones del mercado porcino mexicano y de los principales países. Históricos de precios en diversas monedas y en formato gráfico.
Últimas cotizaciones de las materias primas para alimento de cerdos. Gráficas históricas junto con el precio del cerdo y estimación del precio del alimento.
Calcula tu costo de producción, compáralo con la referencia y valora como afecta cada parámetro al costo de producción total.
Datos de censos, producción de carne, número de granjas, etc.
Datos de producción y comercio mundial de las principales materias primas para la alimentación de cerdos como maíz y soya
Un resumen semanal de las novedades de 3tres3 México
Artículos sobre nutrición y alimentación de cerdos, características de las materias primas y aditivos para porcino y precios de las materias primas
Últimas cotizaciones de las materias primas para alimento de cerdos. Gráficas históricas junto con el precio del cerdo y estimación del precio del alimento.
Datos de producción y comercio mundial de las principales materias primas para la alimentación de cerdos como maíz y soya
Fichas técnicas de materias primas y aditivos para cerdos. Información de valores nutricionales, producción y comercio, estudios recientes...
Un diccionario sobre terminología específica de la porcicultura
Utiliza esta herramienta para diagnosticar problemas con el índice de conversión. Haz clic en el diagrama de flujo o en los botones dentro del texto para navegar por las distintas partes de la herramienta.
Un resumen semanal de las novedades de 3tres3 México
Artículos sobre selección genética y reproducción del cerdo.
Compara los datos productivos, calcula el número de plazas para cerdas, transición y cebo y visualiza tus tareas sobre el calendario según cada tipo de MEB.
Calcula las entradas de cerdas necesarias en una granja activa, una granja que inicia la actividad o una granja en expansión
Herramienta para comparar los datos reproductivos de tu granja con la base de datos BDporc y ver la evolución de los parámetros reproductivos de BDporc
Un diccionario sobre terminología específica de la porcicultura
Utiliza esta herramienta para investigar porque tu tasa de partos es inferior a la ideal. Da clic en el diagrama de flujo o en los botones dentro del texto para navegar por las distintas partes de la herramienta.
Un resumen semanal de las novedades de 3tres3 México
Manejo y gestión de las granjas de cerdos y organización del trabajo en las fases de producción: gestación, lactancia, engorda, sistema en bandas...
Compara los datos productivos, calcula el número de plazas para cerdas, transición y cebo y visualiza tus tareas sobre el calendario según cada tipo de MEB.
Calcula las entradas de cerdas necesarias en una granja activa, una granja que inicia la actividad o una granja en expansión
Calcula tu costo de producción, compáralo con la referencia y valora como afecta cada parámetro al costo de producción total.
Herramienta para comparar los datos reproductivos de tu granja con la base de datos BDporc y ver la evolución de los parámetros reproductivos de BDporc
Aquí puedes comparar diversos objetos o juguetes usados como material de enriquecimiento ambiental para prevenir las mordeduras de cola en cerdos.
Un diccionario sobre terminología específica de la porcicultura
Un resumen semanal de las novedades de 3tres3 México
Diseño de instalaciones y equipos para granjas de cerdos: diseño de naves o casetas, climatización, sistemas de alimentación, etc. Comparadores de equipos.
Biocheck.UGent es un sistema de puntuación científico independiente, basado en riesgos, para evaluar la calidad de su bioseguridad en la granja.
Calculadora de la Huella Ambiental a lo largo de la cadena de valor del sector porcino
¿Qué comedero se adapta mejor a mis necesidades? Aquí puedes comparar las características de diversos comederos comerciales para cerdos.
¿Qué bebedero se adapta mejor a mis necesidades? Aquí puedes comparar las características de diversos bebederos comerciales para cerdos.
Un diccionario sobre terminología específica de la porcicultura
Utiliza esta herramienta para investigar qué estrategia de gestión de purines se adapta mejor a tu situación. Da click en el diagrama de flujo o en los botones dentro del texto para navegar por las distintas partes de la herramienta.
Un resumen semanal de las novedades de 3tres3 México
Aquí encontrarás los autores especialistas en porcicultura que colaboran en 3tres3.com con información de su currículum
Joaquim Segalés i Coma nació en Vic (Barcelona) en 1968, y se licenció en la Facultad de Veterinaria de la Universitat Autónoma de Barcelona (UAB) en 1991. Posteriormente se doctoró en Veterinaria en 1996 por la misma Universidad después de haber realizado una estancia de 15 meses en la Universidad de Minnesota (UM) en Estados Unidos, y ser codirigido por los Drs. Mariano Domingo (UAB) y Carlos Pijoan (UM). El año 2000 consiguió la diplomatura del European Collage of Veterinary Pathology (ECVP). En el año 2004 se diplomó por el European College of Porcine Health and Management (ECPHM), del cual es miembró fundador y actual vicepresidente. Es profesor titular del Departament de Sanitat i d' Anatomia Animals de la Facultad de Veterinaria de la UAB, donde imparte docencia en el ámbito de la anatomía patológica y la clínica porcinal. Actualmente también es director del Centre de Recerca en Sanitat Animal (CReSA), localizado en la propia UAB.
El Dr. Segalés ha participado en múltiples proyectos de investigación, nacionales y de ámbito Europeo, especialmente versados en diferentes enfermedades del cerdo, así como también convenios de colaboración con empresas del sector tanto nacionales como internacionales. Entre las líneas de investigación donde ha participado o participa en la actualidad cabe destacar el virus del síndrome respiratorio y reproductivo porcino (PRRSV), Haemophilus parasuis, virus de la enfermedad de Aujeszky (ADV), Mycoplasma hyopneumoniae, virus de la hepatitis E (HEV), torque teno sus virus y enfermedades asociadas a circovirus porcino tipo 2 (PCV2). Cabe destacar que el Dr. Segalés participó en la primera descripción en España del síndrome de adelgazamiento multisistémico post-destete o circovirosis porcina en 1997 y del síndrome de dermatitis y nefropatía porcino en 1996. Fruto de estas investigaciones, es co-autor de más de 200 artículos en revistas científicas internacionales, así como coautor de 10 capítulos de libros de prestigio internacional en los cuales destaca Porcine circovirus diseases en la edición 9ª y 10ª del libro Diseases of Swine. También es coautor de un libro sobre la necropsia del ganado porcino, así como de tres libros de casos clínicos en el cerdo.
Curriculum actualizado: 14-may-2013

La histopatología puede proporcionar un marco sólido para establecer la causa real de un problema clínico.

La detección de lesiones pulmonares en frigorífico también permite estimar las pérdidas económicas.

Dependiendo de los niveles de inmunidad maternal, puede producirse una posible interferencia con la vacuna, comprometiendo la seroconversión y la eficacia de la vacuna.

Recoger datos en el frigorífico es un método habitual para obtener información sobre la salud y productividad, principalmente de las últimas semanas de vida del cerdo.

Donde estamos encontrando más evidencias del posible rol de PCV-3 es en ciertos problemas reproductivos.

La frecuencia de problemas graves con genotipo a era mucho menor que con genotipo b. ¿por qué cambió la frecuencia de estos genotipos?

En estos últimos años desde que apareció la vacuna frente a PCV-2 para solucionar la enorme problemática generada por la Circovirosis, ¿qué crees que ha cambiado y cómo afecta a las granjas? ¿ha cambiado algo en la presentación del PCV-2 en los últimos años?

La adaptación de primerizas se realizó en el 78% de las granjas encuestadas situadas en la UE. La vacunación fue la principal estrategia utilizada.

Los pesos medios de los lechones al parto en los 3 grupos de cerdas vacunadas fueron estadísticamente superiores a los de las cerdas no vacunadas.

Todas las vacunas disponibles en el mercado europeo y norteamericano están basados en el genotipo PCV2a, mientras que los que tienen más prevalencia son los PCV2b y PCV2d. Pese a que se ha demostrado un nivel significativo de protección cruzada entre estos tres genotipos, sería interesante evaluar si la eficiencia vacunal sería equivalente frente a todos estos genotipos.

Este artículo explica los factores a tener en cuenta para determinar el momento óptimo de la vacunación frente a PCV2 y muestra los resultados de un estudio que valora la eficacia de distintos programas vacunales en una granja con infección subclínica.

Recientemente, se ha sugerido que PCV2 es capaz de producir diarrea en cerdos y se ha propuesto la enfermedad entérica asociada a PCV2 (PCV2-ED) como una entidad separada dentro de las enfermedades asociadas a circovirus porcino (PCVDs).

En el escenario estudiado las pérdidas ocasinadas por un menor crecimiento ascienden a 13,1 € y 7,5 €/cabeza para los cerdos con una carga de PCV2 alta y media respectivamente.

Viendo que PCV2 posee una alta resistencia ambiental y altas capacidades de transmisión, no es sorprendente que tenga una distribución ubicua.

Puede que actualmente haya alguna duda sobre los efectos beneficiosos de la vacuna frente a PCV2, tanto en el aspecto clínico como económico en las infecciones subclínicas en lechones, pero… ¿cuál es el papel de la cerda? ¿es posible que la vacunación pueda tener efectos positivos en la infección subclínica de las cerdas?

La infección experimental por Mhyo y PCV2 ha proporcionado resultados un tanto divergentes.
Un resumen semanal de las novedades de 3tres3 México
Accede y apúntate a la lista
Bienvenido a 3tres3
Conecta, comparte y relaciónate con la mayor comunidad de profesionales del sector porcino.
¡Ya somos 195292 Usuarios!
Regístrate¿Ya eres miembro?



