Descripción de la explotación
Nuestra explotación se encuentra ubicada en una zona de Francia con alta densidad porcina. La explotación, de ciclo cerrado, cuenta con 270 madres con manejo en 7 bandas y con destete a los 28 días de vida.
Se mantienen las siguientes normas de bioseguridad:
|
La explotación se encuentra distribuida de la siguiente forma:
![]() |
Estatus sanitario
El estatus sanitario se considera bueno. La explotación es indemne a la enfermedad de Aujeszky y al PRRS.
Resultados técnicos
| Fertilidad mediante ecografía |
93,5%
|
| Nacidos totales/camada |
13,5
|
| Nacidos vivos/camada |
12,6
|
| Destetados/camada |
11,1
|
Programa de profilaxis
|
Aparición del caso
Tras observar la presencia de diarreas neonatales en los lechones procedentes de cerdas primíparas, el ganadero decide consultar al veterinario.
Las diarreas se inician durante el fin de semana, a menudo el domingo, es decir, entre 3 a 4 días después del parto y debilitan mucho a los lechones.
El tratamiento habitual utilizado por el ganadero (colistina vía oral más quinolonas mediante inyección) no ha dado resultados satisfactorios. Si bien la mortalidad es baja, los lechones no acaban de recuperarse totalmente (se trata de lechones de bajo peso la destete).
El veterinario decide programar la visita para el día de partos de la siguiente banda. Durante la visita dos de los lechones con diarrea y no tratados se envían al laboratorio para realizar un examen de las lesiones y un análisis bacteriológico.
Hipótesis
En este estadio tan inicial se plantean algunas posibles hipótesis:
|
Visita a la explotación
Visita a la maternidad el lunes siguiente al parto. Durante la visita todas las camadas de cerdas primíparas presentan diarrea líquida y amarillenta. Los lechones están delgados, deshidratados y encogidos. Las otras camadas presentan un estado normal.
![]() |
![]() |
1. Examen individual de las primerizas
Se examinan 8 primerizas observando:
|
2.
Examen de los lechones Política de adopciones
Las adopciones se realizan rápidamente tras el parto:
|
Remarcar que en el caso de las primíparas los partos no son provocados y también que, en principio, las adopciones de lechones procedentes de primíparas solo se realizan entre primíparas.
Adopciones realizadas:
|
N° primeriza |
Nacidos
vivos |
Lechones
que permanecen con la madre
|
Destino
|
Origen
|
|
1
|
13
|
12
|
1
pequeño hacia la n°8
|
|
|
2
|
10
|
10
|
2
procedentes de la n°8
|
|
|
3
|
14
|
12
|
2
pequeños hacia la n°8
|
|
|
4
|
10
|
10
|
3
procedentes de la n°8
|
|
|
5
|
13
|
13
|
||
|
6
|
11
|
11
|
1
procedente de la n°8
|
|
|
7
|
11
|
11
|
1
procedente de la n°8
|
|
|
8
|
7
|
0
|
7
hacia las n°2, 4, 6 y 7
|
12
procedentes 1 de la n°1, 2 de la n°3 y 9 de cerdas multíparas
|
Cuidado de los lechones
Tras el parto se realiza:
|
3. Otros
El ganadero comenta que hace varios meses los animales tuvieron problemas de artritis sobre 10-15 días con algunos casos de mortalidad brusca. En ese momento, el análisis de uno de los lechones, de 14 días de vida, dio como resultado:
|
Aparato circulatorio y hemato-linfopoyético
|
||||||||||||||||||||||||||||||||||||||||||||||||||||||||||||||||||||||||||||||||||||||||||||
|
Aparato respiratorio ![]()
|
||||||||||||||||||||||||||||||||||||||||||||||||||||||||||||||||||||||||||||||||||||||||||||
|
Aparato digestivo
|
||||||||||||||||||||||||||||||||||||||||||||||||||||||||||||||||||||||||||||||||||||||||||||
|
Cavidad abdominal
|
||||||||||||||||||||||||||||||||||||||||||||||||||||||||||||||||||||||||||||||||||||||||||||
|
Aparato locomotor:
|
||||||||||||||||||||||||||||||||||||||||||||||||||||||||||||||||||||||||||||||||||||||||||||
|
Bacteriología:
|
||||||||||||||||||||||||||||||||||||||||||||||||||||||||||||||||||||||||||||||||||||||||||||
Antibiograma
(*S
: sensible – I : intermedia– R : resistente)
|
||||||||||||||||||||||||||||||||||||||||||||||||||||||||||||||||||||||||||||||||||||||||||||
Visita a la cuarentena y al circuito de las primerizas hasta el parto
Teniendo en cuenta que el problema se encontraba circunscrito a las primerizas, la hipótesis de un problema de inmunidad condujo a examinar las diferentes etapas tras la llegada de éstas a la explotación.
1. Cuarentena
|
2. Cubrición
Las primerizas se reagrupan y se alojan en jaulas para poder realizar la sincronización e inseminar. En este punto, y debido al contacto con el microbismo de las cerdas multíparas, el ganadero no constata reacciones particulares (tos, retornos...).
3. Gestantes
Tras el control de la gestación mediante ecografía las primerizas son alojadas en grupos en una sala separada. A veces algunas cerdas multíparas pueden ocupar las plazas libres que quedan.
Resultados de los análisis
Análisis de laboratorio
Los análisis realizados sobre los dos lechones de 4 días de vida con diarrea que fueron enviados al laboratorio han dado los siguientes resultados:
Autopsia:
|
Bacteriología y otros:
|
Lechón
n° 1
|
Lechón
n°2
|
|
| E. coli |
+
(H -)
|
+
(H-)
|
| Recuento (UFC/g) |
10
7
|
10
5
|
| Serotipado (0138K81, 0139K82, 0141K85) |
O141K85
|
-
|
| Adesinas (K88, K99, 987P, F41, F107, Eae, AIDA) |
-
|
-
|
| Toxinas (Sta, Stb, LT, Vte, East 1) |
Sta
|
-
|
| Clostridium perfringens |
-
|
-
|
| Clostridium difficile |
-
|
-
|
| Rotavirus |
-
|
-
|
Antibiograma para E. coli 0141K85 :
| Antibióticos |
Interpretación
(*)
|
||
|
S
|
I
|
R
|
|
| Aminósidos | |||
| Gentamicina (10 UI) |
X
|
||
| Espectinomicina |
X
|
||
| Apramicina |
X
|
||
| Neomicina |
X
|
||
| Betalactámicos | |||
| Amoxicilina |
X
|
||
| Ceftiofur |
X
|
||
| Fluoroquinolonas | |||
| Enrofloxacina |
X
|
||
| Marbofloxacina |
X
|
||
| Polipéptidos | |||
| Colistina |
X
|
||
| Quinolonas de 1ª generación | |||
| Ácido oxolínico |
X
|
||
| Flumequina |
X
|
||
| Sulfamidas y asociación | |||
| Trimetoprim-sulfa |
X
|
||
| Trimetoprim |
X
|
||
| Tetraciclinas | |||
| Oxitetraciclina |
X
|
||
Medidas tomadas y evolución del caso
Con todos estos resultados el diagnóstico es: Diarrea neonatal debida a E. coli
Teniendo en cuenta, pues, el diagnóstico se aconseja tomar las siguientes medidas:
1. Consejos y medidas técnicas
|
2. Preparación de una autovacuna
Si las medidas anteriores no funcionan, entonces se preparará una autovacuna a partir de aislados de E. coli y se vacunará a las cerdas a las 6 y 3 semanas antes del parto.
3. Tratamiento de los lechones enfermos
Inyección con ceftiofur a partir de la aparición de las primeras diarreas.
4. Medidas de higiene
Intensificar la desinfección en las maternidades realizando una doble desinfección del suelo (slat de hormigón) y realizar un análisis bacteriológico del agua de bebida en la entrada en maternidad.
Evolución del caso
El ganadero decide implementar las medidas aconsejadas y sigue el nuevo protocolo de adopciones y cuidados en 3 bandas así como el protocolo de contaminación de las primerizas utilizando diarrea de lechones. Sin embargo, el problema persiste y el tratamiento con ceftiofur no da los resultados esperados, es por ello que inicia el siguiente paso y pone en marcha la autovacunación.
Tras 3 meses de haber tomado las medidas necesarias y no obtener buenos resultados, el ganadero decide llamar de nuevo al veterinario. Además, el análisis bacteriológico del agua de bebida de la maternidad mostró una contaminación bacteriológica dentro del circuito:
| Parámetros |
Muestra
1
|
| Coliformes totales |
5
ger/100 ml
|
| Coliformes fecales |
3
ger/100 ml
|
| Estreptococos fecales |
1
ger/100 ml
|
Buscando
la causa de esta contaminación, el ganadero se da cuenta de la existencia
de un depósito exterior destinado a minimizar las variaciones de presión
que no se ha limpiado nunca. Para el ganadero, la importante contaminación
del depósito exterior es, sin ningun tipo de duda, la causa de los problemas
de forma que decide limpiar el depósito y realizar un tratamiento suplementario
del agua con peróxidos. Sobre la siguiente banda la mejora es total, no aparecen diarreas en ninguna de las camadas de las primerizas.
Sin embargo, en la banda siguiente aparecen nuevamente diarreas en las camadas procedentes de primerizas. El ganadero llama de nuevo al veterinario.
Nueva visita a la explotación
Durante
la visita no se observa ningún nuevo factor de riesgo. Se decide realizar de nuevo un análisis bacteriológico sobre dos nuevos lechones afectados por diarrea y completar el análisis con una histología del intestino.
Resultados de los análisis
La autopsia no muestra lesiones diferentes a las ya observadas en las autopsias realizadas con anterioridad sobre dos lechones enfermos.
El veterinario pide al bacteriólogo que realice un examen en profundidad. Los resultados obtenidos son los siguientes:
|
Lechón
n° 1 |
|
|
Lechón
n° 2 |
|
El antibiograma de Enterococcus hirae es elocuente
| Antibióticos |
Interpretación
(*)
|
||
|
S
|
I
|
R
|
|
| Aminósidos | |||
| Gentamicina (10 UI) |
X
|
||
| Espectinomicina |
X
|
||
| Betalactámicos | |||
| Amoxicilina |
X
|
||
| Ceftiofur |
X
|
||
| Fluoroquinolonas | |||
| Enrofloxacina |
X
|
||
| Marbofloxacina |
X
|
||
| Varios | |||
| Tiamutina |
X
|
||
| Quinolonas de 1ª generación | |||
| Flumequina |
X
|
||
| Macrólidos | |||
| Tilosina |
X
|
||
| Espiramicina |
X
|
||
| Tilmicosina |
X
|
||
| Macrólidos lincosamidas | |||
| Lincomicina |
X
|
||
| Sulfamidas y asociación | |||
| Trimetoprim-sulfa |
X
|
||
| Fenicoles | |||
| Florfenicol |
X
|
||
| Tetraciclinas | |||
| Doxiciclina |
X
|
||
| Tetraciclina |
X
|
||
El resultado histológico aporta también información importante para este caso:
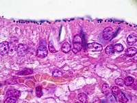
Cada una de las muestras se examinó en 1 plano de corte. Se observaron las mismas alteraciones para ambos lechones, siendo siempre más severas en el lechón nº 2. Las vellosidades son cortas en algunas zonas y las glándulas de Lieberkühn alargadas y bordeadas por enteroblastos. El epitelio velloso presenta algunas atrofias en zonas de la región vellosa apical. Este epitelio se encuentra tapizado por una población bacteriana muy abundante en el lechón nº 2 , siendo más irregular en el nº 1. Si bien las bacterias más abundantes son del tipo coccidias, en el animal nº 1 se presentan asociadas a bacterias de tipo bacilar más típicas. Se observaron imágenes raras de necrosis enterocitaria. Cuando la densidad bacteriana es baja, las vellosidades parecen más largas.
![]() |
![]() |
|
x 40 aumentos
|
x
100 aumentos
|
Conclusión
Nos encontramos en presencia de una lesión de enteritis de origen bacteriano (cocci).
Diagnóstico
El diagnóstico definitivo es: diarrea neonatal debida a Enterococcus hirae
A la luz de estos resultados se decide cambiar el tratamiento por amoxicilina inyectable durante 3 días.
A partir de la instauración de la amoxicilina el ganadero constató la eficacia del nuevo tratamiento y consiguió limitar el impacto de las diarreas.
| Nota
del laboratorio La identificación bioquímica del género Enterococcus no permite diferenciar de forma exacta Enterococcus durans de E.hirae y E.villorum. Las técnicas de biología molecular permiten en la actualidad identificar de forma más precisa a este grupo. En este caso, se identificó como Enterococcus hirae. |
Comentarios
Un una explotación de ciclo cerrado ciclo cerrado de 270 madres, situada en una zona con elevada densidad porcina de Francia aparecieron casos de diarreas en lechones procedentes de madres primíparas. Las diarreas, que aparecían a los 3 a 4 días después del parto, debilitaban mucho a los lechones.
En este caso estas diarreas fueron debidas a Enterococcus hirae.
Las diarreas neonatales son frecuentes y, en algunas explotaciones persisten a pesar de los planes vacunales y los tratamientos efectuados.
Si bien es cierto que en este caso, donde las diarreas afectan únicamente a las camadas procedentes de primíparas, en un principio se relacionaba con un problema de inmunización de esta subpoblación en particular, no siempre es fácil de solucionar.
|
La realización de un examen histológico se muestra muy interesante para establecer un diagnóstico.
Por otro lado, la prevalencia de las diarreas debidas a Enterococcus hirae/durans seguramente se encuentre subestimada en Francia. En el año 2000, en los Estados Unidos, la prevalencia de problemas de diarreas en lechones lactantes era del 12% para las explotaciones y del 5% para los lechones.
|
%
Explotaciones positivas
|
%
Lechones positivos
|
|
| Rotavirus |
42
|
36
|
| Clostridium difficile |
55
|
29
|
| Sin diagnosticar |
3
|
22
|
| PRRS |
15
|
10
|
| Enterococcus durans |
12
|
5
|
| G.E.T. |
6
|
3
|
| E. Coli |
9
|
3
|
| Enteritis necrótica debida a Clostridium |
6
|
2
|
| Fuente: M. Yaeger, American Association of Swine Veterinarians, 2001 | ||
Es posible encontrar más información sobre algunos Enterococcus en el artículo "Enterococcus villorum sp., an enteroadherent bacterium associated vith diarhoea piglets", M. Vancanneyrt, C. Snauwaert, I. Cleenwerck, M. Baele publicado en el International Journal of Systematic and Evolutionnary Microbiology (2001), 51, 393-400.







