El crecimiento óseo es un proceso dinámico. Los osteoblastos participan en la construcción de una trama proteica (osteogénesis) la cual, impregnada de minerales se solidifica. Los osteoclastos destruyen la trama proteica (osteolisis). En la fase de crecimiento la actividad de los osteoblastos es más importante. Luego se equilibra con los osteoclastos: esta remodelación contribuye al fortalecimiento de la estructura ósea.
![]() |
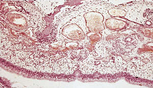
| Sección histológica de hocico de cerdo con Rinitis Atrófica: resorción ósea con hiperplasia de los osteoclastos y sustitución por tejido fibroso, congestión de los vasos capilares, edema y presencia de una infiltración de la submucosa por células mononucleares. |
En presencia de Rinitis Atrófica el hocico se deforma por la acción de las toxinas de las dos bacterias.
Bordetella bronchiseptica se adhiere a la superficie de las células de la mucosa nasal, se multiplica y produce toxinas. Estas se propagan en la superficie del tejido óseo y provocan inflamación, proliferación y degeneración de los tejidos, especialmente de las volutas de los cornetes inferiores. La regeneración es imperfecta, el crecimiento irregular de los huesos induce a una braquignatia (acortamiento del maxilar superior).

Pasteurella multocida toxigénica, reforzada por Bordetella bronchiseptica y/o algunos agentes irritantes produce una toxina a nivel del hocico pero también en otros lugares.
Asistimos pues a una atrofia de las glándulas mucosas, una hiperplasia del epitelio, un aumento del volumen de los vasos sanguíneos y una acentuación de la osteolisis. La trama ósea, los tejidos osteogénicos y osteoclásticos son reemplazados por un mesénquima.
Microscópicamente hablando, la Rinitis Atrófica Progresiva puede ser vista como una combinación de una degradación precoz de la osteogénesis, de una ostelisis marcada y de un reemplazo del hueso por una estructura fibrosa.
Todas estas perturbaciones en los tejidos del hocico son el origen de signos clínicos más o menos específicos de la Rinitis Atrófica.
La contaminación del lechón puede tener lugar tras el nacimiento.
Los primeros síntomas son olfatear y estornudar. Es por ello que a menudo la Rinits Atrófica se confunde con la rinitis por cuerpos de inclusión o rinitis de Done.
Después de las dos semanas de vida a los 3 meses todos los otros signos clínicos, más específicos, aparecerán uno tras otro.
La obstrucción de las vías lagrimales causa lagrimeo, que se manifiesta por las huellas típicas de las lágrimas, en forma de hoz bajo los ojos.
La secreción nasal se acentúa, hasta la aparición de hemorragias nasales en algunos cerdos: esta hemorragia (epistaxis) es característica de la Rinitis Atrófica Progresiva.
El hocico se acorta dorsalmente, se aplana y la piel se arruga: el perfil de un cerdo afectado cambia y puede detectarse en la explotación.
En la mayor parte de casos, se puede observar un acortamiento del maxilar superior (braquignatia). A veces este acortamiento se acompaña de una desviación característica del hocico debido al crecimiento heterogéneo de los huesos de la mandíbula.
Otro signo característico es el “retroceso” de los incisivos superiores, visible hasta en lechones muy jóvenes. La mala confrontación entre ambos maxilares puede causar problemas de prensión de los alimentos y de masticación, provocando retrasos en el crecimiento.
![]() La obstrucción de las vías lagrimales causa lagrimeo, que se manifiesta por las huellas típicas de las lágrimas, en forma de hoz bajo los ojos. |
![]() “Retroceso” de los incisivos superiores, visible hasta en lechones muy jóvenes. La mala confrontación entre ambos maxilares puede causar problemas de prensión de los alimentos y de masticación, provocando retrasos en el crecimiento.
|
Las toxinas bacterianas inducen por otra parte lesiones en el hígado y los riñones.
Macroscópicamente, la Rinitis Atrófica del cerdo se caracteriza por:

- estornudos y respiración alterada
- lagrimeo
- secreciones nasales, hasta hemorragias nasales
- deformación de la cara
- mala alineación de los dientes del maxilar superior con los del maxilar inferior
La velocidad de aparición de los síntomas clínicos en las granjas, así como la gravedad de las lesiones generadas, están relacionadas con la presión de infección. Así, la mejora de las condiciones de crianza puede retrasar la aparición de síntomas clínicos en animales vivos. La Rinitis Atrófica será luego más difícil de detectar en una visita de granja, mientras lesiones importantes se podrán detectar en el matadero y que el impacto de la enfermedad en el rendimiento técnico-económico ya se notará (ver artículo "Un pequeño agujero en el hocico, unos serios problemas para el futuro (patogenia y coste))".




