Gli agenti batterici che causano la polmonite nei suini possono essere classificati come agenti primari, quelli in grado di causare lesioni da soli, tra i quali spiccano Mycoplasma hyopneumoniae, Actinobacillus pleuropneumoniae, Bordetella bonchiseptica ed alcuni ceppi di Pasteurella multocida, e come agenti secondari, quelli che agiscono dopo la precedente infezione di un agente primario o in stati di compromissione immunologica, tra i quali possiamo trovare la maggior parte dei ceppi di P. multocida, Streptococcus suis, Glaesserella parasuis (anteriormente Haemophilus parasuis) e Trueperella pyogenes.
Tra gli agenti primari acquisisce particolare importanza il M. hyopneumoniae, agente causale della polmonite enzootica suina, processo cronico caratterizzato da gravi perdite economiche negli allevamenti di suini associate ad una riduzione dell'incremento medio giornaliero, un aumento dell'indice di conversione ed un aumento della mortalità a causa di infezioni secondarie. Questo procariota, che appartiene alla classe Mollicutes, è caratterizzato dalla mancanza di una parete, essendo molto pleomorfo, con DNA circolare a doppio filamento ed una capsula polisaccaridica con fibrille radiali, ed è molto difficile da coltivare.

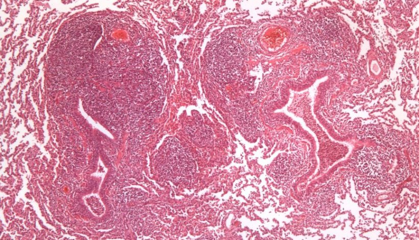
Per svolgere la sua azione patogena, si lega alle ciglia delle cellule dell'epitelio respiratorio, causando la loro perdita ed alterando la funzione dell'apparato mucociliare, il che significa che le secrezioni polmonari, le particelle inalate e i patogeni che entrano per via aerea non possono essere rimossi e passano al tratto respiratorio inferiore, dove si verifica una complicazione del processo respiratorio. A livello polmonare, questo agente provoca polmonite broncointerstiziale che è caratterizzata macroscopicamente dalla comparsa di aree di consolidamento di color rosso, ben delimitate dal resto del parenchima, nelle porzioni cranio-ventrale del polmone (figura 1). A livello microscopico, si osserva iperplasia del tessuto linfoide peribronchiale, peribronchiolare e perivascolare, che è molto caratteristica di questo processo (Figura 2).


L'A. pleuropneumoniae (App) È un bacillo gram-negativo incapsulato di morfologia coccobacillare e di cui esistono due biotipi, biotipo I, nicotinamide adenina dinucleotide (NAD) dipendente e biotipo II, NAD indipendente. Esistono 18 sierotipi: 1-12 e 15-18 appartengono al Biotipo I, mentre i sierotipi 13 e 14 appartengono al Biotipo II. L'App produce 4 tossine, Apx I, II e III, tipiche di alcuni ceppi, e Apx IV, comuni a tutti i ceppi, quindi quest'ultima tossina è l'obiettivo su cui si basano vari test diagnostici ELISA indiretti. Questo batterio colonizza le tonsille e da lì va al sistema respiratorio inferiore, attaccandosi ai pneumociti alveolari, dove secerne le tossine, che avranno effetti emolitici e citotossici, alterando la funzione delle cellule endoteliali e i fenomeni di fagocitosi dei macrofagi alveolari, che darà origine all'attivazione della cascata di coagulazione, formazione di microtrombi e fenomeni di necrosi ischemica, che sono responsabili della lesione più caratteristica di questo patogeno, la comparsa di zone di infarto nel polmone.
Il modello di danno polmonare che provoca è quello di una broncopolmonite fibrinosa in cui in casi iperacuti e acuti si osservano lesioni soprattutto nelle porzioni dorso-caudali del polmone (Figura 3), con aree di necrosi da coagulazione (infarto) ed emorragia, friabili e con aspetto marmoreo al taglio. Microscopicamente, si può vedere la presenza di fibrina e leucociti degenerati nel lume degli alveoli, bronchi e bronchioli, aree di necrosi ed emorragia di diversa estensione, ed edema alveolare e interstiziale e la comparsa di pleurite fibrinosa. Queste stesse lesioni possono essere prodotte da alcuni ceppi molto virulenti di P. multocida, pertanto, sarà necessario aiutarci con la storia clinica, la presentazione di lesioni macroscopiche e l'analisi microbiologica al fine di effettuare una diagnosi assertiva.
L'A. pleuropneumoniae può anche essere in forma cronica, in cui si manifesta la diffusione ematogena di lesioni acute con la comparsa di lesioni multifocali di color biancastro e di dimensioni variabili per tutto il polmone.

La maggior parte dei ceppi di P. multocida agiscono come agenti secondari ed il tipo di lesione che si produce può variare da una broncopolmonite fibrinosa fino ad una broncopolmonite catarro-purulenta. Nella prima si produce un essudato di fibrina sull'alveolo accompagnato da deposito di fibrina sulla superficie della pleura. Inoltre, nel polmone si producono focolai di necrosi da coagulazione, come conseguenza dei fenomeni di trombosi nei vasi sanguigni. Nella broncopolmonite purulenta catarrale, un essudato mucoso o catarro-purulento appare nelle vie respiratorie (trachea, bronchi e bronchioli) e nel lume degli alveoli (Figura 4). Un altro agente che causa questo tipo di broncopolmonite, specialmente nelle prime settimane di vita, è la B. bronchiseptica, una lesione che può anche essere accompagnata da un processo di rinite atrofica non progressiva.

Agenti batterici come T. pyogenes e S. suis possono essere correlati con processi di polmonite embolica, associata a processi di onfaloflebite, infezioni batteriche della pelle o degli unghielli (T. pyogenes) o a casi di endocardite murale (S. suis), quadri in cui i batteri raggiungono il polmone per via ematica da queste lesioni. Macroscopicamente, si osservano lesioni multifocali biancastre in tutto il polmone e possono variare di dimensioni da 1 mm a 2 cm di diametro, circondate da un alone rossastro nei casi più acuti e che si evolvono rapidamente verso la formazione di ascessi (figura 5).

In casi di pleurite fibrinosa, in cui, oltre alla pleura, si osservano depositi di fibrina su altre superfici sierose, spiccano principalmente tre batteri: G. parasuis, M. hyorhinis e / o S. suis. Queste lesioni possono passare clinicamente inosservate in molte occasioni e si troveranno al macello dove possiamo osservare aumenti delle aderenze pleuriche a causa della cronicizzazione di questi processi (Figura 6).


Sebbene la maggior parte dei batteri che colpiscono il sistema respiratorio sono agenti opportunisti, bisogna sempre tenere presente i due agenti batterici primari che possono essere considerati tra i più patogeni nei suini: M. hyopneumoniae e A. pleuropneumoniae.












