
Un resumen semanal de las novedades de 3tres3 Latam
Accede y apúntate a la lista
Artículos - Sanidad

Caso clínico: Problemas respiratorios por H. parasuis
El granjero detecta que algún animal empieza a toser y que tiene un poco de disnea y mucosidad.
Análisis laboratorial frente a Actinobacillus pleuropneumoniae
Análisis laboratorial frente a influenza porcina
Caso clínico: Diarrea debida principalmente a Clostridium
Caso clínico: Síndrome gripal debido a H1N2 con complicaciones bacterianas

Bienvenido a 3tres3
Conecta, comparte y relaciónate con la mayor comunidad de profesionales del sector porcino.
¡Ya somos 191029 Usuarios!
Regístrate¿Ya eres miembro?


Social 333
Análisis laboratorial frente a mal rojo
Erradicación del virus de PRRS: ¿de dónde venimos y a dónde vamos?
Sensibilidad y especificidad de un test

Caso clínico: Alergia al serrín de maderas tropicales
Se realiza la visita apreciándose un cuadro “muy raro” donde se observa algo de sintomatología nerviosa (incoordinación), anorexia, apatía, aparentemente fiebre y también una dispnea muy acusada.
Análisis laboratorial frente a parvovirosis
Análisis laboratorial frente a Streptoccocus suis


Caso clínico: Artritis por Escherichia coli 078 K80
Hace unos meses que se ha observado un incremento de las cojeras en las primerizas, pero también en lechones lactantes y destetados.
Estrategias de muestreo para análisis laboratorial
Análisis laboratorial frente a colitis y diarreas por Clostridium
Análisis laboratorial frente a Aujeszky

Caso clínico: Infección por Salmonella typhimurium
Los animales de una sala de engorde tosen (hecho totalmente inusual en esta granja), pero el sustituto no le ha dicho nada al respecto. En este grupo se encuentran dos animales muertos.
Análisis laboratorial frente a PRRS



Caso clínico: Cuadro nervioso en lechones lactantes y metritis en reproductoras
Nos llama el veterinario de la cooperativa para solicitar nuestra opinión sobre un problema de descargas vaginales en las cerdas y sobre un cuadro nervioso que afecta a los lechones en lactación
Caso clínico: Infección pulmonar polimicrobiana

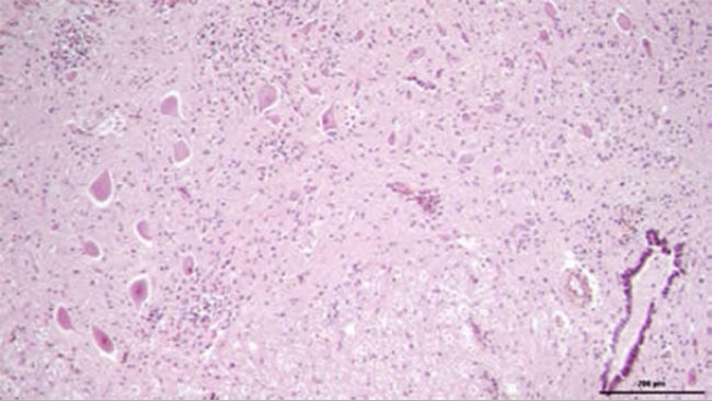
Caso clínico: Enfermedad de Talfan
En una explotación de ciclo cerrado de 250 madres situada en la Bretaña francesa el ganadero observa la presencia de desórdenes neurológicos de tipo paresia de la parte posterior en lechones destetados.
Análisis laboratorial frente a Mycoplasma hyopneumoniae
Análisis laboratorial frente a rinitis atrófica
Detección de la seroconversión

Simulador de medicación en agua

Un resumen semanal de las novedades de 3tres3 Latam
Accede y apúntate a la lista