
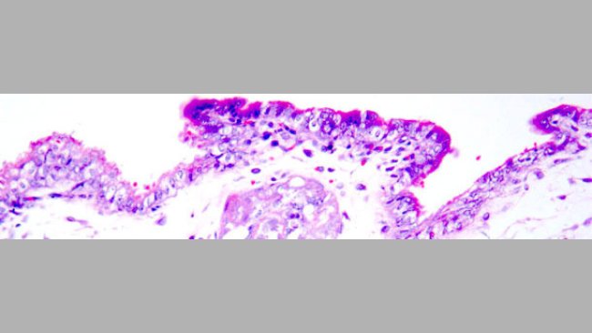
IA en nulíparas con semen contaminado con PCV2. Protección mediante vacunación de nulíparas frente a PCV2
La vacunación de las primerizas frente a PCV2 antes de la insemianción con semen infectado con PCV2 disminuyó claramente la carga y la excreción viral, hasta valores compatibles con la protección de los fetos.




