El circovirus porcino tipo 2 (PCV2) es endémico en las granjas de cerdos y se ha demostrado viremia y excreción tanto en lechones neonatos como en cerdos adultos. La reducción de la circulación de PCV2 es una estrategia de protección que puede alcanzarse con varias medidas profilácticas directas e indirectas. Desde 1999 se tienen evidencias de campo de infección transplacental por PCV2 asociada con fallo reproductivo. Los objetivos de este proyecto fueron, en una primera fase, la evaluación de las consecuencias clínicas y patológicas de la infección por PCV2 en nulíparas convencionales seropositivas a PCV2 mediante la inseminación con semen contaminado con PCV2b y, en una segunda fase, evaluar la viremia, la excreción y la carga viral en tejidos maternos y fetales en nulíparas convencionales, vacunadas o no frente a PCV2, que procedían de una explotación positiva a PCV2, al ser expuestas durante la inseminación artificial utilizando semen contaminado experimentalmente con PCV2.
El primer experimento se llevó a cabo con 9 nulíparas convencionales, divididas aleatoriamente en dos grupos: 6 fueron inseminadas con semen contaminado con PCV2 y 3 con semen no contaminado. Entre las nulíparas infectadas, el animal con los títulos de anticuerpos más bajos frente a PCV2 (1/100) al principio del experimento y otro que alcanzó valores similares durante el experimento mostraron seroconversión evidente en el tiempo y también tuvieron fetos positivos a PCV2. Una placenta mostró una leve necrosis focalizada en el epitelio coriónico que se tiñó positivamente en la inmunohistoquímica frente al antígeno de PCV2. Los resultados obtenidos sugieren que: las nulíparas seropositivas a PCV2 pueden infectarse con PCV2 tras exposición intrauterina; los títulos bajos de anticuerpos pueden aumentar la probabilidad de infección fetal; las lesiones placentales debidas a PCV2 pueden representar una causa adicional de sufrimiento fetal en una infección por PCV2; y la infección por PCV2 alrededor de la inseminación puede afectar a los embriones.


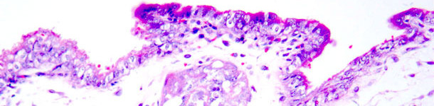
Fig. 1 - Necrosis coagulativa en trofoblastos. Tinción hematoxilina-eosina.
Para analizar la protección inducida por una de las vacunas frente a PCV2 registradas para cerdas, se repitió el mismo diseño experimental incluyendo 15 nulíparas convencionales, originarias de una explotación positiva a PCV2. Las nulíparas se dividieron aleatoriamente en tres grupos, 12 fueron inseminadas con semen contaminado con PCV2, 6 de las cuales fueron vacunadas dos veces con una vacuna para cerdas frente a PCV2 a las 5 y a las 2 semanas antes de la inseminación (vacunadas-infectadas = VI) y 6 no fueron vacunadas (no vacunadas-infectadas = NVI), otras 3 permanecieron no vacunadas y no infectadas con el semen contaminado (Control = C). Se obtuvieron los siguientes resultados:
a) los PCR indicaron que la mayoría de las nulíparas NVI y C eran virémicas frente a PCV2 antes de la inseminación así como en muchos momentos durante el periodo de observación (hasta 56 días tras la inseminación), al contrario que las vacunadas-infectadas (VI) que mostraron un número muy bajo de resultados positivos en muestras sanguíneas;
b) el grupo VI mostró un número significativamente menor de positivos en muestras recogidas in vivo en comparación con los grupos NVI y C;
c) en el grupo VI se observó un menor porcentaje de placentas y ningún feto positivo a PCV2 mediante PCR, en comparación con NVI y C. Éstos dos grupos mostraron un mayor porcentaje de placentas y fetos positivos a PCV2, además de 3 líquidos amnióticos positivos en el grupo NVI y un feto positivo en el C;
d) en el grupo VI pocas muestras presentaron una carga viral elevada, ≥ 108 PCV2 copias genómicas/ml. El nivel de anticuerpos en el grupo VI resultó ser menor que el de NVI y C, probablemente debido a una menor estimulación inmune a lo largo del tiempo.
Por lo tanto, es posible que el nivel de anticuerpos no sea el único efecto vacunal; un aumento de la respuesta inmune a PCV2 puede prevenir la entrada del virus y, en consecuencia, su diseminación así como reducir la posibilidad de infección de los fetos y del líquido amniótico.

Fig. 2 - Tinción marrón por inmunohistoquímica del antígeno de PCV2b en trofoblastos necróticos.
Cromógeno diaminobenzidina y contraste de hematoxilina.
En estos experimentos, la inseminación de nulíparas convencionales con semen contaminado experimentalmente con PCV2 provocó infección en los fetos así como placentitis, mientras que una vacunación de las mismas frente a PCV2 antes de la IA mostró una clara reducción de la carga viral en las nulíparas así como una excreción viral mucho menor que era compatible con la protección fetal.

