Test disponibili:
Polymerase chain reaction (PCR)
- Rileva la presenza di una sequenza specifica di acido nucleico virale (RNA).
- Tipi di campioni: tessuti intestinali, feci, tamponi rettali, fluidi orali, ecc.
- Pro:
- Sensibilità molto elevata (può rilevare piccole quantità di virus).
- Rilevazione precoce: i casi acuti dovrebbero essere positivi.
- Possono essere utilizzati molti tipi diversi di campioni (tessuti intestinali, feci, tamponi rettali, fluidi orali, ecc.).
- Costo moderato:
- Spesso è possibile combinare 10 campioni di feci/tamponi o tessuto intestinale per ridurre i costi e minimizzare la perdita di sensibilità.
- I campioni di fluido orale solitamente non vengono raggruppati perché il valore Ct (numero di cicli necessari per amplificare l'RNA virale a un livello rilevabile) sarà più elevato (perché le concentrazioni del virus sono inferiori), il che può portare a una significativa perdita di sensibilità.
- Contro:
- Il sequenziamento è necessario per differenziare il virus vaccinale dall'infezione da virus di campo.
- La contaminazione ambientale può generare molti risultati positivi: i suini infetti diffondono grandi quantità di virus.
Enzyme-linked immunosorbent assay (ELISA)

- Rileva la presenza di anticorpi.
- Tipi di campioni: siero, fluidi orali.
- Pro:
- Gli animali rimangono positivi per diverse settimane, soprattutto per le IgA nei fluidi orali.
- Può essere utilizzato nei casi cronici.
- Contro:
- Potrebbero esserci differenze nel rilevamento tra i diversi test.
- Sono necessari dai 7 ai 14 giorni affinché gli animali diventino sieropositivi..
- Non distingue tra anticorpi materni e anticorpi da esposizione.
- Non distingue tra vaccinazione e infezione da virus di campo.
- È meglio avere un ELISA che rilevi i livelli di IgA, soprattutto nei fluidi orali.
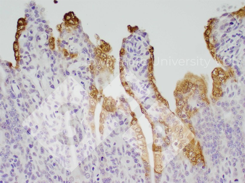
Immunohistochemistry (IHC)
- Rileva la presenza dell'antigene virale.
- Tipi di campioni: tessuti intestinali.
- Pro:
- Rileva il virus nel punto della lesione (buona prova di causalità).
- Consente di distinguere tra quantità basse, moderate ed elevate di virus presenti.

- Contro:
- È necessario inviare il campione di tessuto corretto.
- Richiede una quantità di virus significativamente maggiore rispetto alla PCR.
- Valuta solo una piccola quantità di tessuto.
- Nei suinetti i villi intestinali vengono distrutti rapidamente, determinando cambiamenti drammatici nella quantità di virus presente (colorazione) in soli 2 giorni.
Indirect fluorescent antibody (IFA)
- Rileva la presenza di anticorpi.
- Tipi di campioni: siero.
- Pro:
- Alta sensibilità per il rilevamento.
- Contro:
- Non fattibile per un gran numero di campioni.
- I risultati dipendono dall’isolato virale utilizzato nel test.
- L'affidabilità dipende in gran parte dall'abilità dei tecnici e varia in modo significativo tra i laboratori.
Interpretazione dei risultati:
PCR
- Positivo: Il virus è presente. Una recente vaccinazione con un virus vivo modificato può dare risultati PCR positivi. Grandi quantità di virus vengono eliminate dopo l'infezione (valori Ct molto bassi; cifra singola), soprattutto nei suini giovani. L'eliminazione e la contaminazione ambientale possono verificarsi in un lungo periodo di tempo.
Tabella 1. I suini infetti eliminano grandi quantità di virus nelle feci (valori Ct a una cifra nella PCR) con conseguente estesa contaminazione ambientale.
| Ct PCR della PED rispetto al numero di copie genomiche | |
|---|---|
| 42 | 1 |
| 39 | 10 |
| 36 | 100 |
| 32 | 1.000 |
| 29 | 10.000 |
| 26 | 100.000 |
| 22 | 1.000.000 |
| 19 | 10.000.000 |
| 16 | 100.000.000 |
| 12 | 1.000.000.000 |
| 9 | 10.000.000.000 |
| 6 | 100.000.000.000 |
- Negativo: Negativo o il virus non viene rilevato se il test viene eseguito molto tempo dopo l'infezione.
ELISA
- Positivo: anticorpi materni o precedente esposizione (di solito > 7-14 giorni) al vaccino o al virus di campo.
- Negativo: negativo, infezione troppo recente per essere rilevata (di solito dovrebbe essere avvenuta almeno 7-14 giorni dopo l'esposizione) o è trascorso troppo tempo dopo l'infezione (soprattutto se si misurano le IgG sieriche).
IHC
- Positivo: Il virus è presente nel luogo della lesione.
- Negativo: Negativo o infezione troppo vecchia per rilevare il virus.
IFA
- Positivo: Anticorpi materni o precedente esposizione (di solito > 7-14 giorni) al vaccino o al virus di campo.
- Negativo: Negativo al vaccino o al virus di campo o infezione troppo recente per essere rilevata (normalmente dovrebbe essere almeno 7-14 giorni dopo l'esposizione).
Scenari
Diarrea nei suinetti con mortalità molto elevata in sala parto
- Raccogliere gli intestini da 2-5 suinetti per l'istologia e i test IHC.
- Raccogliere gli intestini o il contenuto fecale/tamponi da 5 suinetti e analizzarli come 1 pool mediante PCR.
Scrofette con diarrea +/- vomito
- Raccogliere i fluidi orali da 2 a 4 box diversi e analizzarli individualmente mediante PCR. Non raggruppare i campioni per i test.
- Raccogliere 10-15 tamponi rettali da scrofe con segni clinici o prelevare campioni casuali e analizzarli mediante PCR. I pool possono essere realizzati in gruppi di 5 per la PCR.
Testare le scrofette isolate dopo l'esposizione al virus PED vivo prima dell'introduzione nell'allevamento
- Il test non è raccomandato poiché la contaminazione ambientale sarà elevata e le scrofette risulteranno positive nelle feci o nei fluidi orali per diverse settimane, anche dopo che hanno smesso di diffondere il virus ed è sicuro introdurle nell'allevamento.
Suini da ingrasso con diarrea acuta post-svezzamento
- Raccogliere i fluidi orali da 2 a 4 box diversi e analizzarli individualmente mediante PCR. Non raggruppare i campioni per i test.
- Raccogliere 10-15 tamponi rettali da scrofe con segni clinici o prelevare campioni casuali e analizzarli mediante PCR. I pool possono essere realizzati in gruppi di 5 per la PCR.
















