Photo de la semaine

Semaine du 04-Jul-2022
Quelle est la cause de la mort de cet animal ?

Semaine du 27-Jun-2022
Quelle est l'étiologie de cette lésion intestinale ?

Semaine du 21-Jun-2022
Laquelle de ces bactéries n'est PAS liée à cette lésion ?

Semaine du 06-Jun-2022
Quelle lésion observe-t-on sur les voies aériennes et les poumons de ce porc en finition ?

Semaine du 30-Mai-2022
Quelle est la cause la plus probable de cet épaississement de l’enveloppe du cœur et des poumons sur un porcelet de 7 semaines ?

Semaine du 23-Mai-2022
Quelle est la cause de l’hypertrophie de ce foie et de cette rate sur un porc reproducteur adulte ?

Semaine du 16-Mai-2022
Quelle est l'étiologie de cette lésion faciale ?

Semaine du 09-Mai-2022
Quel est l’étiologie de ces lésions sur les ganglions de ce porc de basse-cour ?

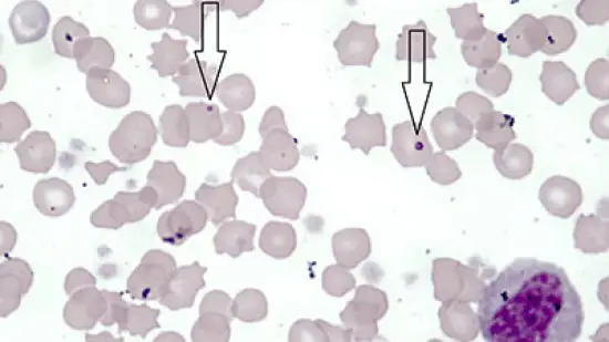
Semaine du 02-Mai-2022
Quels sont ces petits organismes de 1µm de diamètre (flèches) dans les globules rouges de cette nullipare pâle et anémique?

Semaine du 25-Avr-2022
Quelle maladie est associée avec la position de la tête de ce porc ?

Semaine du 19-Avr-2022
Quelle lésion peut-on observer sur cette amygdale?

Semaine du 11-Avr-2022
Quelle est la lésion observée sur ce porc boîteux ?

Semaine du 04-Avr-2022
Quelle est la lésion de cette truie atteinte de boîterie ?

Semaine du 28-Mar-2022
Quelle est la cause de cette lésion chez un porc élévé en plein-air mort avec le cou et la gorge inflammés ?

Semaine du 21-Mar-2022
Quelle est la cause de cette lésion ulcérée sur la peau du cou ?

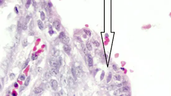
Semaine du 14-Mar-2022
Quels sont les organismes (flèche) dans la muqueuse de l'intestin grêle de ce porcelet avec diarrhée?

Semaine du 28-Fév-2022
Quelle est la cause de ces lésions cutanées sur la tête de ce porc ?

Semaine du 15-Fév-2022
La lésion observée sur cette photo est une...

Semaine du 31-Jan-2022
Comment s'appelle cette lésion cutanée ?

Semaine du 24-Jan-2022
La lésion observée sur ce cœur correspond à...

Semaine du 18-Jan-2022
Les points rouges observés au centre des lobules hépatiques sont évocateurs de...

Semaine du 10-Jan-2022
Cette colite fibrineuse et ulcérative n'est PAS associée à....

Semaine du 03-Jan-2022
Cette truie a avorté il y a quelques jours et elle a des lésions compatibles avec

Semaine du 27-Déc-2021
Que voyez-vous sur ce cœur ?

Semaine du 20-Déc-2021
Cette lésion est causée par....

Semaine du 13-Déc-2021
Quelle est la cause de cette œsophagite hyperplasique ?

Semaine du 06-Déc-2021
Quelle est la cause de cette lésion ?