
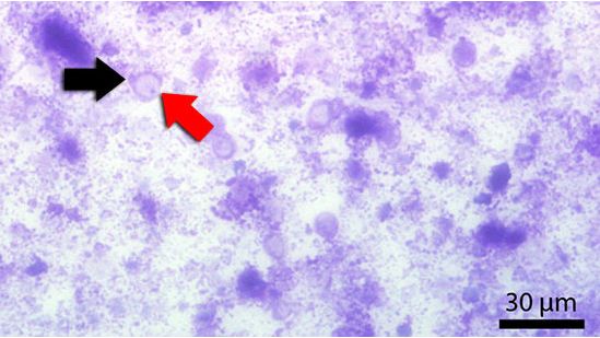
Cas clinique: Blastocystis sp.: devons-nous le considérer comme un nouveau pathogène intestinal ?
On n'a trouvé aucun entéro-pathogène en quantité cliniquement importante et donc l’infestation massive de Blastocystis sp a été considérée comme significative dans ce cas.




