X
XLinkedinWhatsAppTelegramTelegram
0
Lire cet article dans:

Importance de l'histopathologie dans le diagnostic chez le porc

L'histopathologie peut fournir un cadre solide pour établir la cause exacte d'un problème clinique.

Pour lutter contre un problème clinique donné, quelle que soit l'espèce animale, il est nécessaire d'établir un diagnostic précis de la maladie. Dans tous les cas, l'examen clinique du ou des patients est la pierre angulaire de la progression du diagnostic.

Les foyers soudains de maladie représentent un défi majeur pour les éleveurs et les vétérinaires, qui doivent identifier les causes du problème et agir pour rétablir la normalité. Dans ces circonstances, le vétérinaire porcin devient un enquêteur, car il doit évaluer de multiples éléments susceptibles de contribuer à la cause de la maladie dans un scénario complexe impliquant des aspects liés à l'environnement, à la nutrition, à la biosécurité, à l'épidémiologie, à la présence de multiples agents pathogènes et à l'interaction entre l'homme et le porc.

Les maladies affectant un groupe de porcs dans un élevage sont généralement d'origine infectieuse ou nutritionnelle (toxicité ou carence). La première approche diagnostique comprend toujours des investigations cliniques et épidémiologiques approfondies menées par le vétérinaire. Si l'évolution clinique se traduit par une mortalité ou des porcs gravement atteints, la nécropsie de certains d'entre eux (considérés comme représentatifs de l'affection) devrait fournir des indices sur la cause, ou du moins permettre d'exclure certaines étiologies.

La nécropsie doit être effectuée de manière ordonnée, systématique et approfondie.

La présence de lésions ne permet pas, dans la plupart des cas, de déterminer des causes précises, mais elle peut fournir des indications ou réduire la liste des diagnostics différentiels.

À titre d'exemple, les schémas de pneumonie macroscopique offrent un éventail de possibilités étiologiques, bien que dans plusieurs cas, il soit nécessaire d'aller plus loin et d'utiliser des tests (de laboratoire) complémentaires.

Pm : Pasteurella multocida ; Bb : Bordetella bronchiseptica ; Mhyo : Mycoplasma hyopneumoniae.
*Mhyo est souvent impliqué dans les bronchopneumonies suppurées en tant que pathogène initiateur (provoquant d'abord une pneumonie broncho-interstitielle).

Pm : Pasteurella multocida ; Bb : Bordetella bronchiseptica ; Mhyo : Mycoplasma hyopneumoniae.
*Mhyo est souvent impliqué dans les bronchopneumonies suppurées en tant que pathogène initiateur (provoquant d'abord une pneumonie broncho-interstitielle).

Mhyo: Mycoplasma hyopneumoniae

Mhyo: Mycoplasma hyopneumoniae

SDRP : virus du syndrome dysgénésique et respiratoire porcin ; PCV2 : circovirus porcin 2 ; CRPV : coronavirus respiratoire porcin ; PCV3 : circovirus porcin 3.
Le CRP, le PCV3 et d'autres virus, tels que les adénovirus, le virus de la maladie d'Aujeszky et d'autres, provoquent souvent des pneumonies interstitielles légères.

SDRP : virus du syndrome dysgénésique et respiratoire porcin ; PCV2 : circovirus porcin 2 ; CRPV : coronavirus respiratoire porcin ; PCV3 : circovirus porcin 3.
Le CRP, le PCV3 et d'autres virus, tels que les adénovirus, le virus de la maladie d'Aujeszky et d'autres, provoquent souvent des pneumonies interstitielles légères.

App: Actinobacillus pleuropneumoniae; As: Actinobacillus suis; Pm: Pasteurella multocida

App: Actinobacillus pleuropneumoniae; As: Actinobacillus suisPm: Pasteurella multocida

Analyse de laboratoire : tout ce qui brille n'est pas de l'or !

Différentes approches analytiques permettent d'identifier les éventuels agents pathogènes (virus, bactéries, parasites, champignons) ou toxines impliqués dans un problème clinique. Les plus utilisées aujourd'hui sont les tests de biologie moléculaire, comme la PCR ( » polymerase chain reaction ») et ses variantes (qualitative, quantitative, pour l'ADN ou l'ARN). Le grand avantage de cette technique est sa sensibilité (capacité à détecter des quantités infimes de génome pathogène ou de gène codant pour une toxine), mais elle présente aussi un inconvénient, car la simple détection d'un pathogène ou d'une toxine dans un contexte endémique n'est pas suffisante pour établir un diagnostic étiologique sans équivoque.

D'autres techniques de laboratoire telles que l'isolement bactérien (y compris l'antibiogramme) sont très utiles, car elles permettent d'établir un diagnostic étiologique et offrent la possibilité d'un traitement efficace. D'autre part, les techniques de détection des anticorps sont d'excellents outils de surveillance, mais offrent des possibilités de diagnostic limitées, car la présence d'anticorps dépend du statut vaccinal et/ou infectieux, ainsi que de l'immunité maternelle.

Histopathologie : un outil à valeur ajoutée pour la recherche diagnostique de confirmation

En dehors des tests de laboratoire spécifiquement axés sur la détermination des agents pathogènes ou des toxines, l'histopathologie peut fournir un cadre solide pour établir la cause réelle d'un problème clinique.

La détection d'un agent pathogène ou d'une toxine doit être cohérente avec les observations cliniques, épidémiologiques et les lésions macroscopiques, et l'analyse histopathologique peut confirmer définitivement cette cohérence.

Un bon exemple de l'utilité de l'évaluation microscopique serait la détection d'un virus par PCR dans un problème respiratoire où les lésions histologiques typiques causées par cet agent ne sont pas présentes dans le poumon (en supposant que le porc ou le groupe de porcs soit représentatif de la maladie observée). Un tel scénario devrait inciter à reconsidérer le diagnostic de suspicion et à poursuivre les investigations.

Le vétérinaire porcin doit considérer l'histopathologie comme un outil très précieux, au moins aussi important que la PCR, l'isolement bactérien ou la détection d'anticorps. L'analyse microscopique permet d'établir des diagnostics morphologiques qui renforcent ou contredisent les résultats cliniques, épidémiologiques ou de laboratoire, contribuant ainsi à déterminer l'étiopathogénie probable du problème clinique. Ces informations générales sont importantes, car elles permettent en quelque sorte de prédire comment les mesures de contrôle et de prévention mises en œuvre pour lutter contre la maladie peuvent ou non fonctionner.

Le prélèvement d'échantillons pour l'histopathologie (et d'autres tests de laboratoire) est relativement facile, mais nécessite une certaine connaissance de la pathogenèse de la maladie, ainsi que quelques compétences techniques :

  • Les échantillons doivent être prélevés sur des cadavres frais, idéalement sur des porcs récemment morts ou euthanasiés.
  • Les tissus doivent être immédiatement fixés par immersion dans du formol tamponné à 10 %.
  • Il n'est pas recommandé d'envoyer des échantillons réfrigérés pour une analyse histopathologique, car un certain degré d'autolyse se produit.
  • La congélation des échantillons implique la présence de multiples artefacts qui compromettent l'interprétation microscopique.
  • La taille de l'échantillon de tissu doit être relativement petite (ou au moins fine pour favoriser la fixation).
  • L'échantillon doit comprendre des zones macroscopiquement affectées ainsi que des morceaux de tissus présumés normaux (figure 1).
  • Dans le cas d'échantillons intestinaux, il est important d'ouvrir l'intestin dans le sens de la longueur pour s'assurer que le formol entre en contact direct avec la muqueuse entérique.
  • En revanche, un organe volumineux tel que le cerveau est de préférence fixé en entier ou en deux parties, afin de s'assurer que la topographie du cerveau est maintenue pendant la fixation, et l’histopathologiste peut alors sélectionner la partie appropriée pour tenter d'établir le diagnostic le plus probable.
Figure 1. A. Prélèvement général recommandé d'un poumon, comprenant des échantillons des zones normales et des zones affectées. B. En cas de lésions localisées, les zones normales et affectées doivent également être échantillonnées, et pas seulement les lésions.

Figure 1. A. Prélèvement général recommandé d'un poumon, comprenant des échantillons des zones normales et des zones affectées. B. En cas de lésions localisées, les zones normales et affectées doivent également être échantillonnées, et pas seulement les lésions.

Il est important de noter qu'en plus de la simple analyse histopathologique (basée sur la coloration à l'hématoxyline-éosine, figure 2), des tests pathologiques supplémentaires peuvent aider à la recherche d'agents étiologiques.

Figure 2 : Coloration à l'hématoxyline-éosine d'un poumon normal (A) et d'un poumon atteint (B). Le poumon en B est atteint d'une pleuropneumonie fibrino-nécrotique causée par Actinobacillus pleuropneumoniae.

Figure 2 : Coloration à l'hématoxyline-éosine d'un poumon normal (A) et d'un poumon atteint (B). Le poumon en B est atteint d'une pleuropneumonie fibrino-nécrotique causée par Actinobacillus pleuropneumoniae.

Les plus utilisées sont l'immunohistochimie (figure 3) et l'hybridation in situ (figure 4), qui permettent de détecter les agents pathogènes au niveau du site d'action, ce qui renforce leur rôle dans le contexte clinique et pathologique. Par ailleurs, il existe d'autres techniques (colorations histochimiques) qui ne suffisent pas à établir une étiologie spécifique, mais qui peuvent fournir des indices sur la cause (par exemple, la coloration de Groccot pour les champignons ou la coloration de Gram pour les bactéries gram-positives ou gram-négatives).

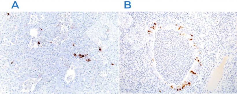
Figure 3 : Immunohistochimie pour détecter le virus du syndrome dysgénésique et respiratoire porcin (SDRP) (A) et le virus de la grippe porcine (B). La présence de l'antigène viral (coloration brune) est observée dans les zones atteintes.

Figure 3 : Immunohistochimie pour détecter le virus du syndrome dysgénésique et respiratoire porcin (SDRP) (A) et le virus de la grippe porcine (B). La présence de l'antigène viral (coloration brune) est observée dans les zones atteintes.

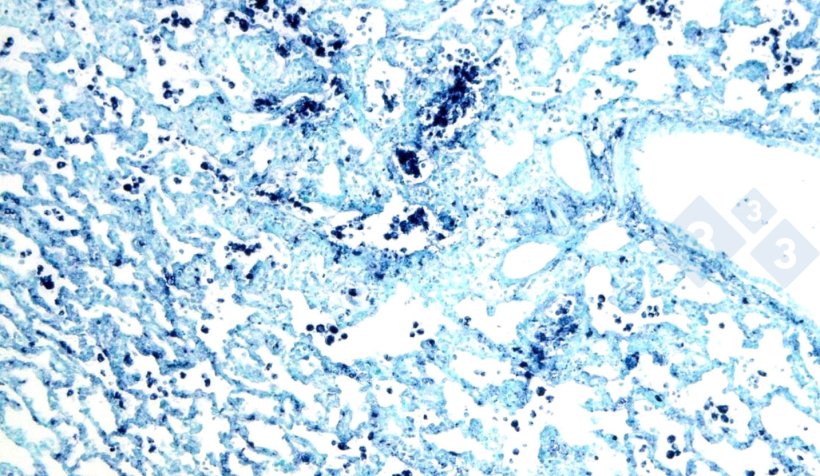
Figure 4 : Hybridation in situ pour le circovirus porcin 2 (PCV2) dans un poumon atteint de pneumonie interstitielle.

Figure 4 : Hybridation in situ pour le circovirus porcin 2 (PCV2) dans un poumon atteint de pneumonie interstitielle.

En résumé, le vétérinaire porcin dispose, en plus de ses propres investigations cliniques, épidémiologiques et des lésions macroscopiques, d'une variété de possibilités analytiques, dans lesquelles l'histopathologie peut jouer un rôle central. Une communication efficace entre les cliniciens et les pathologistes améliore la capacité de diagnostic, ce qui permet de résoudre plus rapidement et plus efficacement les problèmes cliniques.

Commentaires de l'article

Cet espace n'est pas destiné a être une zone de consultation des auteurs mais c'est un lieu de discussionouverts à tous les utilisateurs de 3trois3.
Publier un nouveau commentaire

Pour commenter, vous devez être utilisateur de 3trois3 et vous connecter

Vous n'êtes pas inscrit à la liste La newsletter de 3trois3

Un résumé tous les 15 jours des nouveautés de 3trois3.com

Connectez-vous et inscrivez-vous à la liste

Articles liés

Manuel de nécropsie : nécropsie d'un porcelet en décubitus latéral (II)

Dans cette deuxième partie, nous verrons l'extraction de l'ensemble langue-trachée-poumons-cœur. Nous extrairons les organes de la cavité abdominale, tant du système digestif que de l'appareil urinaire et génital. Dans la tête, nous accéderons aux cornets nasaux, au cerveau et au cervelet.

Vous n'êtes pas inscrit à la liste La newsletter de 3trois3

Un résumé tous les 15 jours des nouveautés de 3trois3.com

Connectez-vous et inscrivez-vous à la liste