Gestión integral del ambiente. Parte 3: ¿Entendemos los efectos fisiológicos del estrés por calor en cerdos?
Autores:
- Diego Lescano, Médico Veterinario, Master en nutrición de animales monogastricos
- Catalina Torres, Estudiante de Medicina Veterinaria
- KPIs consulting - kpis-consulting@kpis-consulting.com
Introducción
En este artículo de la serie de Gestión Integral del Ambiente desarrollaremos brevemente y de una forma practica el mecanismo fisiológico del estrés calórico (EC) y su impacto en las diferentes categorías de la producción porcina, de esta manera podremos diseñar y ejecutar estrategias de trabajo personalizadas a cada realidad.
Es de gran importancia conocer los efectos del estrés causado por las altas temperaturas debido al fenómeno de calentamiento global que se manifiesta como un incremento de la temperatura media del ambiente y una mayor frecuencia de días y horas del día que están por encima del confort térmico de los animales.
El estrés calórico tiene una gran repercusión productiva y por lo tanto económica en el sector porcino global, existen diferentes métodos para cuantificar las consecuencias que el mismo genera a nivel mundial y en cada país en particular debido principalmente a los sistemas de producción, por ejemplo en Australia se estimó mediante un cálculo simplificado a partir de los principales efectos de calor extremo de verano más de 22,3 millones de dólares australianos al año (F. Liu, et al. 2022) siendo que en USA las pérdidas económicas fueron estimadas en más de 300 millones de dólares americanos (Pierre et al ., 2003).
Gabler et al., (2018) en su artículo menciona a Baumgard et al., (2012) que define al estrés por altas temperaturas como una condición fisiológica resultante de la incapacidad de los animales para regular su temperatura eutérmica interna.
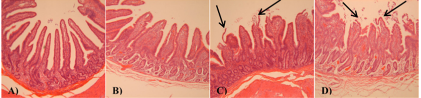
Una de las características de los animales bajo estrés por calor es la activación de un mecanismo fisiológico para aumentar la perdida de calor endógeno, provocando un desvío en el flujo sanguíneo hacia la periferia, esta alteración reduce el flujo sanguíneo y el aporte de nutrientes al tracto gastrointestinal, lo que provoca hipoxia local, producción de radicales libres y deterioro de la estructura intestinal. Como consecuencia de esto el epitelio intestinal sufre un aumento de la permeabilidad, incrementando el paso hacia circulación general de toxinas endógenas y exógenas, como resultado se pueden originar respuestas inflamatorias tanto locales como sistémicas (SIRS) y activación del sistema inmunitario del animal generando de esta manera una redistribución de los nutrientes que originalmente estarían destinados a producción (Ross et al., 2017, Gabler et al., 2018, Mayorga et al., 2020, Liu et al., 2022). Solo la exposición por tres días a estrés por calor diurno aumenta un 150% las endotoxinas séricas (Gabler et al., 2018).
 
 
 
Imagen tomada de Pearce et al., en 2014: Cambios temporales en la morfología del íleon por estrés térmico (EC; 37°C y aproximadamente 40% de humedad). A) 0 h de exposición a EC, B) 2 h de EC, C) 4 h de EC y D) 6 h de exposición a EC. Obsérvese el acortamiento de la longitud de las vellosidades y el aumento de la autólisis de las puntas de las vellosidades a medida que aumenta la duración de la exposición al estrés por calor se intensifica. Las flechas negras indican áreas de autólisis. El tratamiento EC de hora cero representa condiciones térmicamente neutras (21 °C y aproximadamente 70 % de humedad).
Un cambio endócrino que se observa ante el estrés térmico es el aumento de los niveles de insulina sanguíneos, lo que es una paradoja, ya que ante el estrés se activa toda la cascada hipercatabólica y no anabólica como se esperaría. Es probable que se deba por la activación inmunológica en respuesta a la presencia de lipopolisacáridos (LPS) que ingresó por el aumento de la permeabilidad intestinal (Ross J. W., 2017, Mayorga E. J., 2020). En relación con metabolismo de los carbohidratos se espera un aumento de la glucosa en sangre (aunque hay informes contradictorios), por mayor captación intestinal, gluconeogénesis y glucogenólisis por parte del hígado. El organismo tiene menor capacidad de movilización de tejido adiposo y se evidencia menor deposición de proteínas. Se cree que todo este cambio metabólico es para facilitar el uso de glucosa por parte del sistema inmunitario (Mayorga E. J., 2020).
El aumento de la temperatura ambiental resulta en un aumento de la temperatura rectal del animal y en aumento de la frecuencia respiratoria, uno de los mecanismos para afrontar la hipertermia es la menor ingesta de alimento para disminuir la producción de calor metabólico (Kpodo et al., 2020). Es importante comprender que cuando la temperatura se incrementa, el intercambio de calor predeterminante es latente, dependiente del gradiente de humedad por lo tanto la medición de temperatura y humedad ambiental seria lo indicado para valorar correctamente el estrés al cual están sometidos los animales.
Todos los mecanismos comentados que están destinados a regular la homeostasis térmica generara calor y consumo energía, llegando un punto de no retorno si la temperatura continua subiendo y no le brindamos las condiciones para que los animales puedan eliminar el calor de forma natural (Gestión integral del Ambiente).

¿Qué ocurre con la fertilidad de los verracos?
Un estudio realizado por Mayorga, et al. (2020) observo que la producción y la calidad del semen se ven comprometidas por la incapacidad de regular la temperatura testicular del cerdo, aumentando las anormalidades espermáticas y reduciendo la motilidad espermática. Por otro lado Liu y su equipo en 2022 mencionaron que se encontraba daño en el ADN de los espermatozoides, los cuales logran la fertilización por la normalidad en la motilidad, pero el daño al ADN puede promover la detención del embrión y la apoptosis del mismo.
¿Cómo influye el estrés térmico en reproductoras?
La alta temperatura ambiental en conjunto con el cambio en la duración de las horas luz durante el día afecta la fertilidad en el verano. La infertilidad de verano se manifiesta mediante una reducción en la expresión del estro, aumento del intervalo destete - primer servicio, más repeticiones de celo, entre otros (Tummaruk et al., 2022).
La reducción de la tasa de partos de cerdas cubiertas en verano se debe principalmente a muerte embrionaria temprana más que a la no concepción, la cual se puede explicar parcialmente por la menor calidad de los ovocitos en las cerdas destetadas en verano y el daño de los espermatozoides. Se encuentran numerosas investigaciones que demuestran la falla en el reconocimiento materno de la preñez en cerdas con pérdidas embrionarias antes de los 35 días de gestación, periodo en el cual hay mayores pérdidas de cerdas por estrés calórico.
En las cerdas jóvenes retrasa el inicio de la pubertad, la exposición a altas temperaturas durante el inicio de la gestación reduce la tasa de concepción y la viabilidad embrionaria y, la exposición durante la gestación tardía da como resultado menor número de cerdos nacidos vivos y menor peso al nacimiento (Liu et al., 2022).
¿Cómo responden las cerdas en la maternidad al estrés por calor?
La zona de confort térmico en las cerdas es alrededor de 16 a 18 ºC (temperatura de bulbo seco), por encima de los 25 ºC ya se considera que están bajo estrés térmico. Cuando la temperatura ambiente se acerca a la temperatura crítica superior, disminuye el consumo de alimento, por lo tanto, no se alcanza a cubrir las exigencias nutricionales de las cerdas lactantes, esto trae como consecuencia la pérdida de peso corporal, la disminución de la producción y calidad de la leche, menor peso al destete de los lechones, como consecuencia se observa un aumento de la mortalidad. A su vez la perdida de espesor de grasa dorsal de las cerdas en la lactancia se asocia con un aumento del porcentaje de lechones nacidos muertos y aumento en el intervalo destete-estro posterior.
¿Cómo afecta el estrés por altas temperaturas en la ganancia diaria de peso y la conversión alimenticia en la línea de producción?
Según Liu et al. (2022) la reducción del consumo de alimento es una de las principales causas de la menor tasa de crecimiento de los cerdos de engorde sometidos a altas temperaturas. La respuesta animal al estrés por altas temperaturas tiene un efecto directo disminuyendo el consumo de alimento (E.J. Mayorga, et al., 2020). Pearce et al. (2014) lo relaciona con un impacto negativo a los neuropéptidos relacionados con el apetito. Renaudeau et al. (2011) en su investigación declara que la reducción del consumo en cerdos bajo estrés térmico es un mecanismo clave para mantener el equilibrio térmico cuando la temperatura ambiente aumenta considerablemente por encima de la zona termoneutral. A medida que aumenta el peso vivo del cerdo aumenta la sensibilidad al aumento de la temperatura ambiente, esta relación se debe a la menor proporción de superficie/masa y mayor aislamiento térmico a causa de la cantidad de tejido subcutáneo en comparación de cerdos más livianos, por lo tanto, tienen menor capacidad de disipar calor endógeno. En ambientes de 30 a 36 ºC la conversión alimenticia tuvo un ligero aumento, lo que sugiere que los cerdos se vuelven menos eficientes ante condiciones adversas de temperatura. A su vez existe una disminución lineal del crecimiento ,bajo condiciones de estrés por calor, a medida que se incrementa la temperatura (Seibert et al. 2018).

 ¿Qué medida podemos tomar ante el estrés calórico?
 ¿Qué medida podemos tomar ante el estrés calórico?
Las diversas estrategias deben ser pensadas, diseñadas y ejecutadas con un enfoque 360° en donde sean intervenidas todas las disciplinas que hacen a la producción porcina como se describe en la siguiente figura.
                               
 
- Análisis de datos: Mediante el análisis de datos retrospectivos de la propia empresa como de tendencias regionales, se podrá realizar una simulación de posibles perdidas productivas y consecuentemente económicas y de esta manera establecer las estrategias multidisciplinarias para atenuar el efecto del estrés por calor;
- Nutrición: La nutrición es una de las áreas que puede ser fácilmente manipulable e intervenida en la empresa. La concentración de nutrientes y uso de aditivos funcionales pueden ser dos de las posibilidades de más fácil aplicación a nivel granja. Por otro lado, garantizar el acceso a voluntad del agua de bebida tanto en calidad como en cantidad será fundamental para garantizar funciones fisiológicas del animal. No debemos olvidarnos de la importancia de la temperatura del agua en nuestras granjas, siendo que en épocas de elevadas temperaturas una de las limitantes de consumo de agua suele ser la elevada temperatura de la misma;
- Gestión ambiental: En los últimos años la profesionalización del sector, el acceso a la tecnología permitió trabajar más profundamente sobre la gestión integral del ambiente. El control de la información en tiempo real es uno de los principales y más efectivos avances tecnológicos disponibles actualmente para realizar la gestión integral del ambiente siendo que a su vez es importante contar dentro del equipo de trabajo con personas capacitadas en la gestión teórica y prácticamente del ambiente;
- Manejo: Sin duda como en toda área de la producción porcina, el manejo por parte de los equipos de trabajo será fundamental para garantizar la ejecución correcta de las estrategias planteadas y realizar el monitoreo permanente de las mismas, debemos trabajar sobre la educación continua de las personas en estas áreas;
- Sanidad: Se deberá revisar todos los planes de vacunación, aplicación de antibióticos, aditivos no nutricionales etc sumado al trabajo conjunto con el resto de las áreas para lograr garantizar el equilibrio sanitario en las granjas ante la presencia de desafíos que el estrés por calor genera directamente sobre la salud animal y la fisiología animal como fue discutido anteriormente;
- Instalaciones: Los equipos de mantenimiento de instalaciones deberán revisar el normal funcionamiento de todas las instalaciones antes de comenzado la época de elevadas temperaturas.
Conclusiones
Comprender los efectos fisiológicos del estrés calórico contribuyen a mejorar el diseño de las estrategias a ser adoptadas en las áreas de manejo, gestión ambiental, nutrición y sanidad entre otros.
Un trabajo multidisciplinar será fundamental para lograr el éxito en las estrategias para atenuar los efectos negativos del estrés calórico.
Cada granja deberá realizar la valoración de sus propios datos e informaciones de ciclos de producción pasados para poder entender las pérdidas económicas que se generan por el estrés calórico y en función de esta información diseñar, ejecutar y validar las nuevas acciones, siempre recordando que toda estrategia adoptada debe ser económicamente viable y para esto debemos generar los indicadores claves de desempeño (kpi) que me permitan evaluar el progreso de las estrategias de forma cuantitativa.
Agradecimientos
Los autores agradecen la participación de Sebastián Ratto (Consultor Técnico Swine – Provimi) por haber participado e intercambiado ideas y conceptos para la redacción del articulo.
Referencias
- Gabler N.K., Koltes D., Schaumberger S., Raj Murugesan G. y Reisinger N.(2018). Diurnal heat stress reduces pig intestinal integrity and increases endotoxin translocation. Society of Animal Science, Volumen 2, 1–10.
- Kpodo K.R., Duttlinger A.W., Maskal J.M. Y Johnson J.S.(2020). Effects of feed removal on thermoregulation and intestinal morphology in pigs recovering from acute hyperthermia. Journal of Animal Science, Volumen 98 (3), 1–10.
- Liu F., Zhao W., Le H.H., Cottrell J.J., Green M.P., Leury B.J., Dunshea F.R. y Bell A.W. (2022). Review: What have we learned about the effects of heat stress on the pig industry?. Animal, Volumen 16, 100349.
- Mayorga E.J., Ross J.W., Keating A. F., Rhoads R.P. y Baumgard L.H.(2020). Biology of heat stress; the nexus between intestinal hyperpermeability and swine reproduction. Theriogenology, Volumen 154, 73-83.
- Pearce S.C., Sanz Fernandez M.V., Hollis J.H., Baumgard L.H., Gabler N.K. (2014). Short-term exposure to heat stress attenuates appetite and intestinal integrity in growing pigs. Journal of animal science, Volumen 92, 5444-5454.
- Pierre*, B. Cobanov*, and G. Schnitkey†. Economic Losses from Heat Stress by US Livestock Industries. J. Dairy Sci. 86:(E. Suppl.):E52–E77 .American Dairy Science Association, 2003.
- Renaudeau D., Gourdine J.L. y St-Pierre N.R.(2011). A meta-analysis of the effects of high ambient temperature on growth performance of growing-finishing pigs. Journal of animal science, Volumen 89, 2220-2230.
- Ross J.W., Hale B.J., Seibert J.T., Romoser M.R., Adur M.K., Keating A.F. y Baumgard L.H.(2017). Physiological mechanisms through which heat stress compromises reproduction in pigs. Mol Reprod, Volumen 84, 934–945.
- Seibert J.T., Abuajamieh M., Sanz Fernandez M.V., Johnson J.S., Kvidera S.K., Horst E.A., Mayorga E.J., Lei S., Patience J.F., Ross J.W., Rhoads R.P., Johnson R.C., Lonergan S.M., Perfield II J.W. y Baumgard L.H.(2018). Effects of heat stress and insulin sensitizers on pig adipose tissue. J. Anim. Sci., Volumen 96, 510–520.
- Tummaruk P., De Rensis F. y Kirkwood R.N.(2022). Managing prolific sows in tropical environments. Mol Reprod Dev., Volumen 90, 533–545.
Contacto:
Contacta con nosotros a través del siguiente formulario.
Un resumen semanal de las novedades de 3tres3 México
Accede y apúntate a la lista

 
                
 
             
             
             
             
            