
Efecto del entorno en el desarrollo del sistema inmunitario de los lechones
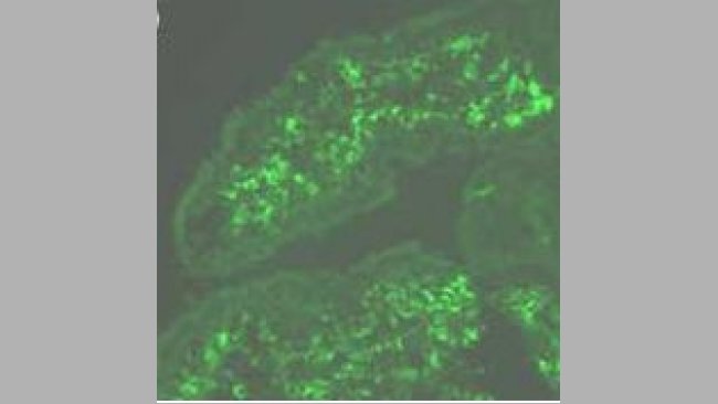
Para explicar parte de la diarrea post-destete se ha estudiado el desarrollo del sistema inmunitario intestinal.
Noticias, eventos y reportajes de actualidad del sector porcino
Los eventos de porcicultura que se organizan en México y todo el mundo
Un resumen semanal de las novedades de 3tres3 México
Boletín de noticias sobre el mundo del porcino
La salud del cerdo: noticias y artículos sobre PRRS, PCV2, bioseguridad, etc., guía de enfermedades del cerdo, atlas de patología, casos clínicos...
Cómo realizar una necropsia en un cerdo, paso a paso, de una forma muy visual y práctica.
Biocheck.UGent es un sistema de puntuación científico independiente, basado en riesgos, para evaluar la calidad de su bioseguridad en la granja.
Toda la información relevante sobre PPA: cómo reconocer la enfermedad, cómo se transmite, imágenes de lesiones, últimas noticias, guías...
Descripción de las enfermedades y afecciones más importantes del cerdo
Lesiones y signos de las principales enfermedades del cerdo
Herramienta para diagnosticar enfermedades del cerdo
Un diccionario sobre terminología específica de la porcicultura
Calcula la cantidad de medicamento a incorporar en el agua cuando usamos un dosificador de flujo
Un resumen semanal de las novedades de 3tres3 México
Precios del cerdo por países. Producción y comercio de carne de cerdo. Noticias del mercado del cerdo y las materias primas
Últimas cotizaciones del mercado porcino mexicano y de los principales países. Históricos de precios en diversas monedas y en formato gráfico.
Últimas cotizaciones de las materias primas para alimento de cerdos. Gráficas históricas junto con el precio del cerdo y estimación del precio del alimento.
Calcula tu costo de producción, compáralo con la referencia y valora como afecta cada parámetro al costo de producción total.
Datos de censos, producción de carne, número de granjas, etc.
Datos de producción y comercio mundial de las principales materias primas para la alimentación de cerdos como maíz y soya
Un resumen semanal de las novedades de 3tres3 México
Artículos sobre nutrición y alimentación de cerdos, características de las materias primas y aditivos para porcino y precios de las materias primas
Últimas cotizaciones de las materias primas para alimento de cerdos. Gráficas históricas junto con el precio del cerdo y estimación del precio del alimento.
Datos de producción y comercio mundial de las principales materias primas para la alimentación de cerdos como maíz y soya
Fichas técnicas de materias primas y aditivos para cerdos. Información de valores nutricionales, producción y comercio, estudios recientes...
Un diccionario sobre terminología específica de la porcicultura
Utiliza esta herramienta para diagnosticar problemas con el índice de conversión. Haz clic en el diagrama de flujo o en los botones dentro del texto para navegar por las distintas partes de la herramienta.
Un resumen semanal de las novedades de 3tres3 México
Artículos sobre selección genética y reproducción del cerdo.
Compara los datos productivos, calcula el número de plazas para cerdas, transición y cebo y visualiza tus tareas sobre el calendario según cada tipo de MEB.
Calcula las entradas de cerdas necesarias en una granja activa, una granja que inicia la actividad o una granja en expansión
Herramienta para comparar los datos reproductivos de tu granja con la base de datos BDporc y ver la evolución de los parámetros reproductivos de BDporc
Un diccionario sobre terminología específica de la porcicultura
Utiliza esta herramienta para investigar porque tu tasa de partos es inferior a la ideal. Da clic en el diagrama de flujo o en los botones dentro del texto para navegar por las distintas partes de la herramienta.
Un resumen semanal de las novedades de 3tres3 México
Manejo y gestión de las granjas de cerdos y organización del trabajo en las fases de producción: gestación, lactancia, engorda, sistema en bandas...
Compara los datos productivos, calcula el número de plazas para cerdas, transición y cebo y visualiza tus tareas sobre el calendario según cada tipo de MEB.
Calcula las entradas de cerdas necesarias en una granja activa, una granja que inicia la actividad o una granja en expansión
Calcula tu costo de producción, compáralo con la referencia y valora como afecta cada parámetro al costo de producción total.
Herramienta para comparar los datos reproductivos de tu granja con la base de datos BDporc y ver la evolución de los parámetros reproductivos de BDporc
Aquí puedes comparar diversos objetos o juguetes usados como material de enriquecimiento ambiental para prevenir las mordeduras de cola en cerdos.
Un diccionario sobre terminología específica de la porcicultura
Un resumen semanal de las novedades de 3tres3 México
Diseño de instalaciones y equipos para granjas de cerdos: diseño de naves o casetas, climatización, sistemas de alimentación, etc. Comparadores de equipos.
Biocheck.UGent es un sistema de puntuación científico independiente, basado en riesgos, para evaluar la calidad de su bioseguridad en la granja.
Calculadora de la Huella Ambiental a lo largo de la cadena de valor del sector porcino
¿Qué comedero se adapta mejor a mis necesidades? Aquí puedes comparar las características de diversos comederos comerciales para cerdos.
¿Qué bebedero se adapta mejor a mis necesidades? Aquí puedes comparar las características de diversos bebederos comerciales para cerdos.
Un diccionario sobre terminología específica de la porcicultura
Utiliza esta herramienta para investigar qué estrategia de gestión de purines se adapta mejor a tu situación. Da click en el diagrama de flujo o en los botones dentro del texto para navegar por las distintas partes de la herramienta.
Un resumen semanal de las novedades de 3tres3 México
Aquí encontrarás los autores especialistas en porcicultura que colaboran en 3tres3.com con información de su currículum

Para explicar parte de la diarrea post-destete se ha estudiado el desarrollo del sistema inmunitario intestinal.
Un resumen semanal de las novedades de 3tres3 México
Accede y apúntate a la lista
Bienvenido a 3tres3
Conecta, comparte y relaciónate con la mayor comunidad de profesionales del sector porcino.
¡Ya somos 204039 Usuarios!
Regístrate¿Ya eres miembro?




