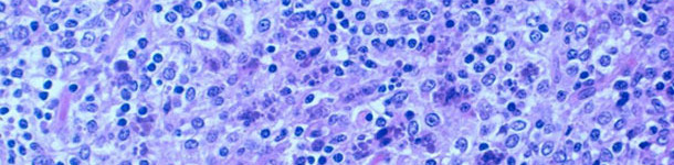
El circovirus porcino tipo 2 (PCV2) es uno de los patógenos económicamente más importantes de la industria porcina. Hoy en día, este virus (pequeño y ubicuo) esta reconocido como el agente causal esencial de varias patologías conocidas colectivamente como enfermedades asociadas al circovirus porcino (PCVDs). Entre estas PCVDs, la enfermedad sistémica producida por PCV2 (ES-PCV, anteriormente conocida como síndrome del desmedro multisistémico post-destete, PMWS) es la más significativa. Pese a que la infección por PCV2 es necesaria para causar el cuadro completo de signos clínicos y lesiones de ES-PCV (figura 1), esta enfermedad se reproduce más eficazmente con la co-inoculación de otros patógenos. Uno de estos patógenos es Mycoplasma hyopneumoniae (Mhyo). Mhyo es el principal agente etiológico de la neumonía enzoótica (NE), una patología respiratoria crónica que afecta principalmente a cerdos de engorde. Las lesiones del tipo NE se caracterizan por una neumonía bronco-intersticial con hiperplasia del tejido linfoide broncoalveolar (BALT) (figura 2). Junto a otros patógenos, incluyendo PCV2, Mhyo tiene un papel principal en el complejo respiratorio porcino (PRDC). Como consecuencia, el diagnóstico y el control de la interacción entre ambos patógenos es de máxima importancia para los ganaderos y veterinarios porcinos de todo el mundo.
![]() |
![]() |
| Figura 1: Depleción linfocitaria severa con inflamación granulomatosa del tejido linfoide. Presencia de cuerpos de inclusión intracitoplasmáticos. | Figura 2: Neumonía bronco-intersticial con hiperplasia del tejido linfoide bronco-alveolar (BALT) causada por una infección experimental por Mhyo. |

En condiciones de campo, hay varios estudios que describen la prevalencia de la co-infección de PCV2 y Mhyo. De hecho, un estudio de campo reciente encontró que la seropositividad frente a Mhyo era un factor de riesgo asociado a una mayor gravedad de PCVD. Sin embargo, es importante tener en cuenta que la infección o el desarrollo de anticuerpos contra estos dos patógenos no implica una interacción sinérgica y/o el desarrollo de la enfermedad, por lo que no se pueden hacer extrapolaciones a partir de los estudios de prevalencia. Las consecuencias reales y las implicaciones de dicha co-infección deben analizarse en condiciones experimentales.
La co-infección experimental por Mhyo y PCV2 ha proporcionado resultados un tanto divergentes. Un diseño experimental que consistió en la inoculación de cerdos seronegativos con Mhyo y, dos semanas después, con PCV2, comportó un aumento generalizado de la gravedad de las lesiones asociadas a PCV2. Este aumento de la gravedad fue atribuido a la capacidad de Mhyo para estimular la producción de macrófagos y, de este modo, facilitar la replicación de PCV2, junto con la alteración del perfil de expresión de ARNm para citoquinas. Por el contrario, la inoculación simultánea de Mhyo y PCV2 en cerdos seropositivos no produjo estos resultados sinérgicos. Estos resultados divergentes probablemente pueden ser explicados por varias diferencias en el diseño experimental (tabla 1). Por lo tanto, la potenciación de las lesiones causadas por PCV2 mediante la infección por Mhyo puede producirse, pero depende de varios factores.
Tabla 1: Diferencias en el diseño experimental entre dos modelos de coinfección por Mhyo y PCV2 que produjeron resultados distintos.
| Opriessnig et al., 2004 | Sibila et al., 2012 | ||
| Edad de inoculación | Mhyo | 4 semanas de edad | 6 semanas de edad |
| PCV2 | 6 semanas de edad | 6 semanas de edad | |
| Tipo de animales | Seronegativos a ambos patógenos | Seropositivos a ambos patógenos | |
| Cepa y dosis del inóculo de Mhyo | Cepa 232, tejido homogenizado, 105 CCU/ml | Cepa 98, cultivo fresco, 106 CCU/ 5 ml el primer día y 109 CCU/ 5 ml el segundo | |
En varios estudios de campo y experimentales, la potenciacón de las lesiones producidas por PCV2 se ha atribuido, también, a una estimulación del sistema inmunológico. En primer lugar se señaló a la vacunación frente a Mhyo como una de las causas que pueden estimular la replicación de PCV2. En segundo lugar, dicha estimulación ha sido atribuida a adyuvantes concretos más que a la vacuna misma. Para evitar la supuesta potenciación de la replicación del PCV2, se ha recomendado vacunar contra Mhyo antes de la circulación de PCV2. Por ejemplo, en condiciones experimentales, se ha observado que la vacunación frente a Mhyo entre 2 y 4 semanas antes de la exposición a PCV2 no potencia las lesiones de PCV2-SD.
Las estrategias vacunales frente a estos patógenos han seguido más o menos la misma evolución: de las dos dosis a una dosis única. Además, el hecho de que las vacunaciones frente a PCV2 y Mhyo puedan coincidir en el tiempo ha generado la pregunta de si pueden aplicarse simultáneamente o combinadas a la misma edad. Esta estrategia disminuiría el trabajo y el estrés de los animales. Sin embargo, en dicho escenario debería reevaluarse la eficacia de ambas vacunas. Hoy en día, hay pocos artículos revisados que comparen la eficacia de la vacunación simultánea frente a la combinada, por lo que es difícil extraer conclusiones científicas.
Tras varios años de administración, la capacidad de las vacunas frente a PCV2 y Mhyo para reducir la severidad de las lesiones y mejorar los parámetros productivos ha sido vastamente demostrada. Sin embargo, algunos estudios de campo sugieren que la administración de algunas vacunas en la transición (como estas dos) puede afectar al rendimiento justo después del destete (reducción del consumo y del crecimiento). No obstante, en un escenario de exposición a patógenos este efecto inmediato, pero transitorio, debería siempre compararse con los beneficios de la vacunación durante el ciclo productivo completo.




