
Vídeo de necropsia: bronconeumonía fibrinosa
Como complemento al curso de necropsias hemos elaborado una serie de vídeos de diferentes procesos en el cerdo.
Noticias, eventos y reportajes de actualidad del sector porcino
Los eventos del sector porcino que se organizan en todo el mundo
Un resumen semanal de las novedades de 3tres3 Latam
Boletín de noticias sobre el mundo del porcino
La salud de los cerdos: noticias y artículos sobre PRRS, PCV2, bioseguridad, etc., guía de enfermedades del cerdo, atlas de patología, casos clínicos...
Cómo realizar una necropsia en un cerdo, paso a paso, de una forma muy visual y práctica.
Biocheck.UGent es un sistema de puntuación científico independiente, basado en riesgos, para evaluar la calidad de su bioseguridad en la granja.
Toda la información sobre la PPA
Descripción de las enfermedades y afecciones más importantes en cerdos
Lesiones y signos de las principales enfermedades del cerdo
Herramienta para diagnosticar enfermedades del cerdo
Un diccionario sobre terminología específica de la porcicultura
Calcula la cantidad de medicamento a incorporar en el agua cuando usamos un dosificador de flujo
Un resumen semanal de las novedades de 3tres3 Latam
Precios del cerdo por países. Producción y comercio de carne de cerdo. Noticias del mercado porcino y las materias primas
Últimas cotizaciones de los mercados mundiales más importantes del cerdo. Históricos de precios en diversas monedas y en formato gráfico.
Últimas cotizaciones de las principales materias primas para alimentación de cerdos. Históricos, precios del cerdo y estimación del precio del alimento.
Datos de censos, producción de carne de cerdo, número de granjas, etc.
Datos de producción y comercio mundial de las principales materias primas utilizadas en la alimentación de cerdos
Un resumen semanal de las novedades de 3tres3 Latam
Artículos sobre nutrición y alimentación de cerdos, características de las materias primas y aditivos para porcinos y precios de las materias primas
Últimas cotizaciones de las principales materias primas para alimentación de cerdos. Históricos, precios del cerdo y estimación del precio del alimento.
Datos de producción y comercio mundial de las principales materias primas utilizadas en la alimentación de cerdos
Fichas técnicas de las principales materias primas y aditivos. Incluyen información de valores nutricionales, producción y comercio, estudios recientes, ...
Un diccionario sobre terminología específica de la porcicultura
Utiliza esta herramienta para diagnosticar problemas con el índice de conversión. Haz click en el diagrama de flujo o en los botones dentro del texto para navegar por las distintas partes de la herramienta.
Un resumen semanal de las novedades de 3tres3 Latam
Artículos sobre genética y reproducción en cerdos: selección genética, genómica, inseminación artificial, uso de hormonas...
Compara los datos productivos, calcula el número de plazas para cerdas, transición y cebo y visualiza tus tareas sobre el calendario según cada tipo de MEB.
Calcula las entradas de cerdas necesarias en una granja activa, una granja que inicia la actividad o una granja que amplía
Herramienta para comparar los datos reproductivos de tu granja con la base de datos BDporc y ver la evolución de los parámetros reproductivos de BDporc
Un diccionario sobre terminología específica de la porcicultura
Utiliza esta herramienta para investigar porque tu tasa de partos es inferior a la ideal. Da click en el diagrama de flujo o en los botones dentro del texto para navegar por las distintas partes de la herramienta.
Un resumen semanal de las novedades de 3tres3 Latam
Manejo y gestión de las granjas porcícolas y organización del trabajo en cada una de las fases de producción.
Compara los datos productivos, calcula el número de plazas para cerdas, transición y cebo y visualiza tus tareas sobre el calendario según cada tipo de MEB.
Calcula las entradas de cerdas necesarias en una granja activa, una granja que inicia la actividad o una granja que amplía
Herramienta para comparar los datos reproductivos de tu granja con la base de datos BDporc y ver la evolución de los parámetros reproductivos de BDporc
Aquí puedes comparar diversos objetos o juguetes usados como material de enriquecimiento para prevenir el estrés y las mordeduras de cola en cerdos.
Un diccionario sobre terminología específica de la porcicultura
Un resumen semanal de las novedades de 3tres3 Latam
Información sobre el diseño de instalaciones para granjas porcícolas, equipos y materiales para granjas y una herramienta para compararlos
Biocheck.UGent es un sistema de puntuación científico independiente, basado en riesgos, para evaluar la calidad de su bioseguridad en la granja.
Calculadora de la Huella Ambiental a lo largo de la cadena de valor del sector porcino
¿Qué comedero se adapta mejor a mis necesidades? Aquí puedes comparar las características de diversos tipos de comederos comerciales.
¿Qué bebedero se adapta mejor a mis necesidades? Aquí puedes comparar las características de diversos bebederos comerciales.
Un diccionario sobre terminología específica de la porcicultura
Utiliza esta herramienta para investigar que estrategia de gestión de excretas se adapta mejor a tu situación. Da click en el diagrama de flujo o en los botones dentro del texto para navegar por las distintas partes de la herramienta.
Un resumen semanal de las novedades de 3tres3 Latam
Aquí encontrarás los autores especialistas en porcino que colaboran en 3tres3.com con información de su curriculum
Licenciado en Veterinaria por la Universidad de Murcia en 1993. Doctor en Veterinaria por la Universidad de Murcia en 1999. Diplomado del European College of Porcine Health and Management (ECPHM) desde 2006. Ha trabajado en la empresa ganadera porcina CEFUSA (perteneciente al grupo Fuertes) desde 1994 hasta el año 2000. Ha realizado sus estudios post-doctorales en el Veterinary Diagnostic Laboratory de Iowa State University (Estados Unidos). En la actualidad es Catedrático del Departamento de Anatomía y Anatomía Patológica Comparadas de la Universidad de Murcia e imparte clase en la Facultad de Veterinaria de dicha universidad.
Curriculum actualizado: 19-dic-2023

Como complemento al curso de necropsias hemos elaborado una serie de vídeos de diferentes procesos en el cerdo.

Tras la interpretación de las lesiones, debemos proceder a la toma de muestras.

En la quinta entrega del manual abordamos el examen de los órganos de la cavidad abdominal.

En la cuarta entrega del manual abordamos el examen de los órganos de la cavidad torácica.

Mientras que en las dos primeras entregas hemos abordado la necropsia en decúbito lateral, en esta tercera entrega explicaremos como hacer la necropsia en decúbito supino.

En esta segunda entrega vemos la extracción del conjunto lengua-tráquea-pulmones-corazón. Extraeremos los órganos de la cavidad abdominal, tanto del sistema digestivo como del aparato urinario y genital. En la cabeza accederemos a los cornetes nasales y el cerebro y cerebelo.

Empezamos una nueva sección, coordinada por el equipo de anatomía patológica de la Universidad de Córdoba, que nos mostrará, de una forma muy visual y práctica, como llevar a cabo una necropsia en un cerdo.

En este segundo articulo Antonio Vela, Francisco José Pallarés y David Espigares nos responden a preguntas sobre diagnóstico, monitorización y erradicación de la pleuroneumonía causada por Actinobacillus pleuropneumoniae (App).

Preguntamos a Antonio Vela, Francisco José Pallarés y David Espigares sobre la pleuroneumonía causada por Actinobacillus pleuropneumoniae (App). En este primer artículo hablaremos sobre la evolución y el control de la enfermedad.

¿Cuál es el efecto real de las neumonías sobre el rendimiento económico de la explotación? ¿qué parecido hay entre una neumonía y el estrés por calor?

M. hyopneumoniae participa en la mayoría de las coinfecciones en casos del complejo respiratorio porcino. ¿Cómo actúa y qué efectos tiene?

Este artículo describe las principales lesiones que caracterizan las principales neumonías bacterianas. Aunque la mayoría son agentes oportunistas, hay dos agentes bacterianos primarios que son capaces de causar lesiones por sí mismos.

Este artículo analiza las distintas lesiones micro y macroscópicas causadas por los virus de PRRS, PCV2, el virus de la gripe porcina y el coronavirus respiratorio porcino.

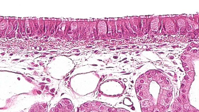
¿Qué tipo de células forman el sistema de defensa respiratorio en los cerdos? ¿Cómo se organizan y se comunican entre sí?
Un resumen semanal de las novedades de 3tres3 Latam
Accede y apúntate a la lista
Bienvenido a 3tres3
Conecta, comparte y relaciónate con la mayor comunidad de profesionales del sector porcino.
¡Ya somos 206339 Usuarios!
Regístrate¿Ya eres miembro?



