Foto della settimana

Settimana del 15-Mar-2023
Le lesioni cutanee da mal rosso si osservano meglio:

Settimana del 08-Mar-2023
Dove si trovano questi vermi adulti?

Settimana del 01-Mar-2023
Qual è la causa di questa melanosi maculosa?

Settimana del 22-Feb-2023
Qual è la causa più probabile di questa lesione?

Settimana del 15-Feb-2023
L'ittero generalizzato si presenta con:

Settimana del 08-Feb-2023
Come ci si deve comportare quando si rompe un ago in seguito ad una iniezione intramuscolare?

Settimana del 01-Feb-2023
Quali sono i fattori di rischio della necrosi delle orecchie?

Settimana del 25-Gen-2023
L'ermafroditismo nei suini :

Settimana del 18-Gen-2023
Le vesciche osservate in questo enfisema intestinale sono ripiene di:

Settimana del 11-Gen-2023
Qual è la correlazione tra la coda ed il polmone?

Settimana del 04-Gen-2023
Che cosa ha causato questo ematoma al lombo?

Settimana del 28-Dic-2022
Di che lesione si tratta?

Settimana del 21-Dic-2022
Qual è la natura di questa lesione?

Settimana del 14-Dic-2022
Qual è la causa di questo ascesso?

Settimana del 07-Dic-2022
Qual è la causa più probabile degli ascessi nel prosciutto?

Settimana del 30-Nov-2022
A quale patologia si associa questa lesione cutanea?

Settimana del 23-Nov-2022
Che malattia è associata a questa lesione?

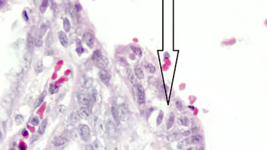
Settimana del 16-Nov-2022
Quale microrganismo (freccia) si trova all'interno della mucosa dell'intestino tenue di questo suinetto con diarrea?

Settimana del 09-Nov-2022
In questo apparato riproduttivo di una scrofetta, cosa segnalano le freccie?

Settimana del 02-Nov-2022
Dove si trovano le larve di Trichinella spiralis?

Settimana del 26-Ott-2022
Che tipo di neoplasia presenta questa milza?

Settimana del 19-Ott-2022
Qual è l'eziologia di questa lesione intestinale?

Settimana del 12-Ott-2022
Quali batteri NON sono correlati con questa lesione?

Settimana del 05-Ott-2022
Quale è stata la causa mortis di questo suino?

Settimana del 28-Set-2022
Di quale neoplasia si tratta su questo pene di verro?

Settimana del 21-Set-2022
Cosa vedi in questo cuore ?

Settimana del 14-Set-2022
Come viene chiamata l'assenza della mandibola inferiore?